Suppr超能文献

尿石素A通过激活SIRT1预防链脲佐菌素诱导的大鼠糖尿病性心肌病。

Urolithin A prevents streptozotocin-induced diabetic cardiomyopathy in rats by activating SIRT1.

作者信息

Albasher Gadah, Alkahtani Saad, Al-Harbi Laila Naif

机构信息

Department of Zoology, College of Sciences, King Saud University, Riyadh, Saudi Arabia.

Department of Food Science and Nutrition, College of Food and Agricultural Sciences, King Saud University, Riyadh, Saudi Arabia.

出版信息

Saudi J Biol Sci. 2022 Feb;29(2):1210-1220. doi: 10.1016/j.sjbs.2021.09.045. Epub 2021 Sep 17.

Abstract

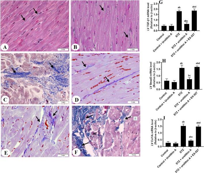
This study examined the cardiac anti-cardiomyopathy (DC) protective effect of urolithin A in streptozotocin (STZ)-treated rats and investigated if this protection involves activation of SIRT1 signaling. Diabetes was induced first STZ (65 mg/kg, i.p.) before starting the experiments. Adult male rats (n = 8/group) were treated for 8 weeks as control (non-diabetic), control + urolithin A (2.5 mg/kg/i.p.), STZ, STZ + urolithin A, and STZ + urolithin A + Ex-527 (1 mg/kg/i.p.) (a SIRT1 inhibitor). With no effect on fasting glucose and insulin levels, urolithin A improved left ventricular (LV) function and structure and reduced heart weight and serum levels of cardiac markers in STZ-treated rats. Also, it prevented collagen deposition, reduced mRNA levels of Bax, cleaved caspaspe3, collagen 1A1, transforming growth factor-β1 (TGF-β1), and Smad3 but enhanced those of Bcl2 in the LVs of diabetic rats. However, urolithin A suppressed the generation of reactive oxygen species (ROS), activated the nuclear factor erythroid 2-related factor 2 (Nrf2), and increased the levels of manganese superoxide dismutase (MnSOD) and total glutathione (GSH) in the LVs of the non-diabetic and diabetic rats, In parallel, it suppressed the cardiac activity of NF-nuclear factor-kappa beta p65 (κB p65) and reduced levels of tumor necrosis factor-α (TNF-α), and interleukin-6 (IL-6). Coincided with these events, urolithin A promoted higher activity, mRNA, and total/nuclear protein levels of SIRT1 and lowered the levels of acetyl-FOXO1, Nrf2, NF-κB, and p53. All these benefits of urolithin A were prevented by Ex-527. In conclusion, urolithin A protects against DC by activating SIRT signaling.

摘要

本研究检测了尿石素A对链脲佐菌素(STZ)处理的大鼠心脏抗心肌病(DC)的保护作用,并研究了这种保护作用是否涉及SIRT1信号通路的激活。在开始实验前,首先通过腹腔注射STZ(65mg/kg)诱导糖尿病。成年雄性大鼠(每组n = 8)作为对照(非糖尿病)、对照 + 尿石素A(2.5mg/kg/腹腔注射)、STZ、STZ + 尿石素A以及STZ + 尿石素A + Ex - 527(1mg/kg/腹腔注射)(一种SIRT1抑制剂)处理8周。尿石素A对空腹血糖和胰岛素水平无影响,但改善了STZ处理大鼠的左心室(LV)功能和结构,减轻了心脏重量,并降低了心脏标志物的血清水平。此外,它还防止了胶原沉积,降低了糖尿病大鼠左心室中Bax、裂解的caspaspe3、胶原1A1、转化生长因子 - β1(TGF - β1)和Smad3的mRNA水平,但提高了Bcl2的mRNA水平。然而,尿石素A抑制了活性氧(ROS)的产生,激活了核因子红细胞2相关因子2(Nrf2),并增加了非糖尿病和糖尿病大鼠左心室中锰超氧化物歧化酶(MnSOD)和总谷胱甘肽(GSH)的水平。同时,它抑制了NF - 核因子 - κB p65(κB p65)的心脏活性,并降低了肿瘤坏死因子 - α(TNF - α)和白细胞介素 - 6(IL - 6)的水平。与这些事件同时发生的是,尿石素A促进了SIRT1的更高活性、mRNA以及总/核蛋白水平,并降低了乙酰化FOXO1、Nrf2、NF - κB和p53的水平。Ex - 527阻止了尿石素A的所有这些益处。总之,尿石素A通过激活SIRT信号通路来预防DC。

https://cdn.ncbi.nlm.nih.gov/pmc/blobs/2919/8865018/65c2d91afd24/gr1.jpg

文献AI研究员

20分钟写一篇综述,助力文献阅读效率提升50倍。

立即体验

用中文搜PubMed

大模型驱动的PubMed中文搜索引擎

马上搜索

文档翻译

学术文献翻译模型,支持多种主流文档格式。

立即体验