Suppr超能文献

突触拓扑结构和下调事件决定了抗 CD19 T 细胞重定向策略的功能结果。

Synapse topology and downmodulation events determine the functional outcome of anti-CD19 T cell-redirecting strategies.

机构信息

Cancer Immunotherapy Unit (UNICA), Department of Immunology, Hospital, Universitario 12 de Octubre, Madrid, Spain.

Immuno-Oncology and Immunotherapy Group, Instituto de Investigación Sanitaria 12 de Octubre (imas12), Madrid, Spain.

出版信息

Oncoimmunology. 2022 Mar 23;11(1):2054106. doi: 10.1080/2162402X.2022.2054106. eCollection 2022.

Abstract

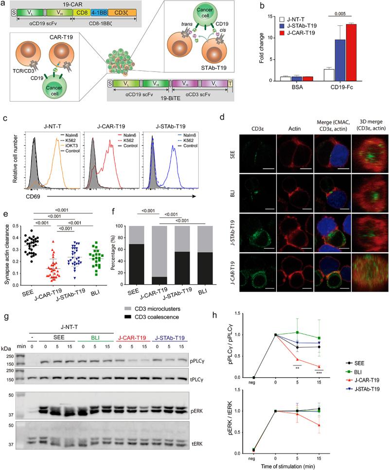
Cancer immunotherapy strategies based on the endogenous secretion of T cell-redirecting bispecific antibodies by engineered T lymphocytes (STAb-T) are emerging as alternative or complementary approaches to those based on chimeric antigen receptors (CAR-T). The antitumor efficacy of bispecific anti-CD19 × anti-CD3 (CD19×CD3) T cell engager (BiTE)-secreting STAb-T cells has been demonstrated in several mouse models of B-cell acute leukemia. Here, we have investigated the spatial topology and downstream signaling of the artificial immunological synapses (IS) that are formed by CAR-T or STAb-T cells. Upon interaction with CD19-positive target cells, STAb-T cells form IS with structure and signal transduction, which more closely resemble those of physiological cognate IS, compared to IS formed by CAR-T cells expressing a second-generation CAR bearing the same CD19-single-chain variable fragment. Importantly, while CD3 is maintained at detectable levels on the surface of STAb-T cells, indicating sustained activation mediated by the secreted BiTE, the anti-CD19 CAR was rapidly downmodulated, which correlated with a more transient downstream signaling. Furthermore, CAR-T cells, but not STAb-T cells, provoke an acute loss of CD19 in target cells. Such differences might represent advantages of the STAb-T strategy over the CAR-T approach and should be carefully considered in order to develop more effective and safer treatments for hematological malignancies.

摘要

基于工程化 T 淋巴细胞(STAb-T)内源性分泌 T 细胞重定向双特异性抗体的癌症免疫治疗策略,正在成为基于嵌合抗原受体(CAR-T)的替代或互补方法。几种 B 细胞急性白血病的小鼠模型已经证明了分泌双特异性抗 CD19×抗 CD3(CD19×CD3)T 细胞衔接器(BiTE)的双特异性抗 CD19×抗 CD3(CD19×CD3)T 细胞衔接器(BiTE)-分泌 STAb-T 细胞的抗肿瘤疗效。在这里,我们研究了由 CAR-T 或 STAb-T 细胞形成的人工免疫突触(IS)的空间拓扑结构和下游信号转导。在与 CD19 阳性靶细胞相互作用后,STAb-T 细胞形成具有结构和信号转导的 IS,与 CAR-T 细胞形成的 IS 相比,更类似于生理同源 IS,CAR-T 细胞表达的第二代 CAR 带有相同的 CD19-单链可变片段。重要的是,虽然 STAb-T 细胞表面可检测到 CD3 的水平,表明通过分泌的 BiTE 介导持续激活,但抗 CD19 CAR 迅速下调,这与更短暂的下游信号转导相关。此外,CAR-T 细胞而不是 STAb-T 细胞会引起靶细胞中 CD19 的急性丢失。这些差异可能代表了 STAb-T 策略相对于 CAR-T 方法的优势,在开发治疗血液恶性肿瘤的更有效和更安全的治疗方法时应仔细考虑。

https://cdn.ncbi.nlm.nih.gov/pmc/blobs/ff64/8959521/355aefe56aa0/KONI_A_2054106_F0001_OC.jpg

文献AI研究员

20分钟写一篇综述,助力文献阅读效率提升50倍。

立即体验

用中文搜PubMed

大模型驱动的PubMed中文搜索引擎

马上搜索

文档翻译

学术文献翻译模型,支持多种主流文档格式。

立即体验