Suppr超能文献

小肠转移瘤导致胸段SMARCA4缺陷型未分化肿瘤的诊断:一例报告

Small Intestine Metastasis Leads to the Diagnosis of Thoracic SMARCA4-Deficient Undifferentiated Tumor: A Case Report.

作者信息

Sanai Rei, Yanagihara Toyoshi, Ikeda Takato, Koga Kaori, Shundo Yuki, Hamada Naoki, Ebi Noriyuki, Inoue Hiroyuki, Hamada Yoshihiro, Hamasaki Makoto, Fujita Masaki

机构信息

Department of Respiratory Medicine, Fukuoka University Hospital, Fukuoka, JPN.

Department of Pathology, Fukuoka University School of Medicine, Fukuoka, JPN.

出版信息

Cureus. 2024 Sep 1;16(9):e68364. doi: 10.7759/cureus.68364. eCollection 2024 Sep.

Abstract

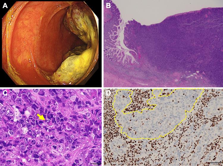
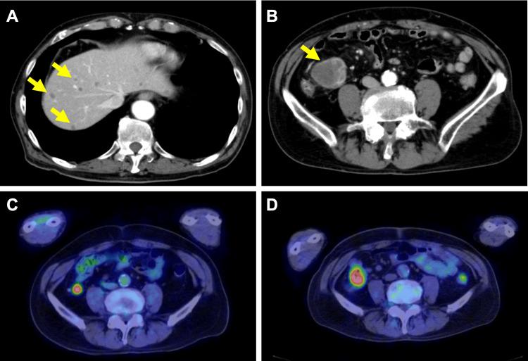
SMARCA4-deficient undifferentiated tumor (SMARCA4-UT) is a rare and aggressive malignancy characterized by the loss of SMARCA4 protein expression. It typically affects middle-aged male smokers and has a poor prognosis due to its rapid progression and metastatic potential. This case report presents a 73-year-old male diagnosed with a thoracic SMARCA4-UT. Initially diagnosed with stage IVA non-small cell lung cancer, the patient underwent brain tumor resection, radiation, and chemo-immunotherapy. Treatment was halted due to immune-related adverse events. During treatment, a progressing small intestine tumor was discovered, resected, and identified as SMARCA4-UT metastasis through immunohistochemistry, leading to a revised diagnosis of SMARCA4-UT with brain and small intestine metastases. The patient received multimodal treatment, including surgery, radiation, and chemo-immunotherapy. The small intestine metastasis showed resistance to systemic therapy, necessitating surgical intervention. This case highlights the diagnostic challenges and treatment complexities of SMARCA4-UT, emphasizing the importance of comprehensive diagnostic workup and personalized treatment strategies. It demonstrates the potential efficacy of combining systemic therapy with targeted interventions for oligoprogressive disease. The patient's progression-free survival at approximately two years post-diagnosis underscores the need for further research into optimal management strategies for this rare tumor.

摘要

SMARCA4缺陷型未分化肿瘤(SMARCA4-UT)是一种罕见的侵袭性恶性肿瘤,其特征是SMARCA4蛋白表达缺失。它通常影响中年男性吸烟者,由于其快速进展和转移潜能,预后较差。本病例报告介绍了一名73岁男性,被诊断为胸部SMARCA4-UT。该患者最初被诊断为IVA期非小细胞肺癌,接受了脑肿瘤切除、放疗和化学免疫治疗。由于免疫相关不良事件,治疗中断。在治疗期间,发现了一个进展性小肠肿瘤,将其切除,并通过免疫组织化学鉴定为SMARCA4-UT转移,从而将诊断修订为伴有脑和小肠转移的SMARCA4-UT。患者接受了多模式治疗,包括手术、放疗和化学免疫治疗。小肠转移瘤对全身治疗耐药,需要进行手术干预。本病例突出了SMARCA4-UT的诊断挑战和治疗复杂性,强调了全面诊断检查和个性化治疗策略的重要性。它证明了将全身治疗与针对寡进展性疾病的靶向干预相结合的潜在疗效。患者在诊断后约两年的无进展生存期强调了对这种罕见肿瘤的最佳管理策略进行进一步研究的必要性。

https://cdn.ncbi.nlm.nih.gov/pmc/blobs/c5d3/11444843/84ec71a4cade/cureus-0016-00000068364-i01.jpg

文献AI研究员

20分钟写一篇综述,助力文献阅读效率提升50倍。

立即体验

用中文搜PubMed

大模型驱动的PubMed中文搜索引擎

马上搜索

文档翻译

学术文献翻译模型,支持多种主流文档格式。

立即体验