Suppr超能文献

展示基于生物的可持续聚酯共混物在骨组织工程应用中的潜力。

Demonstrating the Potential of Using Bio-Based Sustainable Polyester Blends for Bone Tissue Engineering Applications.

作者信息

Ramos-Rodriguez David H, Pashneh-Tala Samand, Bains Amanpreet Kaur, Moorehead Robert D, Kassos Nikolaos, Kelly Adrian L, Paterson Thomas E, Orozco-Diaz C Amnael, Gill Andrew A, Ortega Asencio Ilida

机构信息

Mechanisms of Health and Disease, The School of Clinical Dentistry, The University of Sheffield, Sheffield S10 2TA, UK.

Kroto Research Institute, Department of Materials Science and Engineering, The University of Sheffield, Sheffield S3 7HQ, UK.

出版信息

Bioengineering (Basel). 2022 Apr 6;9(4):163. doi: 10.3390/bioengineering9040163.

Abstract

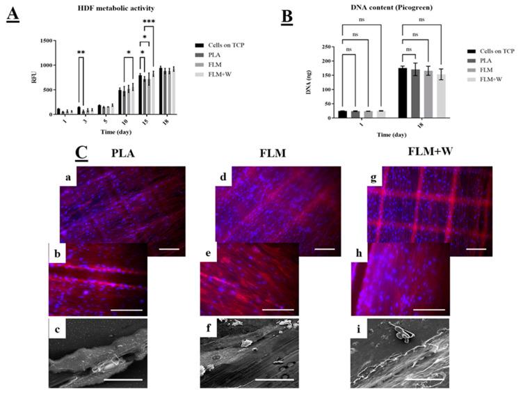
Healthcare applications are known to have a considerable environmental impact and the use of bio-based polymers has emerged as a powerful approach to reduce the carbon footprint in the sector. This research aims to explore the suitability of using a new sustainable polyester blend (Floreon™) as a scaffold directed to aid in musculoskeletal applications. Musculoskeletal problems arise from a wide range of diseases and injuries related to bones and joints. Specifically, bone injuries may result from trauma, cancer, or long-term infections and they are currently considered a major global problem in both developed and developing countries. In this work we have manufactured a series of 3D-printed constructs from a novel biopolymer blend using fused deposition modelling (FDM), and we have modified these materials using a bioceramic (wollastonite, 15% /). We have evaluated their performance in vitro using human dermal fibroblasts and rat mesenchymal stromal cells. The new sustainable blend is biocompatible, showing no differences in cell metabolic activity when compared to PLA controls for periods 1-18 days. Floreon blend has proven to be a promising material to be used in bone tissue regeneration as it shows an impact strength in the same range of that shown by native bone (just under 10 kJ/m) and supports an improvement in osteogenic activity when modified with wollastonite.

摘要

众所周知,医疗保健应用对环境有相当大的影响,而使用生物基聚合物已成为减少该领域碳足迹的有效方法。本研究旨在探索使用一种新型可持续聚酯共混物(Floreon™)作为支架用于肌肉骨骼应用的适用性。肌肉骨骼问题源于与骨骼和关节相关的多种疾病和损伤。具体而言,骨损伤可能由创伤、癌症或长期感染引起,目前在发达国家和发展中国家它们都被视为一个重大的全球性问题。在这项工作中,我们使用熔融沉积建模(FDM)由一种新型生物聚合物共混物制造了一系列3D打印构建体,并使用生物陶瓷(硅灰石,15%)对这些材料进行了改性。我们使用人真皮成纤维细胞和大鼠间充质基质细胞在体外评估了它们的性能。这种新型可持续共混物具有生物相容性,在1 - 18天的时间段内与PLA对照相比,细胞代谢活性没有差异。Floreon共混物已被证明是一种有前途的用于骨组织再生的材料,因为它显示出与天然骨相同范围内的冲击强度(略低于10 kJ/m),并且在用硅灰石改性后支持成骨活性的提高。

https://cdn.ncbi.nlm.nih.gov/pmc/blobs/bef1/9025038/78f4ead64175/bioengineering-09-00163-g001.jpg

文献AI研究员

20分钟写一篇综述,助力文献阅读效率提升50倍。

立即体验

用中文搜PubMed

大模型驱动的PubMed中文搜索引擎

马上搜索

文档翻译

学术文献翻译模型,支持多种主流文档格式。

立即体验