Suppr超能文献

肺肿块中 SMARCA4 缺陷未分化肿瘤——一种罕见肿瘤,脑转移更为罕见:病例报告及文献复习。

SMARCA4-Deficient Undifferentiated Tumor of Lung Mass-A Rare Tumor With the Rarer Occurrence of Brain Metastasis: A Case Report and Review of the Literature.

机构信息

Brookdale University Hospital Medical Center, Brooklyn, NY, USA.

出版信息

J Investig Med High Impact Case Rep. 2022 Jan-Dec;10:23247096221074864. doi: 10.1177/23247096221074864.

Abstract

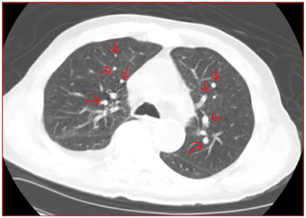
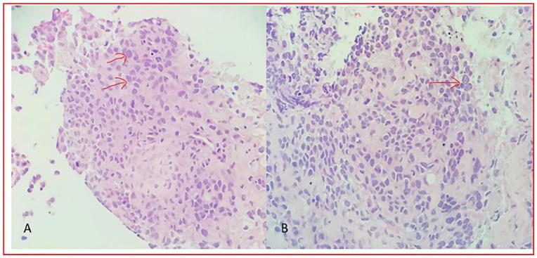
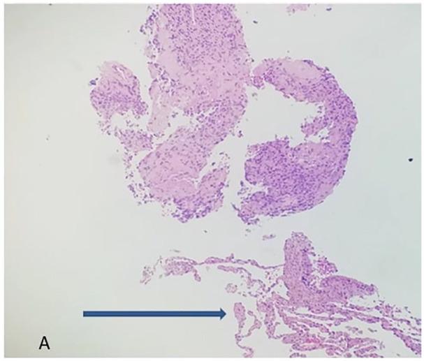
Among thoracic tumors, these include subsets of a relatively newly described and yet to be fully characterized tumor entity: SMARCA4-deficient Undifferentiated Tumor (SMARCA4-dUT). Mutations of SMARCA4 (SWI/SNF-related, matrix-associated, actin-dependent regulator of chromatin, subfamily A, member 4) gene and loss of BRG1 (Brahma-related gene-1) is the underlying molecular hallmark of SMARCA4-dUT. They mostly involved the mediastinum, lung, and/or pleura showing undifferentiated round cell or rhabdoid morphology associated with aggressive clinical behavior. The pathogenesis of these tumors is still not clear. Morphologically, SMARAC4-dUT is differentiated from SMARCA4-dNSCLC by the presence of squamous and solid components in the latter. Immunohistochemically SMARC4-dUT has characteristic loss of SMARCA4 and SMARCA2 and strong expression of SOX2, CD34, and SALL4. Common sites of metastasis include lymph nodes, bones, and adrenal glands but rarely brain metastasis. We present a unique and rare case of a 76-year-old male with a right lung mass with documented pathology of SMARCA4-dUT and was found to have multiple brain metastases.

摘要

在胸部肿瘤中,这些包括相对新近描述且尚未完全特征化的肿瘤实体的亚组:SMARCA4 缺陷型未分化肿瘤(SMARCA4-dUT)。SMARCA4(SWI/SNF 相关的、基质相关的、肌动蛋白依赖性染色质调节因子亚家族 A 成员 4)基因突变和 BRG1(Brahma 相关基因-1)的缺失是 SMARCA4-dUT 的潜在分子特征。它们主要涉及纵隔、肺和/或胸膜,表现为与侵袭性临床行为相关的未分化圆形细胞或横纹肌样形态。这些肿瘤的发病机制尚不清楚。在形态学上,SMARAC4-dUT 与 SMARCA4-dNSCLC 不同,后者存在鳞状和实性成分。免疫组织化学显示 SMARC4-dUT 具有特征性的 SMARCA4 和 SMARCA2 缺失以及 SOX2、CD34 和 SALL4 的强烈表达。常见的转移部位包括淋巴结、骨骼和肾上腺,但很少有脑转移。我们报告了一例 76 岁男性的右侧肺部肿块,其病理学证实为 SMARCA4-dUT,并发现有多个脑转移。

https://cdn.ncbi.nlm.nih.gov/pmc/blobs/d1fd/8978313/74f99f5d0220/10.1177_23247096221074864-fig1.jpg

文献AI研究员

20分钟写一篇综述,助力文献阅读效率提升50倍。

立即体验

用中文搜PubMed

大模型驱动的PubMed中文搜索引擎

马上搜索

文档翻译

学术文献翻译模型,支持多种主流文档格式。

立即体验