Suppr超能文献

雌激素受体β在乳腺癌中的表达及其临床意义:有利还是不利?

Estrogen Receptor β Expression and Its Clinical Implication in Breast Cancers: Favorable or Unfavorable?

作者信息

Choi Young

机构信息

Department of Pathology, Yale School of Medicine, New Haven, USA.

出版信息

J Breast Cancer. 2022 Apr;25(2):75-93. doi: 10.4048/jbc.2022.25.e9. Epub 2022 Feb 21.

Abstract

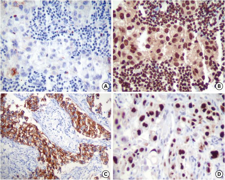
There are two estrogen receptor (ER) genes ( and ) in humans. Of those. ERβ, the second ER isotype identified in 1996, is differentially expressed in different phenotypes and molecular subtypes of breast cancer (BCa), and is highly expressed in ERα-negative BCa and triple-negative BCa (TNBC). This review summarizes the potential clinical relevance of ERβ in BCa and the challenges associated with studies on the role of ERβ in BCa. The experimental and clinical studies evaluating clinical outcomes and associations with clinical characteristics and responses to endocrine therapy on targeting ERβ reviewed herein indicate that ERβ is a clinically important biomarker in BCa. The reviewed studies also suggest that each ERβ isoform has a distinct role in BCa subtypes and the potential of novel- targeted therapies in BCa, especially ERα-negative BCa and TNBC. However, the findings of many studies on ERβ are inconsistent, and the exact role of ERβ in BCa remains elusive; this may potentially be attributed to the complexity of ERβ isoforms, but also to the lack of standardized testing protocol. Thus, successful clinical application of ERβ requires the development of standardized, reproducible, and objective measurement methods for ERβ that can be widely and routinely applied in clinical setting.

摘要

人类有两种雌激素受体(ER)基因( 和 )。其中,ERβ是1996年鉴定出的第二种ER亚型,在乳腺癌(BCa)的不同表型和分子亚型中差异表达,在ERα阴性BCa和三阴性BCa(TNBC)中高表达。本综述总结了ERβ在BCa中的潜在临床相关性以及与ERβ在BCa中作用研究相关的挑战。本文综述的评估针对ERβ的临床结局以及与临床特征和内分泌治疗反应相关性的实验和临床研究表明,ERβ是BCa中一个重要的临床生物标志物。综述的研究还表明,每种ERβ亚型在BCa亚型中具有不同作用,且在BCa,尤其是ERα阴性BCa和TNBC中具有新型靶向治疗的潜力。然而,许多关于ERβ的研究结果并不一致,ERβ在BCa中的确切作用仍不明确;这可能一方面归因于ERβ亚型的复杂性,另一方面也归因于缺乏标准化的检测方案。因此,ERβ的成功临床应用需要开发可在临床环境中广泛且常规应用的、标准化、可重复且客观的ERβ测量方法。

https://cdn.ncbi.nlm.nih.gov/pmc/blobs/09f8/9065353/5b748d454d87/jbc-25-75-g001.jpg

文献AI研究员

20分钟写一篇综述,助力文献阅读效率提升50倍。

立即体验

用中文搜PubMed

大模型驱动的PubMed中文搜索引擎

马上搜索

文档翻译

学术文献翻译模型,支持多种主流文档格式。

立即体验