Suppr超能文献

成纤维脂肪前体细胞与肌纤维之间涉及内皮素的负反馈环促进了人类肌肉纤维化。

A negative feedback loop between fibroadipogenic progenitors and muscle fibres involving endothelin promotes human muscle fibrosis.

机构信息

Sorbonne Université, Inserm, Institut de Myologie, Centre de Recherche en Myologie, Paris, France.

Department of Otolaryngology-Head and Neck Surgery, Tenon Hospital, Assistance Publique des Hôpitaux de Paris, Faculty Medicine Sorbonne University, Paris, France.

出版信息

J Cachexia Sarcopenia Muscle. 2022 Jun;13(3):1771-1784. doi: 10.1002/jcsm.12974. Epub 2022 Mar 22.

Abstract

BACKGROUND

Fibrosis is defined as an excessive accumulation of extracellular matrix (ECM) components. Many organs are subjected to fibrosis including the lung, liver, heart, skin, kidney, and muscle. Muscle fibrosis occurs in response to trauma, aging, or dystrophies and impairs muscle function. Fibrosis represents a hurdle for the treatment of human muscular dystrophies. While data on the mechanisms of fibrosis have mostly been investigated in mice, dystrophic mouse models often do not recapitulate fibrosis as observed in human patients. Consequently, the cellular and molecular mechanisms that lead to fibrosis in human muscle still need to be identified.

METHODS

Combining mass cytometry, transcriptome profiling, in vitro co-culture experiments, and in vivo transplantation in immunodeficient mice, we investigated the role and nature of nonmyogenic cells (fibroadipogenic progenitors, FAPs) from human fibrotic muscles of healthy individuals (FibM ) and individuals with oculopharyngeal muscular dystrophy (OPMD; FibM ), as compared with nonmyogenic cells from human nonfibrotic muscle (M ).

RESULTS

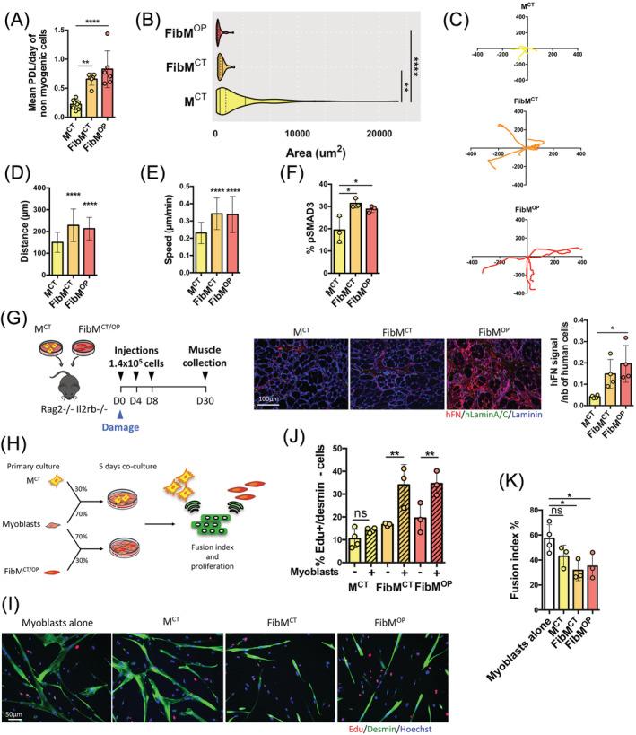
We found that the proliferation rate of FAPs from fibrotic muscle is 3-4 times higher than those of FAPs from nonfibrotic muscle (population doubling per day: M 0.2 ± 0.1, FibM 0.7 ± 0.1, and FibM 0.8 ± 0.3). When cocultured with muscle cells, FAPs from fibrotic muscle impair the fusion index unlike M FAPs (myoblasts alone 57.3 ± 11.1%, coculture with M 43.1 ± 8.9%, with FibM 31.7 ± 8.2%, and with FibM 36.06 ± 10.29%). We also observed an increased proliferation of FAPs from fibrotic muscles in these co-cultures in differentiation conditions (FibM +17.4%, P < 0.01 and FibM +15.1%, P < 0.01). This effect is likely linked to the increased activation of the canonical TGFβ-SMAD pathway in FAPs from fibrotic muscles evidenced by pSMAD3 immunostaining (P < 0.05). In addition to the profibrogenic TGFβ pathway, we identified endothelin as a new actor implicated in the altered cross-talk between muscle cells and fibrotic FAPs, confirmed by an improvement of the fusion index in the presence of bosentan, an endothelin receptor antagonist (from 33.8 ± 10.9% to 52.9 ± 10.1%, P < 0.05).

CONCLUSIONS

Our data demonstrate the key role of FAPs and their cross-talk with muscle cells through a paracrine signalling pathway in fibrosis of human skeletal muscle and identify endothelin as a new druggable target to counteract human muscle fibrosis.

摘要

背景

纤维化被定义为细胞外基质(ECM)成分的过度积累。许多器官都会发生纤维化,包括肺、肝、心、皮肤、肾和肌肉。肌肉纤维化是对创伤、衰老或营养不良的反应,会损害肌肉功能。纤维化是治疗人类肌肉疾病的障碍。虽然关于纤维化机制的数据主要在小鼠中进行了研究,但肌肉营养不良的小鼠模型通常不能再现人类患者中观察到的纤维化。因此,导致人类肌肉纤维化的细胞和分子机制仍有待确定。

方法

我们结合液质联用技术、转录组谱分析、体外共培养实验和免疫缺陷小鼠体内移植,研究了来自健康个体(FibM)和眼咽型肌肉营养不良症个体(FibM)纤维化肌肉的非肌源性细胞(纤维脂肪前体细胞,FAPs)的作用和性质,与来自非纤维化肌肉(M)的非肌源性细胞进行了比较。

结果

我们发现,来自纤维化肌肉的 FAPs 的增殖率比来自非纤维化肌肉的 FAPs 高 3-4 倍(群体倍增数/天:M 0.2 ± 0.1,FibM 0.7 ± 0.1,和 FibM 0.8 ± 0.3)。当与肌肉细胞共培养时,与 M FAPs 不同,来自纤维化肌肉的 FAPs 会降低融合指数(单独培养的成肌细胞为 57.3 ± 11.1%,与 M 共培养为 43.1 ± 8.9%,与 FibM 共培养为 31.7 ± 8.2%,与 FibM 共培养为 36.06 ± 10.29%)。我们还观察到,在分化条件下,来自纤维化肌肉的 FAPs 在这些共培养物中的增殖增加(FibM +17.4%,P < 0.01 和 FibM +15.1%,P < 0.01)。这种效应可能与来自纤维化肌肉的 FAPs 中经典 TGFβ-SMAD 途径的激活增加有关,这一点通过 pSMAD3 免疫染色得到证实(P < 0.05)。除了促纤维化的 TGFβ 途径外,我们还确定内皮素是一种新的因子,它参与了肌肉细胞和纤维化 FAPs 之间的异常相互作用,这一作用通过内皮素受体拮抗剂博来霉素(bosentan)的存在改善了融合指数得到证实(从 33.8 ± 10.9%到 52.9 ± 10.1%,P < 0.05)。

结论

我们的数据表明,FAPs 及其通过旁分泌信号通路与肌肉细胞的相互作用在人类骨骼肌纤维化中起着关键作用,并确定内皮素是一种新的可药物治疗的靶点,可用于对抗人类肌肉纤维化。

https://cdn.ncbi.nlm.nih.gov/pmc/blobs/b739/9178170/a7bc9ee99416/JCSM-13-1771-g001.jpg

文献AI研究员

20分钟写一篇综述,助力文献阅读效率提升50倍。

立即体验

用中文搜PubMed

大模型驱动的PubMed中文搜索引擎

马上搜索

文档翻译

学术文献翻译模型,支持多种主流文档格式。

立即体验