Suppr超能文献

一种合成的齐墩果-28,13β-内酰胺靶向YTHDF1-GLS1轴,在胰腺腺癌中诱导ROS依赖性代谢危机和细胞死亡。

A synthesized olean-28,13β-lactam targets YTHDF1-GLS1 axis to induce ROS-dependent metabolic crisis and cell death in pancreatic adenocarcinoma.

作者信息

Wu Shijia, Ai Yong, Huang Huimin, Wu Guangyu, Zhou Shipeng, Hong Weilong, Akuetteh Percy David Papa, Jin Guihua, Zhao Xingling, Zhang Yihua, Zhang Xiaolong, Lan Linhua

机构信息

Key Laboratory of Diagnosis and Treatment of Severe Hepato-Pancreatic Diseases of Zhejiang Province, The First Affiliated Hospital of Wenzhou Medical University, Wenzhou, 325000, People's Republic of China.

Department of Pharmacology, University of Maryland, Baltimore, USA.

出版信息

Cancer Cell Int. 2022 Apr 2;22(1):143. doi: 10.1186/s12935-022-02562-6.

Abstract

BACKGROUND

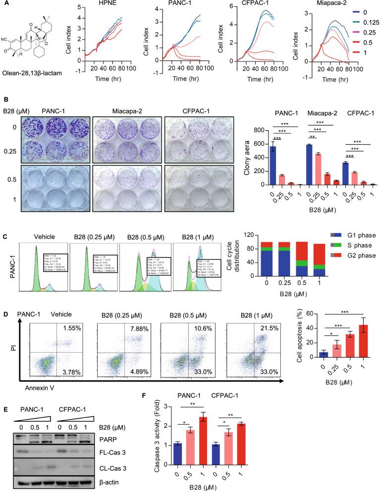
Pancreatic adenocarcinoma (PAAD) is a severe malignant with a 5-year survival rate of approximately 9%. Oleanolic acid is a well-known natural triterpenoid which exhibits pharmacological activities. We previously synthesized a series of oleanolic acid derivatives and evaluated the tumor-suppressive activity of olean-28,13β-lactam (B28) in prostate cancer. However, the detailed mechanism remains to be understood.

METHODS

The anti-tumor activity of B28 in PAAD was confirmed by RTCA, colony formation assay and flow cytometry. GO and KEGG enrichment analyses were performed to analyze the differentially expressed genes (DEGs) obtained by RNA sequencing. The effects of B28 on cell bioenergetics were evaluated by seahorse analyzer. Lenti-virus packaged plasmids were performed to knockdown or overexpress target genes. Alteration of mitochondrial membrane potential, ROS and GSH/GSSG were measured by corresponding detection kits according to the manufacturer's protocol.

RESULTS

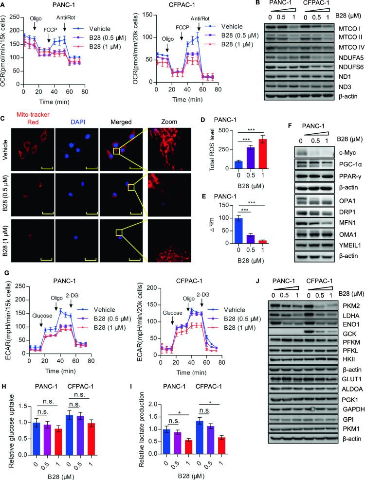
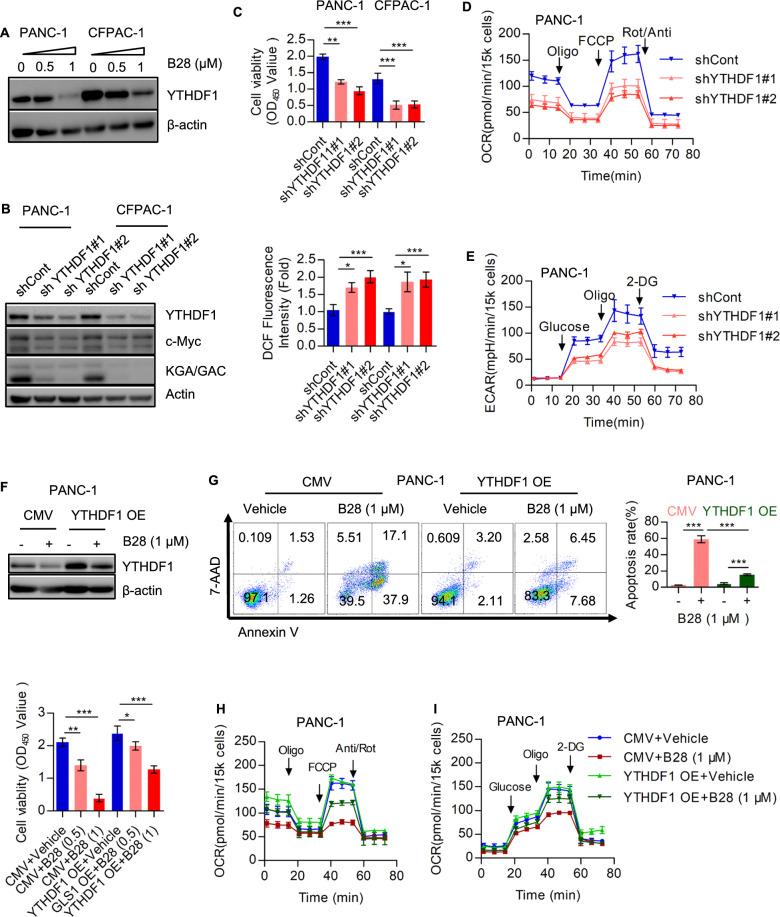
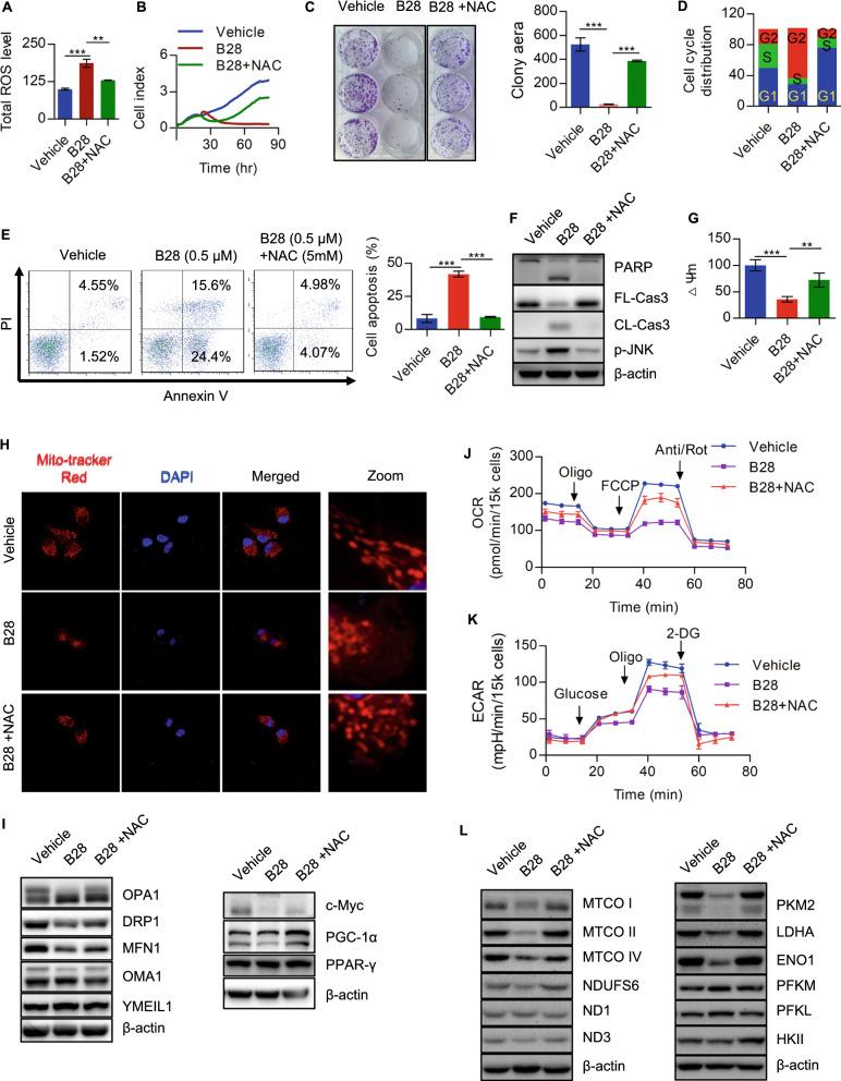
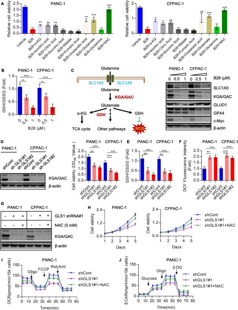
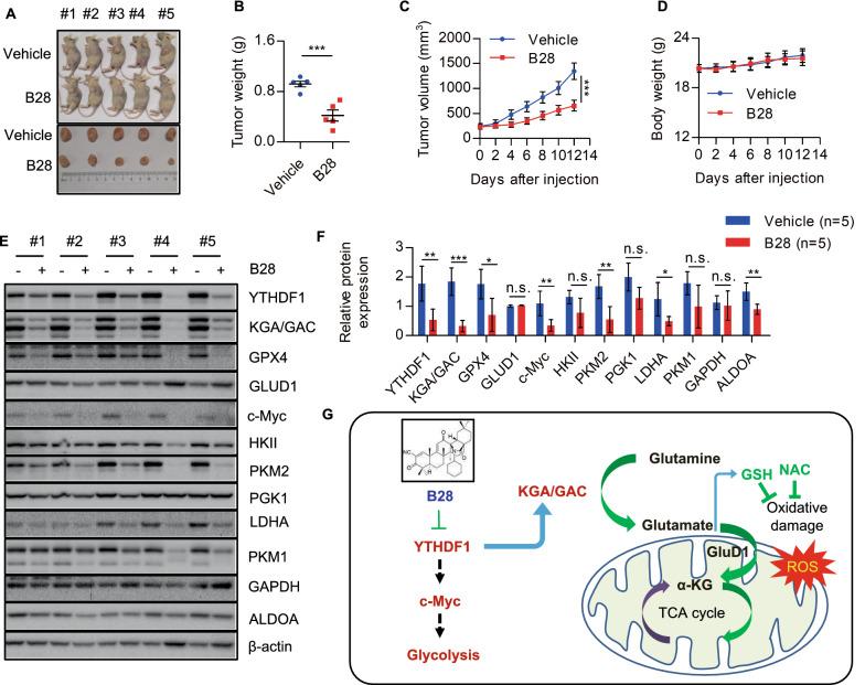
We evaluated and confirmed the promising anti-tumor activity of B28 in vitro. RNA-seq profile indicated that multiple metabolic pathways were interrupted in B28 treated PAAD cells. Next, we demonstrated that B28 induces cellular bioenergetics crisis to inhibit PAAD cells growth and induce cell death. We further validated that cell cycle arrest, inhibition of cell growth, cell apoptosis and cell bioenergetics disruption were functionally rescued by ROS scavenger NAC. Mechanistically, we found glutamine metabolism was inhibited due to B28 administration. Moreover, we validated that down-regulation of GLS1 contributes to ROS generation and bioenergetics interruption induced by B28. Furthermore, we elucidated that YTHDF1-GLS1 axis is the potential downstream target of B28 to induce PAAD cell metabolic crisis and cell death. Finally, we also confirmed the anti-tumor activity of B28 in vivo.

CONCLUSIONS

Current study demonstrates B28 disrupts YTDFH1-GLS1 axis to induce ROS-dependent cell bioenergetics crisis and cell death which finally suppress PAAD cell growth, indicating that this synthesized olean-28,13β-lactam maybe a potent agent for PAAD intervention.

摘要

背景

胰腺腺癌(PAAD)是一种严重的恶性肿瘤,5年生存率约为9%。齐墩果酸是一种著名的天然三萜类化合物,具有药理活性。我们之前合成了一系列齐墩果酸衍生物,并评估了齐墩果-28,13β-内酰胺(B28)在前列腺癌中的抑瘤活性。然而,其详细机制仍有待了解。

方法

通过实时无标记细胞分析、集落形成试验和流式细胞术证实了B28在PAAD中的抗肿瘤活性。进行基因本体(GO)和京都基因与基因组百科全书(KEGG)富集分析,以分析通过RNA测序获得的差异表达基因(DEG)。用海马分析仪评估B28对细胞生物能量学的影响。采用慢病毒包装质粒敲低或过表达靶基因。根据制造商的方案,用相应的检测试剂盒测量线粒体膜电位、活性氧(ROS)和谷胱甘肽(GSH)/氧化型谷胱甘肽(GSSG)的变化。

结果

我们评估并证实在体外B28具有良好的抗肿瘤活性。RNA测序图谱表明,在B28处理的PAAD细胞中,多个代谢途径被中断。接下来,我们证明B28诱导细胞生物能量学危机,以抑制PAAD细胞生长并诱导细胞死亡。我们进一步证实,ROS清除剂N-乙酰半胱氨酸(NAC)在功能上挽救了细胞周期停滞、细胞生长抑制、细胞凋亡和细胞生物能量学破坏。从机制上讲,我们发现由于给予B28,谷氨酰胺代谢受到抑制。此外,我们证实谷氨酸-1-半胱氨酸裂合酶(GLS1)的下调导致了B28诱导的ROS生成和生物能量学中断。此外,我们阐明了YTH结构域家族蛋白1(YTHDF1)-GLS1轴是B28诱导PAAD细胞代谢危机和细胞死亡的潜在下游靶点。最后,我们也证实在体内B28具有抗肿瘤活性。

结论

当前研究表明,B28破坏YTDFH1-GLS1轴,诱导ROS依赖性细胞生物能量学危机和细胞死亡,最终抑制PAAD细胞生长,表明这种合成的齐墩果-28,13β-内酰胺可能是一种有效的PAAD干预药物。

https://cdn.ncbi.nlm.nih.gov/pmc/blobs/3532/8976991/ce4d43bef0b9/12935_2022_2562_Fig1_HTML.jpg

文献AI研究员

20分钟写一篇综述,助力文献阅读效率提升50倍。

立即体验

用中文搜PubMed

大模型驱动的PubMed中文搜索引擎

马上搜索

文档翻译

学术文献翻译模型,支持多种主流文档格式。

立即体验