Suppr超能文献

自然感染 SARS-CoV-2 的野生黑尾狨猴(Mico melanurus),来自巴西中西部城市地区。

Natural SARS-CoV-2 Infection in a Free-Ranging Black-Tailed Marmoset (Mico melanurus) from an Urban Area in Mid-West Brazil.

机构信息

Setor de Anatomia Patológica, Universidade Federal Rural do Rio de Janeiro, Rio de Janeiro, Brazil.

Biotério Central, Universidade Federal do Mato Grosso, Cuiabá, Mato Grosso, Brazil.

出版信息

J Comp Pathol. 2022 Jun;194:22-27. doi: 10.1016/j.jcpa.2022.03.005. Epub 2022 Apr 26.

Abstract

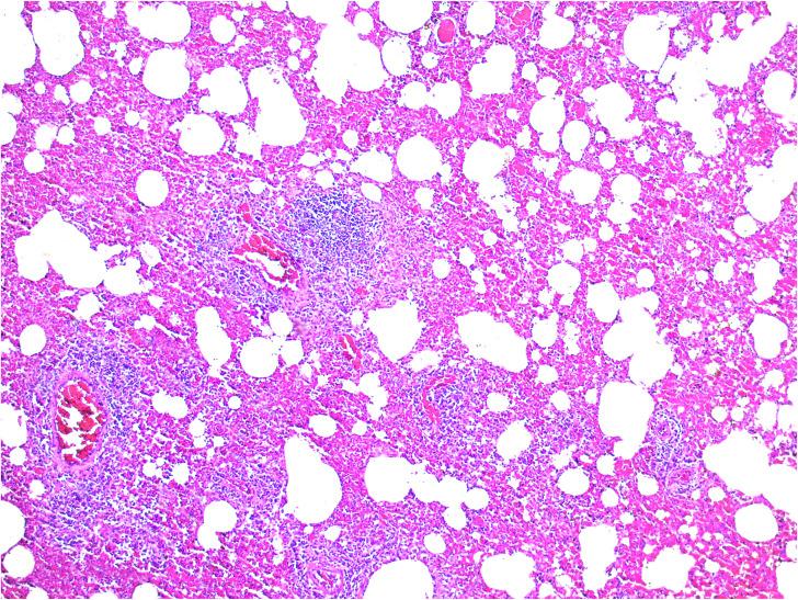
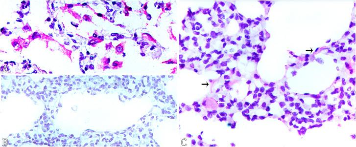
The emergence of spillover pathogens such as SARS-CoV-2 is a risk to vulnerable human populations. We report natural SARS-CoV-2 infection in a free-ranging adult female black-tailed marmoset (Mico melanurus) from an urban area of Cuiabá, Mato Grosso State, Brazil. The animal was found after a motor vehicle collision without previous clinical history. Necropsy confirmed polytrauma. Severe multifocal to coalescent haemorrhage and mild multifocal peribronchial lymphocytic hyperplasia were seen in lung sections. The alveolar septa were multifocally expanded by a few lymphocytes. Mild lymphocytic periportal hepatitis and interstitial nephritis were found. The lymphoid nodules of the large intestine showed marked lymphocytic hyperplasia. Infection by SARS-CoV-2 was established by viral RNA detection in a pool of nasopharyngeal and oropharyngeal swabs and liver samples. Immunohistochemistry detected the viral nucleocapsid protein in sections of lung, liver, spleen, lymph nodes and large intestine, and spike protein antigen in lung tissue. This is the first report of naturally occurring SARS-CoV-2 infection in a New World monkey. Platyrrhine species should be included as potential hosts of natural infection of SARS-CoV-2.

摘要

溢出病原体(如 SARS-CoV-2)的出现对脆弱的人类群体构成了风险。我们报告了巴西马托格罗索州首府库亚巴市一个城区中一只自由放养的成年雌性黑尾狨(Mico melanurus)自然感染 SARS-CoV-2 的情况。这只动物是在发生机动车碰撞后被发现的,此前没有临床病史。尸检证实为多发创伤。肺组织切片可见严重的多灶性至融合性出血和轻度多灶性支气管周围淋巴细胞增生。肺泡间隔呈局灶性轻度淋巴细胞扩张。轻度淋巴细胞性门管周炎和间质性肾炎。大肠的淋巴小结显示明显的淋巴细胞增生。通过对鼻咽和口咽拭子和肝脏样本的病毒 RNA 检测,确定了 SARS-CoV-2 的感染。免疫组织化学检测到肺、肝、脾、淋巴结和大肠组织切片中的病毒核衣壳蛋白,以及肺组织中的刺突蛋白抗原。这是首例在新世界猴中自然发生的 SARS-CoV-2 感染报告。阔鼻猴类应被视为 SARS-CoV-2 自然感染的潜在宿主。

https://cdn.ncbi.nlm.nih.gov/pmc/blobs/e2ff/9040408/1b64b3d0f34e/gr1_lrg.jpg

文献AI研究员

20分钟写一篇综述,助力文献阅读效率提升50倍。

立即体验

用中文搜PubMed

大模型驱动的PubMed中文搜索引擎

马上搜索

文档翻译

学术文献翻译模型,支持多种主流文档格式。

立即体验