Suppr超能文献

皮肤原发性肿瘤中 UV 突变特征的流行率。

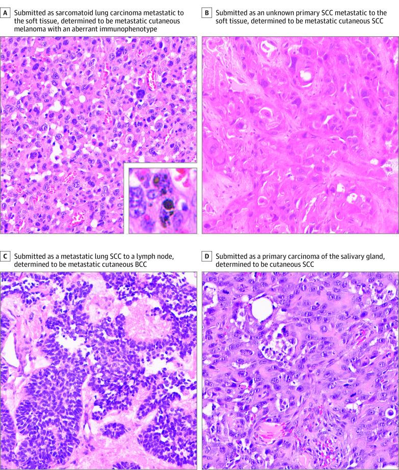
Prevalence of UV Mutational Signatures Among Cutaneous Primary Tumors.

机构信息

Foundation Medicine, Cambridge, Massachusetts.

UCSF Dermatopathology Service, Department of Pathology, Department of Dermatology, University of California, San Francisco.

出版信息

JAMA Netw Open. 2022 Mar 1;5(3):e223833. doi: 10.1001/jamanetworkopen.2022.3833.

Abstract

This cross-sectional study examines the prevalence of UV alteration signatures in a pan-cancer next-generation sequencing database.

摘要

本横断面研究考察了泛癌症下一代测序数据库中 UV 改变特征的流行情况。

https://cdn.ncbi.nlm.nih.gov/pmc/blobs/fe1a/8943639/24a57e59f9bb/jamanetwopen-e223833-g001.jpg

文献AI研究员

20分钟写一篇综述,助力文献阅读效率提升50倍。

立即体验

用中文搜PubMed

大模型驱动的PubMed中文搜索引擎

马上搜索

文档翻译

学术文献翻译模型,支持多种主流文档格式。

立即体验