Suppr超能文献

病例报告:纤维性发育不良中颅面病变负担与疼痛之间的不完全关联。

Case Report: The Imperfect Association Between Craniofacial Lesion Burden and Pain in Fibrous Dysplasia.

作者信息

Golden Emma, Zhang Fan, Selen Daryl J, Ebb David, Romo Laura, Drubach Laura A, Shah Nehal, O'Donnell Lauren J, Lemme Jordan D, Myers Rachel, Cay Mariesa, Kronenberg Henry M, Westin Carl-Fredrik, Boyce Alison M, Kaban Leonard B, Upadhyay Jaymin

机构信息

Department of Anesthesiology, Critical Care and Pain Medicine, Boston Children's Hospital and Harvard Medical School, Boston, MA, United States.

Department of Radiology, Brigham and Women's Hospital and Harvard Medical School, Boston, MA, United States.

出版信息

Front Neurol. 2022 Mar 16;13:855157. doi: 10.3389/fneur.2022.855157. eCollection 2022.

Abstract

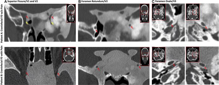
Patients with fibrous dysplasia (FD) often present with craniofacial lesions that affect the trigeminal nerve system. Debilitating pain, headache, and migraine are frequently experienced by FD patients with poor prognosis, while some individuals with similar bone lesions are asymptomatic. The clinical and biological factors that contribute to the etiopathogenesis of pain in craniofacial FD are largely unknown. We present two adult females with comparable craniofacial FD lesion size and location, as measured by F-sodium fluoride positron emission tomography/computed tomography (PET/CT), yet their respective pain phenotypes differed significantly. Over 4 weeks, the average pain reported by Patient A was 0.4/0-10 scale. Patient B reported average pain of 7.8/0-10 scale distributed across the entire skull and left facial region. Patient B did not experience pain relief from analgesics or more aggressive treatments (denosumab). In both patients, evaluation of trigeminal nerve divisions (V1, V2, and V3) with CT and magnetic resonance imaging (MRI) revealed nerve compression and displacement with more involvement of the left trigeminal branches relative to the right. First-time employment of diffusion MRI and tractography suggested reduced apparent fiber density within the cisternal segment of the trigeminal nerve, particularly for Patient B and in the left hemisphere. These cases highlight heterogeneous clinical presentation and neurobiological properties in craniofacial FD and also, the disconnect between peripheral pathology and pain severity. We hypothesize that a detailed phenotypic characterization of patients that incorporates an advanced imaging approach probing the trigeminal system may provide enhanced insights into the variable experiences with pain in craniofacial FD.

摘要

骨纤维异常增殖症(FD)患者常出现影响三叉神经系统的颅面病变。预后较差的FD患者经常经历使人衰弱的疼痛、头痛和偏头痛,而一些有类似骨病变的个体却没有症状。导致颅面FD疼痛的病因发病机制的临床和生物学因素在很大程度上尚不清楚。我们报告了两名成年女性,通过氟[¹⁸F]氟化钠正电子发射断层扫描/计算机断层扫描(PET/CT)测量,她们的颅面FD病变大小和位置相当,但各自的疼痛表型却有显著差异。在4周的时间里,患者A报告的平均疼痛为0.4/0 - 10分制。患者B报告的平均疼痛为7.8/0 - 10分制,疼痛分布在整个颅骨和左面部区域。患者B使用镇痛药或更积极的治疗(地诺单抗)后疼痛并未缓解。对两名患者进行CT和磁共振成像(MRI)评估三叉神经分支(V1、V2和V3)时发现神经受压和移位,相对于右侧,左侧三叉神经分支受累更多。首次使用扩散MRI和神经纤维束成像显示三叉神经脑池段内的表观纤维密度降低,尤其是患者B和左侧半球。这些病例突出了颅面FD的异质性临床表现和神经生物学特性,也表明了周围病理与疼痛严重程度之间的脱节。我们推测,对患者进行详细的表型特征描述,并采用先进的成像方法探测三叉神经系统,可能会为深入了解颅面FD患者疼痛的不同体验提供更多见解。

https://cdn.ncbi.nlm.nih.gov/pmc/blobs/1083/8966612/95673bc49024/fneur-13-855157-g0001.jpg

文献AI研究员

20分钟写一篇综述,助力文献阅读效率提升50倍。

立即体验

用中文搜PubMed

大模型驱动的PubMed中文搜索引擎

马上搜索

文档翻译

学术文献翻译模型,支持多种主流文档格式。

立即体验