Suppr超能文献

酮体生成作为一种内源性保护程序,可在急性胰腺炎期间抑制炎症性巨噬细胞的激活。

Ketogenesis acts as an endogenous protective programme to restrain inflammatory macrophage activation during acute pancreatitis.

机构信息

State Key Laboratory of Oncogenes and Related Genes, Stem Cell Research Centre, Shanghai Cancer Institute, Ren Ji Hospital, Shanghai Jiao Tong University School of Medicine, 160 Pujian Rd, Shanghai 200127 China.

Department and Laboratory of Integrated Traditional Chinese and Western Medicine, Sichuan Provincial Pancreatitis Centre and West China-Liverpool Biomedical Research Centre, West China Hospital, Sichuan University, 37 Guoxue Alley, Chengdu 610041, China; Advanced Mass Spectrometry Centre, Research Core Facility, Frontiers Science Centre for Disease-related Molecular Network, West China Hospital, Sichuan University, Chengdu 610041, China.

出版信息

EBioMedicine. 2022 Apr;78:103959. doi: 10.1016/j.ebiom.2022.103959. Epub 2022 Mar 25.

Abstract

BACKGROUND

Innate immunity and metabolites link to the pathogenesis and severity of acute pancreatitis (AP). However, liver metabolism and its role in immune response and AP progression remain elusive. We investigated the function of liver metabolism in the pathogenesis of AP.

METHODS

Circulating ketone body β-hydroxybutyrate (βOHB) levels were determined in AP clinical cohorts and caerulein-induced AP (CER-AP) mouse models receiving seven (Cer7) or twelve (Cer12) injection regimens at hourly intervals. Liver transcriptomics and metabolomics were compared between CER-AP (Cer7) and CER-AP (Cer12). Inhibition of fatty acid β-oxidation (FAO)-ketogenesis, or supplementation of βOHB was performed in mouse models of AP. The effect and mechanism of βOHB were examined in vitro.

FINDINGS

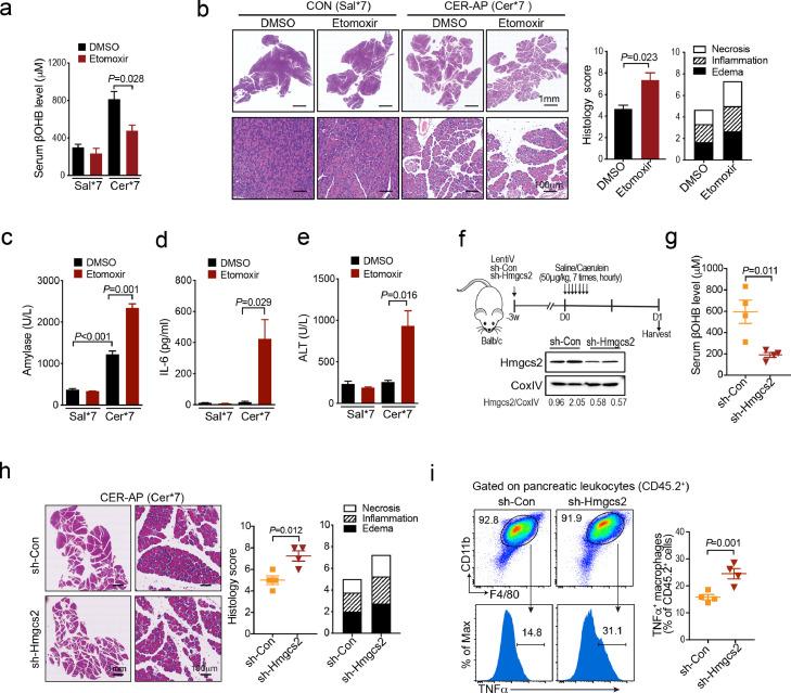
Elevated circulating βOHB was observed in patients with non-severe AP (SAP) but not SAP. These findings were replicated in CER-AP (Cer7) and CER-AP (Cer12), which manifested as limited and hyperactive immune responses, respectively. FAO-ketogenesis was activated in CER-AP (Cer7), while impaired long-chain FAO and mitochondrial function were observed in the liver of CER-AP (Cer12). Blockage of FAO-ketogenesis (Cpt1a antagonism or Hmgcs2 knockdown) worsened, while supplementation of βOHB or its precursor 1,3-butanediol alleviated the severity of CER-AP. Mechanistically, βOHB had a discernible effect on pancreatic acinar cell damage, instead, it greatly attenuated the activation of pancreatic and systemic proinflammatory macrophages via class I histone deacetylases.

INTERPRETATION

Our findings reveal that hepatic ketogenesis is activated as an endogenous protective programme to restrain AP progression, indicating its potential therapeutic value.

FUNDING

This work was supported by the National Natural Science Foundation of China, Shanghai Youth Talent Support Programme, and Shanghai Municipal Education Commission-Gaofeng Clinical Medicine Grant.

摘要

背景

先天免疫和代谢物与急性胰腺炎(AP)的发病机制和严重程度有关。然而,肝代谢及其在免疫反应和 AP 进展中的作用仍不清楚。我们研究了肝代谢在 AP 发病机制中的作用。

方法

在接受每隔一小时注射七次(Cer7)或十二次(Cer12)的 cerulein 诱导的 AP(CER-AP)小鼠模型和 AP 临床队列中,测定循环酮体β-羟丁酸(βOHB)水平。比较 CER-AP(Cer7)和 CER-AP(Cer12)之间的肝转录组学和代谢组学。在 AP 小鼠模型中,进行脂肪酸β氧化(FAO)-酮生成抑制或βOHB 补充。在体外研究了βOHB 的作用和机制。

结果

在非重症 AP(SAP)患者中观察到循环βOHB 升高,但在 SAP 患者中未观察到。这些发现在 CER-AP(Cer7)和 CER-AP(Cer12)中得到了复制,这两种模型分别表现为有限和过度活跃的免疫反应。在 CER-AP(Cer7)中,FAO-酮生成被激活,而在 CER-AP(Cer12)中,观察到长链 FAO 和线粒体功能受损。FAO-酮生成阻断(Cpt1a 拮抗剂或 Hmgcs2 敲低)使病情恶化,而βOHB 或其前体 1,3-丁二醇的补充则缓解了 CER-AP 的严重程度。从机制上讲,βOHB 对胰腺腺泡细胞损伤有明显作用,但通过 I 类组蛋白去乙酰化酶大大减弱了胰腺和全身促炎巨噬细胞的激活。

结论

我们的研究结果表明,肝酮生成被激活作为一种内源性保护程序来抑制 AP 进展,这表明其具有潜在的治疗价值。

经费

本工作得到国家自然科学基金、上海青年人才支持计划和上海市教委-高峰临床医学资助的支持。

https://cdn.ncbi.nlm.nih.gov/pmc/blobs/37ef/8960978/de7df2a268b2/gr1.jpg

文献AI研究员

20分钟写一篇综述,助力文献阅读效率提升50倍。

立即体验

用中文搜PubMed

大模型驱动的PubMed中文搜索引擎

马上搜索

文档翻译

学术文献翻译模型,支持多种主流文档格式。

立即体验