Suppr超能文献

克服 CAR 介导的 CD19 下调和抗 CD19 T 细胞结合物分泌 T 淋巴细胞导致的白血病复发

Overcoming CAR-Mediated CD19 Downmodulation and Leukemia Relapse with T Lymphocytes Secreting Anti-CD19 T-cell Engagers.

机构信息

Cancer Immunotherapy Unit (UNICA), Department of Immunology, Hospital Universitario 12 de Octubre, Madrid, Spain.

Immuno-Oncology and Immunotherapy Group, Instituto de Investigación Sanitaria 12 de Octubre (imas12), Madrid, Spain.

出版信息

Cancer Immunol Res. 2022 Apr 1;10(4):498-511. doi: 10.1158/2326-6066.CIR-21-0853.

Abstract

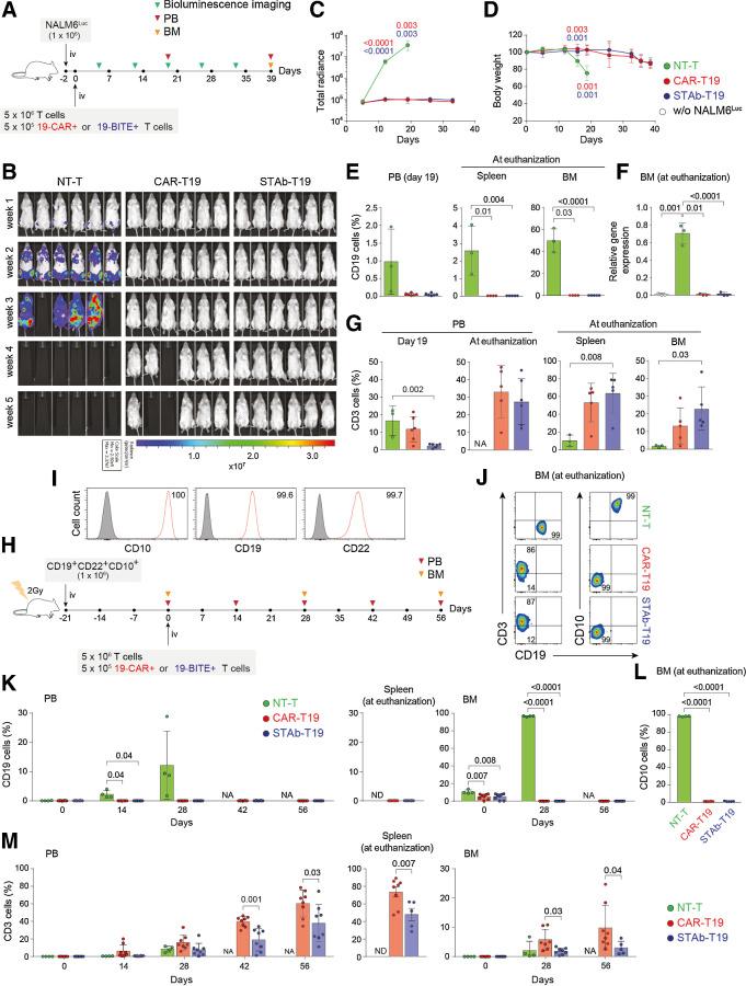
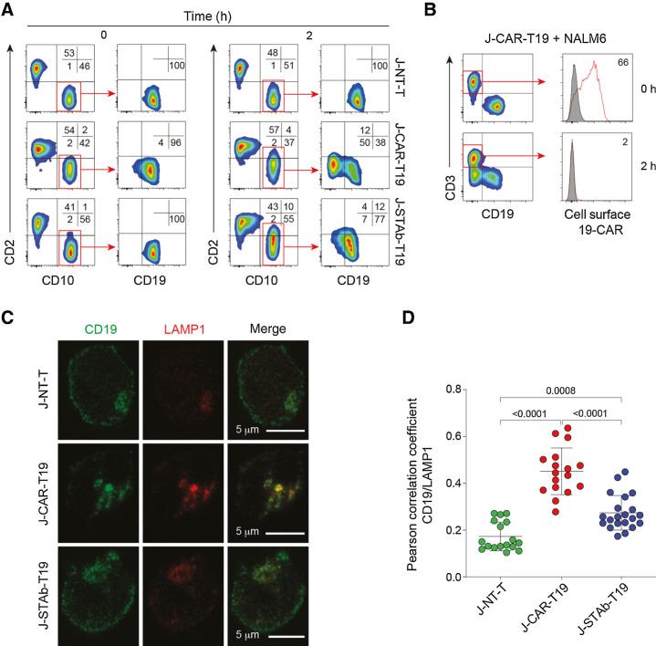
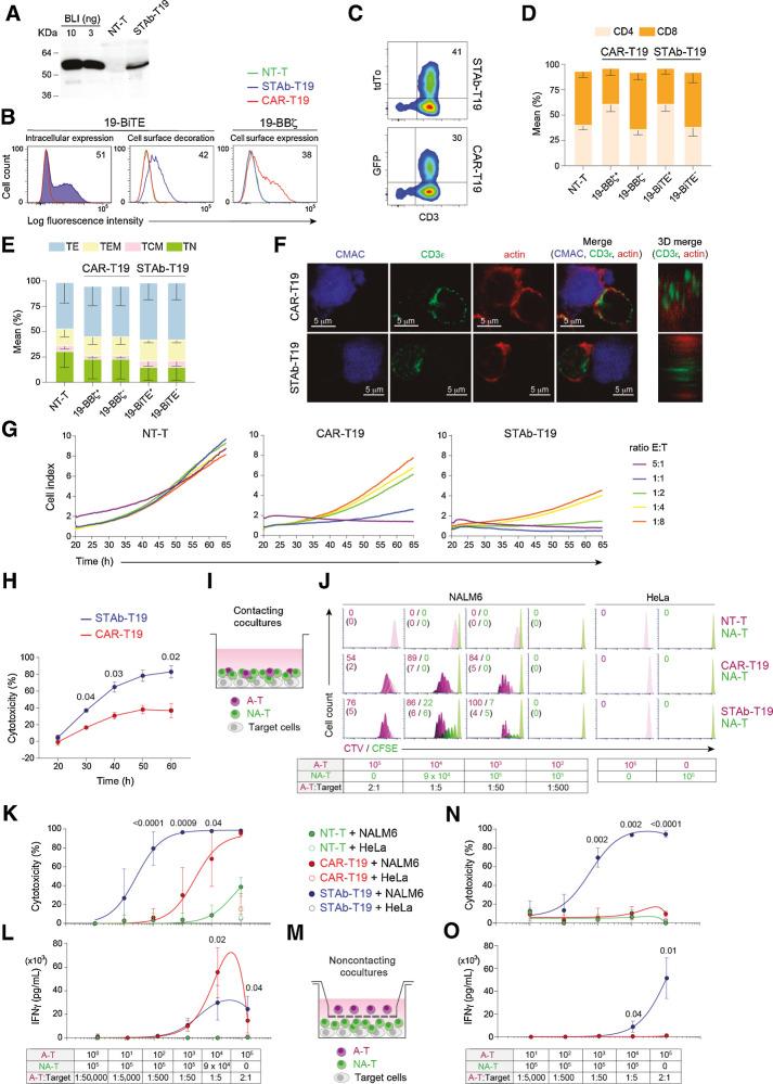
Chimeric antigen receptor (CAR)-modified T cells have revolutionized the treatment of CD19-positive hematologic malignancies. Although anti-CD19 CAR-engineered autologous T cells can induce remission in patients with B-cell acute lymphoblastic leukemia, a large subset relapse, most of them with CD19-positive disease. Therefore, new therapeutic strategies are clearly needed. Here, we report a comprehensive study comparing engineered T cells either expressing a second-generation anti-CD19 CAR (CAR-T19) or secreting a CD19/CD3-targeting bispecific T-cell engager antibody (STAb-T19). We found that STAb-T19 cells are more effective than CAR-T19 cells at inducing cytotoxicity, avoiding leukemia escape in vitro, and preventing relapse in vivo. We observed that leukemia escape in vitro is associated with rapid and drastic CAR-induced internalization of CD19 that is coupled with lysosome-mediated degradation, leading to the emergence of transiently CD19-negative leukemic cells that evade the immune response of engineered CAR-T19 cells. In contrast, engineered STAb-T19 cells induce the formation of canonical immunologic synapses and prevent the CD19 downmodulation observed in anti-CD19 CAR-mediated interactions. Although both strategies show similar efficacy in short-term mouse models, there is a significant difference in a long-term patient-derived xenograft mouse model, where STAb-T19 cells efficiently eradicated leukemia cells, but leukemia relapsed after CAR-T19 therapy. Our findings suggest that the absence of CD19 downmodulation in the STAb-T19 strategy, coupled with the continued antibody secretion, allows an efficient recruitment of the endogenous T-cell pool, resulting in fast and effective elimination of cancer cells that may prevent CD19-positive relapses frequently associated with CAR-T19 therapies.

摘要

嵌合抗原受体(CAR)修饰的 T 细胞彻底改变了 CD19 阳性血液恶性肿瘤的治疗方法。虽然抗 CD19 CAR 工程自体 T 细胞可以诱导 B 细胞急性淋巴细胞白血病患者缓解,但仍有很大一部分患者复发,其中大多数患者疾病仍为 CD19 阳性。因此,显然需要新的治疗策略。在这里,我们报告了一项全面的研究,比较了表达第二代抗 CD19 CAR(CAR-T19)或分泌靶向 CD19/CD3 的双特异性 T 细胞衔接抗体(STAb-T19)的工程化 T 细胞。我们发现,与 CAR-T19 细胞相比,STAb-T19 细胞在诱导细胞毒性、避免体外白血病逃逸以及在体内预防复发方面更有效。我们观察到体外白血病逃逸与 CAR 诱导的 CD19 快速和剧烈内化有关,这种内化与溶酶体介导的降解相关,导致短暂性 CD19 阴性白血病细胞的出现,从而逃避了工程化 CAR-T19 细胞的免疫反应。相比之下,工程化 STAb-T19 细胞诱导形成经典免疫突触,并防止在抗 CD19 CAR 介导的相互作用中观察到的 CD19 下调。尽管这两种策略在短期小鼠模型中显示出相似的疗效,但在长期患者来源的异种移植小鼠模型中存在显著差异,其中 STAb-T19 细胞有效地根除了白血病细胞,但在 CAR-T19 治疗后白血病复发。我们的研究结果表明,STAb-T19 策略中不存在 CD19 下调,加上持续的抗体分泌,允许有效地招募内源性 T 细胞池,从而快速有效地消除癌细胞,这可能防止与 CAR-T19 治疗相关的频繁 CD19 阳性复发。

https://cdn.ncbi.nlm.nih.gov/pmc/blobs/8684/9355620/b6327cd13cb6/498fig1.jpg

文献AI研究员

20分钟写一篇综述,助力文献阅读效率提升50倍。

立即体验

用中文搜PubMed

大模型驱动的PubMed中文搜索引擎

马上搜索

文档翻译

学术文献翻译模型,支持多种主流文档格式。

立即体验