Suppr超能文献

鞘氨醇激酶和鞘氨醇-1-磷酸受体在感染伯氏疟原虫 ANKA 的小鼠肝病理学中的作用。

Role of sphingosine kinase and sphingosine-1-phosphate receptor in the liver pathology of mice infected with Plasmodium berghei ANKA.

机构信息

Department of Medical Science, School of Medicine, Walailak University, Nakhon Si Thammarat, Thailand.

Research Center in Tropical Pathobiology, Walailak University, Nakhon Si Thammarat, Thailand.

出版信息

PLoS One. 2022 Mar 25;17(3):e0266055. doi: 10.1371/journal.pone.0266055. eCollection 2022.

Abstract

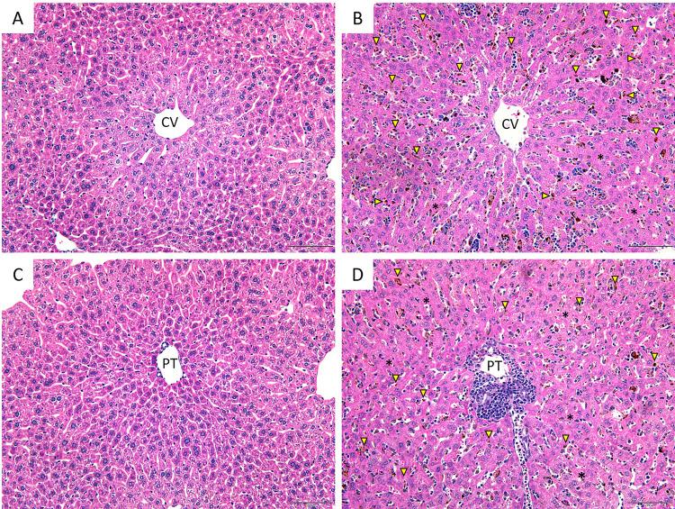
Decreased serum sphingosine 1-phosphate (S1P) has been reported in severe malaria patients, but the expression of receptors and enzymes associated with S1P has not been investigated in the liver of malaria patients. Therefore, this study aimed to investigate the expression of sphingosine kinase (SphK) and S1P receptors (S1PRs) in the liver of malaria-infected mice. C57BL/6 male mice were divided into a control group (n = 10) and a Plasmodium berghei (PbA)-infected group (n = 10). Mice in the malaria group were intraperitoneally injected with 1×106 P. berghei ANKA-infected red blood cells, whereas control mice were intraperitoneally injected with normal saline. Liver tissues were collected on Day 13 of the experiment to evaluate histopathological changes by hematoxylin and eosin staining and to investigate SphK and S1PR expression by immunohistochemistry and real-time PCR. Histological examination of liver tissues from the PbA-infected group revealed sinusoidal dilatation, hemozoin deposition, portal tract inflammation and apoptotic hepatocytes, which were absent in the control group. Immunohistochemical staining showed significant increases in the expression of SphK1 and SphK2 and significant decreases in the expression of S1PR1, S1PR2, and S1PR3 in the endothelium, hepatocytes, and Kupffer cells in liver tissue from the PbA-infected group compared with the control group. Real-time PCR analysis showed the upregulation of SphK1 and the downregulation of S1PR1, S1PR2, and S1PR3 in the liver in the PbA-infected group compared with the control group. In conclusion, this study demonstrates for the first time that SphK1 mRNA expression is upregulated and that S1PR1, S1PR2, and S1PR3 expression is decreased in the liver tissue of PbA-infected mice. Our findings suggest that the decreased levels of S1PR1, S1PR2, and S1PR3 might play an important role in liver injury during malaria infection.

摘要

血清神经酰胺 1-磷酸(S1P)在严重疟疾患者中降低已有报道,但与 S1P 相关的受体和酶在疟疾患者肝脏中的表达尚未得到研究。因此,本研究旨在研究疟原虫感染小鼠肝脏中鞘氨醇激酶(SphK)和 S1P 受体(S1PR)的表达。将 C57BL/6 雄性小鼠分为对照组(n=10)和疟原虫感染组(n=10)。疟疾组小鼠腹腔内注射 1×106 个感染伯氏疟原虫 ANKA 的红细胞,而对照组小鼠腹腔内注射生理盐水。在实验的第 13 天收集肝脏组织,通过苏木精和伊红染色评估组织病理学变化,并通过免疫组织化学和实时 PCR 研究 SphK 和 S1PR 表达。疟原虫感染组肝组织的组织学检查显示,肝窦扩张、含铁血黄素沉积、门脉炎症和凋亡的肝细胞,而对照组则没有这些变化。免疫组织化学染色显示,与对照组相比,疟原虫感染组肝脏组织中 SphK1 和 SphK2 的表达显著增加,S1PR1、S1PR2 和 S1PR3 的表达显著降低,内皮细胞、肝细胞和枯否细胞中均有表达。实时 PCR 分析显示,与对照组相比,疟原虫感染组肝脏中 SphK1 的表达上调,S1PR1、S1PR2 和 S1PR3 的表达下调。综上所述,本研究首次证明,在疟原虫感染的小鼠肝脏中,SphK1 mRNA 表达上调,S1PR1、S1PR2 和 S1PR3 表达下调。我们的研究结果表明,S1PR1、S1PR2 和 S1PR3 水平降低可能在疟疾感染期间肝损伤中发挥重要作用。

https://cdn.ncbi.nlm.nih.gov/pmc/blobs/2d91/8956183/b85fc399f110/pone.0266055.g001.jpg

文献AI研究员

20分钟写一篇综述,助力文献阅读效率提升50倍。

立即体验

用中文搜PubMed

大模型驱动的PubMed中文搜索引擎

马上搜索

文档翻译

学术文献翻译模型,支持多种主流文档格式。

立即体验