Suppr超能文献

APOE基因分型对tau蛋白病中朊病毒样传播的影响。

Impact of APOE genotype on prion-type propagation of tauopathy.

作者信息

Williams Tristan, Ruiz Alejandra Jolie, Ruiz Angelica Maria, Vo Quan, Tsering Wangchen, Xu Guilian, McFarland Karen, Giasson Benoit I, Sullivan Patrick, Borchelt David R, Chakrabarty Paramita

机构信息

Center for Translational Research in Neurodegenerative Disease, University of Florida, 1275 Center Drive, Gainesville, FL, 32610, USA.

Department of Neuroscience, University of Florida, 1149 Newell Dr, Gainesville, FL, 32610, USA.

出版信息

Acta Neuropathol Commun. 2022 Apr 19;10(1):57. doi: 10.1186/s40478-022-01359-y.

Abstract

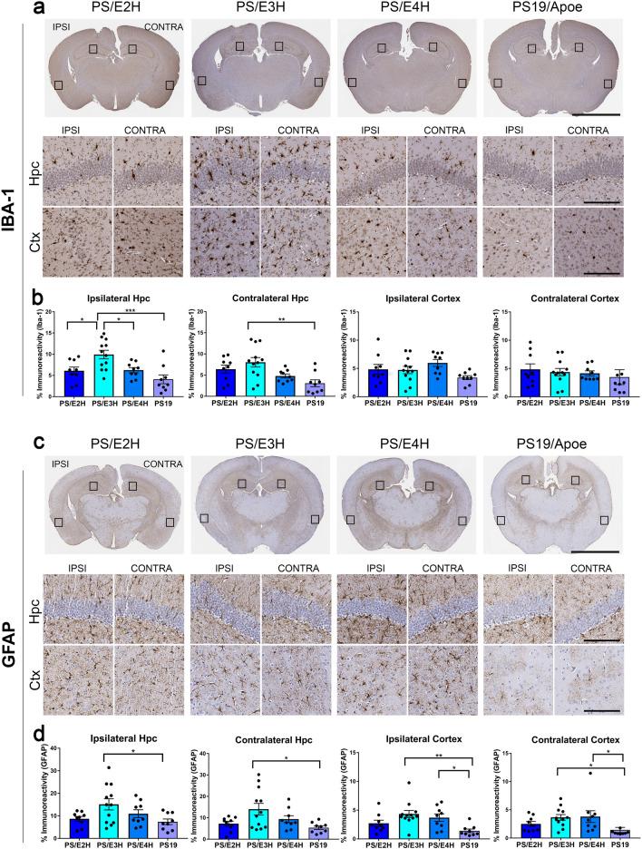
Apolipoprotein (APOE) is a major risk factor of Alzheimer's disease (AD), with the E2, E3 and E4 isoforms differentially regulating the burden of AD-associated neuropathologies, such as amyloid β and tau. In AD, pathological tau is thought to spread along neuroanatomic connections following a prion-like mechanism. To provide insights into whether APOE isoforms differentially regulate the prion properties of tau and determine trans-synaptic transmission of tauopathy, we have generated human P301S mutant tau transgenic mice (PS19) that carry human APOE (APOE2, APOE3 or APOE4) or mouse Apoe allele. Mice received intrahippocamal injections of preformed aggregates of K18-tau at young ages, which were analyzed 5 months post-inoculation. Compared to the parental PS19 mice with mouse Apoe alleles, PS19 mice expressing human APOE alleles generally responded to K18-tau seeding with more intense AT8 immunoreactive phosphorylated tau athology. APOE3 homozygous mice accumulated higher levels of AT8-reactive ptau and microgliosis relative to APOE2 or APOE4 homozygotes (E3 > E4~2). PS19 mice that were heterozygous for APOE3 showed similar results, albeit to a lesser degree. In the timeframe of our investigation, we did not observe significant induction of argentophilic or MC1-reactive neurofibrillary tau tangle in PS19 mice homozygous for human APOE. To our knowledge, this is the first comprehensive study in rodent models that provides neuropathological insights into the dose-dependent effect of APOE isoforms on phosphorylated tau pathology induced by recombinant tau prions.

摘要

载脂蛋白(APOE)是阿尔茨海默病(AD)的主要风险因素,其E2、E3和E4亚型对AD相关神经病理学负担(如β淀粉样蛋白和tau蛋白)具有不同的调节作用。在AD中,病理性tau蛋白被认为是按照朊病毒样机制沿神经解剖连接传播的。为了深入了解APOE亚型是否对tau蛋白的朊病毒特性有不同调节作用,并确定tau蛋白病的跨突触传播,我们构建了携带人类APOE(APOE2、APOE3或APOE4)或小鼠Apoe等位基因的人类P301S突变型tau转基因小鼠(PS19)。小鼠在年轻时接受海马内注射预先形成的K18-tau聚集体,并在接种后5个月进行分析。与携带小鼠Apoe等位基因的亲代PS19小鼠相比,表达人类APOE等位基因的PS19小鼠对K18-tau种子接种的反应通常是AT8免疫反应性磷酸化tau病理学更强烈。相对于APOE2或APOE4纯合子(E3>E4~2),APOE3纯合小鼠积累了更高水平的AT8反应性磷酸化tau和小胶质细胞增生。APOE3杂合的PS19小鼠也显示出类似结果,尽管程度较轻。在我们的研究时间范围内,我们没有观察到人类APOE纯合的PS19小鼠中嗜银或MC1反应性神经原纤维tau缠结的显著诱导。据我们所知,这是在啮齿动物模型中首次进行的全面研究,为APOE亚型对重组tau朊病毒诱导的磷酸化tau病理学的剂量依赖性效应提供了神经病理学见解。

https://cdn.ncbi.nlm.nih.gov/pmc/blobs/db2b/9019935/2fbca7b2857b/40478_2022_1359_Fig1_HTML.jpg

文献AI研究员

20分钟写一篇综述,助力文献阅读效率提升50倍。

立即体验

用中文搜PubMed

大模型驱动的PubMed中文搜索引擎

马上搜索

文档翻译

学术文献翻译模型,支持多种主流文档格式。

立即体验