Suppr超能文献

METTL14通过一种m6A - YTHDF2依赖的机制抑制THBS1,从而促进前列腺肿瘤发生。

METTL14 promotes prostate tumorigenesis by inhibiting THBS1 via an m6A-YTHDF2-dependent mechanism.

作者信息

Wang Yongjie, Chen Junfei, Gao Wei-Qiang, Yang Ru

机构信息

State Key Laboratory of Oncogenes and Related Genes, Renji-MedX Clinical Stem Cell Research Center, Ren Ji Hospital, School of Medicine, Shanghai Jiao Tong University, 200127, Shanghai, China.

State Key Laboratory of Oncogenes and Related Genes, Shanghai Cancer Institute, Renji Hospital, School of Medicine, Shanghai Jiao Tong University, 200032, Shanghai, China.

出版信息

Cell Death Discov. 2022 Mar 30;8(1):143. doi: 10.1038/s41420-022-00939-0.

Abstract

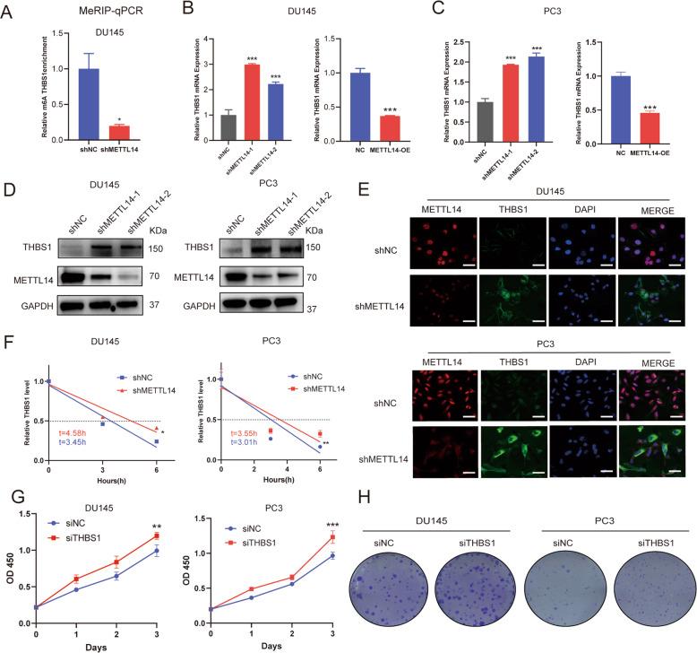
N6-methyladenine (m6A) is the most predominant RNA modification, which has been shown to be related to many types of cancers. However, understanding of its role in prostate cancer (PCa) is largely unknown. Here, we report an upregulation of METTL14 that was correlated with poor prognosis in PCa patients. Functionally, knocking down METTL14 inhibited tumor proliferation both in vitro and in vivo. Mechanically, RNA-seq and MeRIP-seq analyses identified THBS1 as the downstream target of METTL14 in PCa. METTL14 downregulated THBS1 expression in an m6A-dependent manner, which resulted in the recruitment of YTHDF2 to recognize and degrade Thrombospondin 1 (THBS1) mRNA. Thus, our findings revealed that METTL14 acted as an oncogene by inhibiting THBS1 expression via an m6A-YTHDF2-dependent manner. METTL14 could be a potential prognosis marker and a therapeutic target.

摘要

N6-甲基腺嘌呤(m6A)是最主要的RNA修饰,已被证明与多种癌症相关。然而,其在前列腺癌(PCa)中的作用在很大程度上尚不清楚。在此,我们报告METTL14的上调与PCa患者的不良预后相关。在功能上,敲低METTL14在体外和体内均抑制肿瘤增殖。在机制上,RNA测序和MeRIP测序分析确定THBS1是PCa中METTL14的下游靶点。METTL14以m6A依赖的方式下调THBS1表达,这导致YTHDF2的募集以识别并降解血小板反应蛋白1(THBS1)mRNA。因此,我们的研究结果表明,METTL14通过m6A-YTHDF2依赖的方式抑制THBS1表达,从而发挥癌基因的作用。METTL14可能是一种潜在的预后标志物和治疗靶点。

https://cdn.ncbi.nlm.nih.gov/pmc/blobs/db98/8967870/284da9e55916/41420_2022_939_Fig1_HTML.jpg

文献AI研究员

20分钟写一篇综述,助力文献阅读效率提升50倍。

立即体验

用中文搜PubMed

大模型驱动的PubMed中文搜索引擎

马上搜索

文档翻译

学术文献翻译模型,支持多种主流文档格式。

立即体验