Suppr超能文献

SARS-CoV-2 感染与不良妊娠结局相关的胎盘临床病理特征:有和无先天传播的病例系列研究

Clinical-pathological features in placentas of pregnancies with SARS-CoV-2 infection and adverse outcome: case series with and without congenital transmission.

机构信息

Obstetrics & Gynaecology, Institution of Clinical Sciences Lund, Lund University, Lund, Sweden.

Department of Obstetrics and Gynaecology, Skåne University Hospital, Lund, Sweden.

出版信息

BJOG. 2022 Jul;129(8):1361-1374. doi: 10.1111/1471-0528.17132. Epub 2022 Apr 22.

Abstract

OBJECTIVE

To correlate clinical outcomes to pathology in SARS-CoV-2 infected placentas in stillborn and live-born infants presenting with fetal distress.

DESIGN

Retrospective, observational.

SETTING

Nationwide.

POPULATION

Five stillborn and nine live-born infants from 13 pregnant women infected with SARS-CoV-2 seeking care at seven different maternity units in Sweden.

METHODS

Clinical outcomes and placental pathology were studied in 14 cases (one twin pregnancy) of maternal SARS-CoV-2 infection with impaired fetal outcome. Outcomes were correlated to placental pathology in order to investigate the impact of virus-related pathology on the villous capillary endothelium, trophoblast and other cells.

MAIN OUTCOME MEASURES

Maternal and fetal clinical outcomes and placental pathology in stillborn and live-born infants.

RESULTS

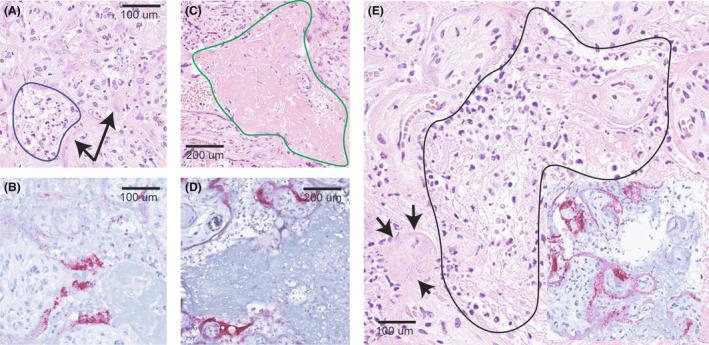
Reduced fetal movements were reported (77%) and time from onset of maternal COVID-19 symptoms to signs of fetal distress among live-born infants was 6 (3-12) days and to diagnosis of stillbirth 11 (2-25) days. Two of the live-born infants died during the postnatal period. Signs of fetal distress led to emergency caesarean section in all live-born infants with umbilical cord blood gases and low Apgar scores confirming intrauterine hypoxia. Five stillborn and one live-born neonate had confirmed congenital transmission. Massive perivillous fibrinoid deposition, intervillositis and trophoblast necrosis were associated with SARS-CoV-2 placental infection and congenital transmission.

CONCLUSIONS

SARS-CoV-2 can cause rapid placental dysfunction with subsequent acute fetal hypoxia leading to intrauterine fetal compromise. Associated placental pathology included massive perivillous fibrinoid deposition, intervillositis and trophoblast degeneration.

摘要

目的

将患有胎儿窘迫的死产和活产婴儿中与 SARS-CoV-2 感染相关的胎盘病理学与临床结局进行关联。

设计

回顾性、观察性。

地点

全国范围。

人群

来自瑞典 7 个不同产科单位的 13 名感染 SARS-CoV-2 的孕妇所生的 5 名死产儿和 9 名活产儿。

方法

研究了 14 例(双胎妊娠 1 例)因 SARS-CoV-2 感染而导致胎儿不良结局的孕妇的临床结局和胎盘病理学。为了研究病毒相关性病理学对绒毛毛细血管内皮细胞、滋养层和其他细胞的影响,将结局与胎盘病理学进行了关联。

主要观察指标

死产儿和活产儿的母婴临床结局和胎盘病理学。

结果

报告了胎儿运动减少(77%),从母体 COVID-19 症状出现到活产儿出现胎儿窘迫迹象的时间为 6(3-12)天,到死产诊断的时间为 11(2-25)天。2 名活产儿在产后期间死亡。所有活产儿均因胎儿窘迫迹象而行紧急剖宫产术,脐带血血气和低 Apgar 评分证实宫内缺氧。5 例死产儿和 1 例活产儿新生儿证实存在先天性传播。绒毛膜外纤维蛋白样沉积、绒毛膜炎和滋养层坏死与 SARS-CoV-2 胎盘感染和先天性传播有关。

结论

SARS-CoV-2 可导致迅速的胎盘功能障碍,随后出现急性胎儿缺氧,导致宫内胎儿窘迫。相关的胎盘病理学包括绒毛膜外纤维蛋白样沉积、绒毛膜炎和滋养层变性。

https://cdn.ncbi.nlm.nih.gov/pmc/blobs/46c3/9111112/ddefb7af71a8/BJO-129-1361-g001.jpg

文献AI研究员

20分钟写一篇综述,助力文献阅读效率提升50倍。

立即体验

用中文搜PubMed

大模型驱动的PubMed中文搜索引擎

马上搜索

文档翻译

学术文献翻译模型,支持多种主流文档格式。

立即体验