Suppr超能文献

DGAT1 活性与线粒体自噬同步,以保护细胞免受铁耗竭引起的代谢重排。

DGAT1 activity synchronises with mitophagy to protect cells from metabolic rewiring by iron  depletion.

机构信息

Translational Stem Cell Biology & Metabolism Program, Research Programs Unit, Faculty of Medicine, Biomedicum Helsinki, University of Helsinki, Helsinki, Finland.

MRC Mitochondrial Biology Unit, University of Cambridge, Cambridge, UK.

出版信息

EMBO J. 2022 May 16;41(10):e109390. doi: 10.15252/embj.2021109390. Epub 2022 Apr 12.

Abstract

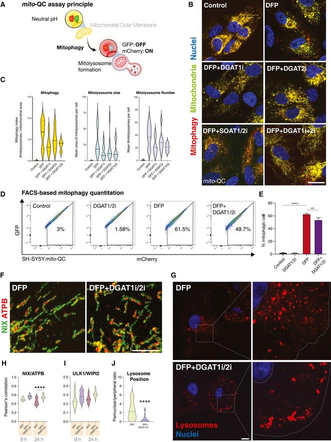
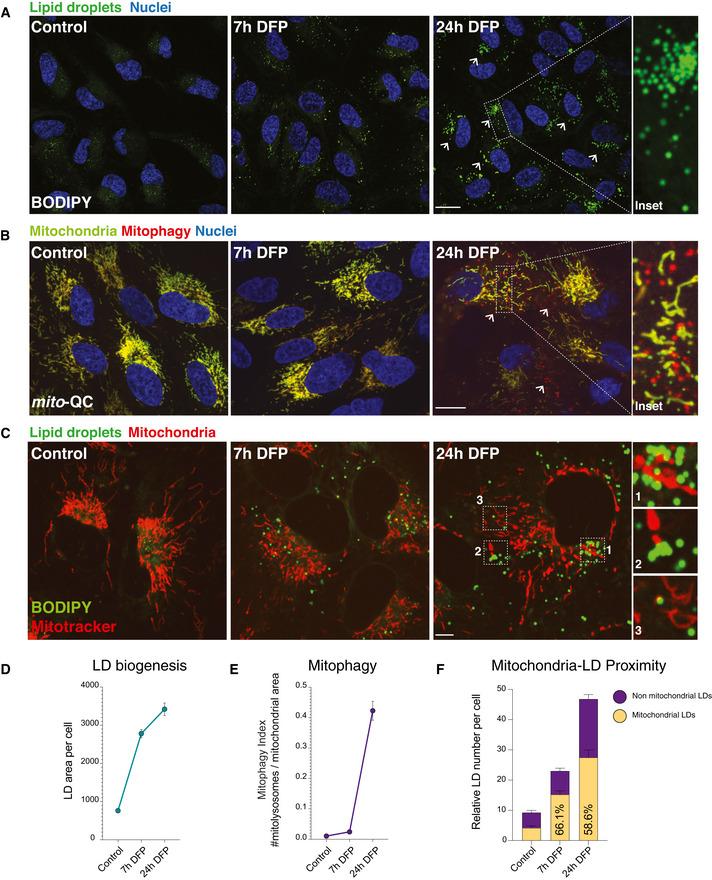
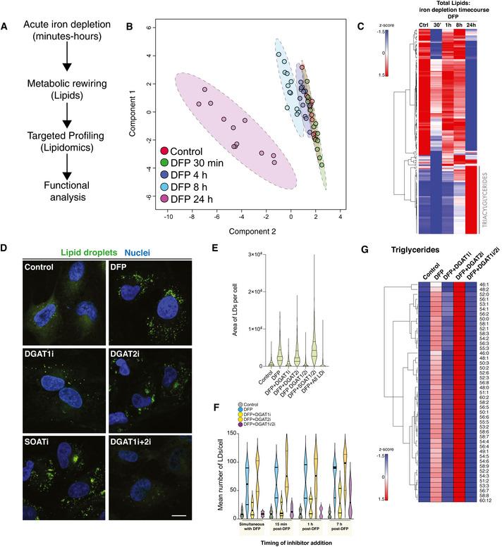
Mitophagy removes defective mitochondria via lysosomal elimination. Increased mitophagy coincides with metabolic reprogramming, yet it remains unknown whether mitophagy is a cause or consequence of such state changes. The signalling pathways that integrate with mitophagy to sustain cell and tissue integrity also remain poorly defined. We performed temporal metabolomics on mammalian cells treated with deferiprone, a therapeutic iron chelator that stimulates PINK1/PARKIN-independent mitophagy. Iron depletion profoundly rewired the metabolome, hallmarked by remodelling of lipid metabolism within minutes of treatment. DGAT1-dependent lipid droplet biosynthesis occurred several hours before mitochondrial clearance, with lipid droplets bordering mitochondria upon iron chelation. We demonstrate that DGAT1 inhibition restricts mitophagy in vitro, with impaired lysosomal homeostasis and cell viability. Importantly, genetic depletion of DGAT1 in vivo significantly impaired neuronal mitophagy and locomotor function in Drosophila. Our data define iron depletion as a potent signal that rapidly reshapes metabolism and establishes an unexpected synergy between lipid homeostasis and mitophagy that safeguards cell and tissue integrity.

摘要

线粒体自噬通过溶酶体消除去除功能失调的线粒体。线粒体自噬的增加与代谢重编程同时发生,但尚不清楚线粒体自噬是这种状态变化的原因还是结果。与线粒体自噬相整合以维持细胞和组织完整性的信号通路也尚未得到很好的定义。我们对用 deferiprone 处理的哺乳动物细胞进行了时间代谢组学研究,deferiprone 是一种治疗性铁螯合剂,可刺激 PINK1/PARKIN 非依赖性线粒体自噬。铁耗竭深刻地重塑了代谢组,在治疗后几分钟内以脂质代谢的重塑为标志。DGAT1 依赖性脂滴生物合成在清除线粒体之前几个小时发生,铁螯合时脂滴与线粒体相邻。我们证明,DGAT1 抑制在体外限制了线粒体自噬,导致溶酶体稳态和细胞活力受损。重要的是,体内 DGAT1 的基因缺失显着损害了果蝇中的神经元线粒体自噬和运动功能。我们的数据将铁耗竭定义为一种强大的信号,可迅速重塑代谢,并在脂质稳态和线粒体自噬之间建立一种意想不到的协同作用,从而保护细胞和组织的完整性。

https://cdn.ncbi.nlm.nih.gov/pmc/blobs/25ad/9108618/eb9a2cf8e2fc/EMBJ-41-e109390-g012.jpg

文献AI研究员

20分钟写一篇综述,助力文献阅读效率提升50倍。

立即体验

用中文搜PubMed

大模型驱动的PubMed中文搜索引擎

马上搜索

文档翻译

学术文献翻译模型,支持多种主流文档格式。

立即体验