Suppr超能文献

特发性肺纤维化(更新版)和成人进展性肺纤维化:美国胸科学会/欧洲呼吸学会/日本呼吸学会/拉丁美洲胸科学会临床实践指南。

Idiopathic Pulmonary Fibrosis (an Update) and Progressive Pulmonary Fibrosis in Adults: An Official ATS/ERS/JRS/ALAT Clinical Practice Guideline.

出版信息

Am J Respir Crit Care Med. 2022 May 1;205(9):e18-e47. doi: 10.1164/rccm.202202-0399ST.

Abstract

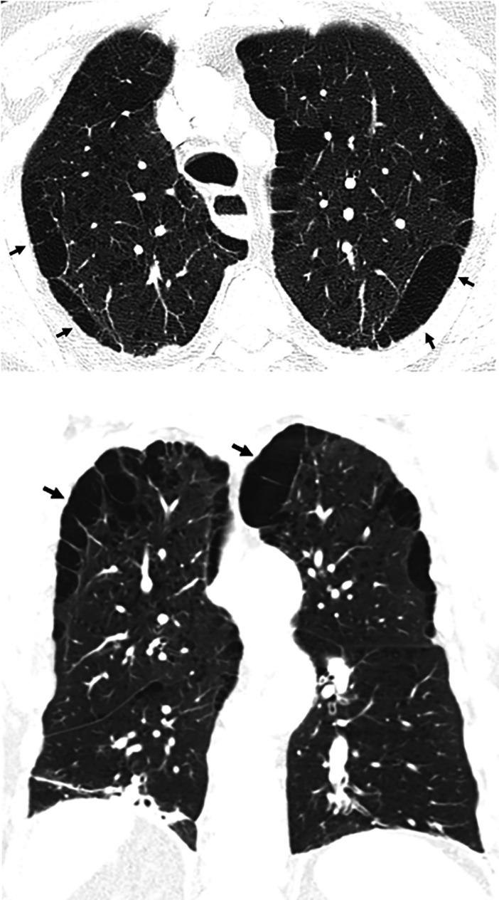
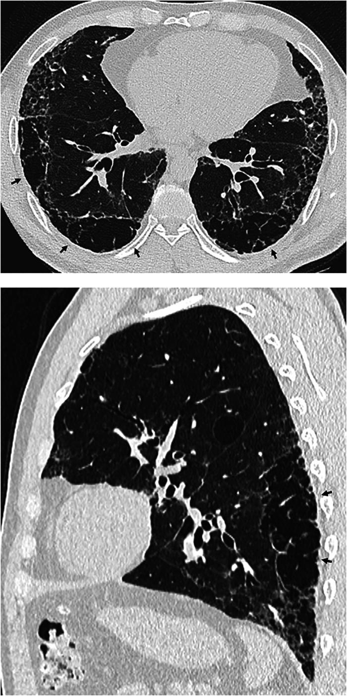
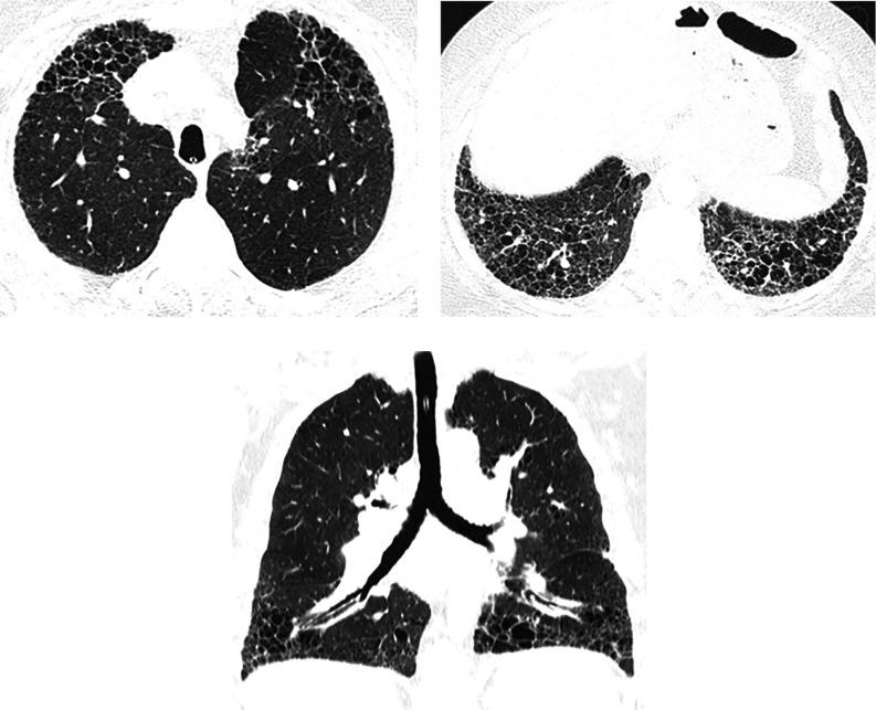
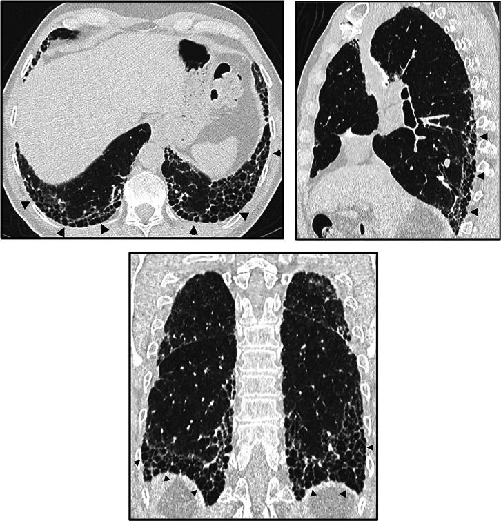
This American Thoracic Society, European Respiratory Society, Japanese Respiratory Society, and Asociación Latinoamericana de Tórax guideline updates prior idiopathic pulmonary fibrosis (IPF) guidelines and addresses the progression of pulmonary fibrosis in patients with interstitial lung diseases (ILDs) other than IPF. A committee was composed of multidisciplinary experts in ILD, methodologists, and patient representatives. ) Update of IPF: Radiological and histopathological criteria for IPF were updated by consensus. Questions about transbronchial lung cryobiopsy, genomic classifier testing, antacid medication, and antireflux surgery were informed by systematic reviews and answered with evidence-based recommendations using the Grading of Recommendations, Assessment, Development and Evaluation (GRADE) approach. ) Progressive pulmonary fibrosis (PPF): PPF was defined, and then radiological and physiological criteria for PPF were determined by consensus. Questions about pirfenidone and nintedanib were informed by systematic reviews and answered with evidence-based recommendations using the GRADE approach. ) Update of IPF: A conditional recommendation was made to regard transbronchial lung cryobiopsy as an acceptable alternative to surgical lung biopsy in centers with appropriate expertise. No recommendation was made for or against genomic classifier testing. Conditional recommendations were made against antacid medication and antireflux surgery for the treatment of IPF. ) PPF: PPF was defined as at least two of three criteria (worsening symptoms, radiological progression, and physiological progression) occurring within the past year with no alternative explanation in a patient with an ILD other than IPF. A conditional recommendation was made for nintedanib, and additional research into pirfenidone was recommended. The conditional recommendations in this guideline are intended to provide the basis for rational, informed decisions by clinicians.

摘要

美国胸科学会、欧洲呼吸学会、日本呼吸学会和拉丁美洲胸科学会更新了特发性肺纤维化(IPF)指南,涵盖了除 IPF 以外的间质性肺疾病(ILD)患者肺纤维化的进展。一个委员会由ILD 的多学科专家、方法学家和患者代表组成。

  • 更新 IPF:通过共识更新了 IPF 的放射学和组织病理学标准。关于经支气管肺冷冻活检、基因组分类器检测、抗酸药物和抗反流手术的问题,通过系统评价提供信息,并使用基于证据的推荐和 Grading of Recommendations, Assessment, Development and Evaluation (GRADE) 方法回答。

  • 进行性肺纤维化(PPF):定义了 PPF,然后通过共识确定了 PPF 的放射学和生理学标准。关于吡非尼酮和尼达尼布的问题,通过系统评价提供信息,并使用基于证据的推荐和 GRADE 方法回答。

  • 更新 IPF:有条件建议将经支气管肺冷冻活检视为具有适当专业知识的中心替代外科肺活检的可接受方法。未对基因组分类器检测提出建议或反对。有条件反对使用抗酸药物和抗反流手术治疗 IPF。

  • PPF:PPF 定义为在过去一年中,在非 IPF 的ILD 患者中,出现至少三个标准中的两个(症状恶化、放射学进展和生理学进展),且无其他解释。建议使用尼达尼布,并建议对吡非尼酮进行进一步研究。

  • 本指南中的有条件建议旨在为临床医生提供合理、知情决策的基础。

https://cdn.ncbi.nlm.nih.gov/pmc/blobs/6c94/9851481/249ee26786cf/rccm.202202-0399STf1.jpg

文献AI研究员

20分钟写一篇综述,助力文献阅读效率提升50倍。

立即体验

用中文搜PubMed

大模型驱动的PubMed中文搜索引擎

马上搜索

文档翻译

学术文献翻译模型,支持多种主流文档格式。

立即体验