Suppr超能文献

胸段发育不全性未分化肿瘤

Thoracic -deficient undifferentiated tumor.

作者信息

Izumi Yukina, Sano Yuko, Yamada Kaori, Ichijo Yusuke, Yoshida Mariko, Nishioka Yuka, Imoto Natsuki, Imabayashi Tatsuya, Jinno Kazuki, Urata Yoji, Hayakawa Katsumi

机构信息

Department of Diagnostic Radiology, Japanese Red Cross Kyoto Daiichi Hospital, Kyoto, Japan.

Department of Respiratory Medicine, Japanese Red Cross Kyoto Daiichi Hospital, Kyoto, Japan.

出版信息

Radiol Case Rep. 2025 Mar 24;20(6):2950-2955. doi: 10.1016/j.radcr.2025.02.109. eCollection 2025 Jun.

Abstract

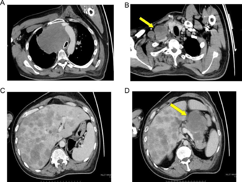
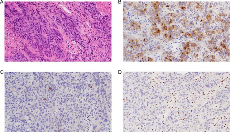
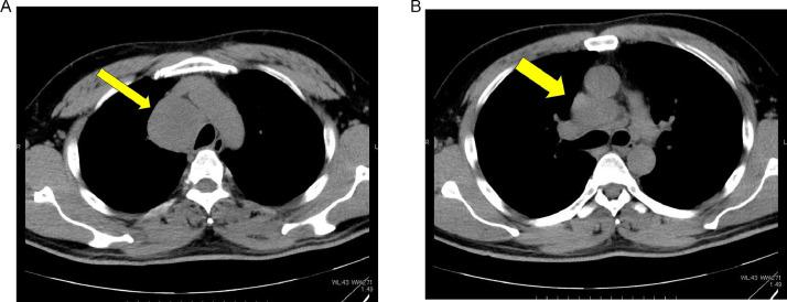
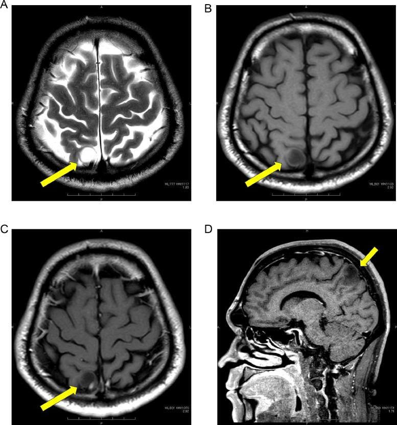
Thoracic -deficient undifferentiated tumor (-UT) is characterized by an undifferentiated rhabdoid morphology and deficiency pathologically. In the 2021 revision of the WHO classification, it was categorized as an epithelial tumor because of its shared genetic background with smoking-related lung cancer. We describe the case of a 44-year-old man with a rapidly enlarging mediastinal mass observed on chest radiography and CT. The tumor was resistant to radiation therapy, chemotherapy, and immune checkpoint inhibitors, and the patient's survival time was approximately 5 months. Familiarity with the clinical background and imaging findings of thoracic -UT is crucial for early diagnosis and treatment planning.

摘要

胸段发育不全未分化肿瘤(-UT)的特征是具有未分化的横纹肌样形态且病理表现为发育不全。在世界卫生组织(WHO)2021年的分类修订版中,因其与吸烟相关肺癌具有共同的遗传背景,它被归类为上皮性肿瘤。我们描述了一名44岁男性的病例,胸部X线和CT检查发现其纵隔肿块迅速增大。该肿瘤对放射治疗、化疗和免疫检查点抑制剂均耐药,患者生存时间约为5个月。熟悉胸段-UT的临床背景和影像学表现对于早期诊断和治疗规划至关重要。

https://cdn.ncbi.nlm.nih.gov/pmc/blobs/d214/11985039/c30b7b67a332/gr1.jpg

文献AI研究员

20分钟写一篇综述,助力文献阅读效率提升50倍。

立即体验

用中文搜PubMed

大模型驱动的PubMed中文搜索引擎

马上搜索

文档翻译

学术文献翻译模型,支持多种主流文档格式。

立即体验