Suppr超能文献

精细调节心脏胰岛素样生长因子 1 受体信号以促进健康和长寿。

Fine-Tuning Cardiac Insulin-Like Growth Factor 1 Receptor Signaling to Promote Health and Longevity.

机构信息

Department of Cardiology (M.A., V.T.-H., A.H., J.V., A.S., P.P.R., D.S., D.v.L. E.B., S.S.), Medical University of Graz, Austria.

Metabolomics and Cell Biology Platforms, Institut Gustave Roussy, Villejuif, France (M.A., S.D., G.C., O.K., G.K.).

出版信息

Circulation. 2022 Jun 21;145(25):1853-1866. doi: 10.1161/CIRCULATIONAHA.122.059863. Epub 2022 May 26.

Abstract

BACKGROUND

The insulin-like growth factor 1 (IGF1) pathway is a key regulator of cellular metabolism and aging. Although its inhibition promotes longevity across species, the effect of attenuated IGF1 signaling on cardiac aging remains controversial.

METHODS

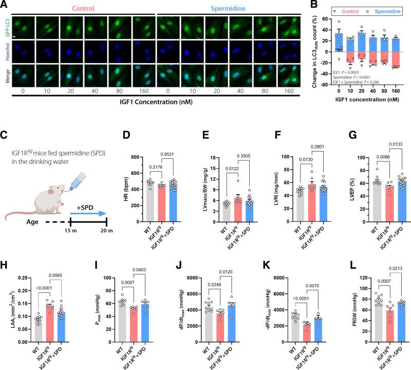
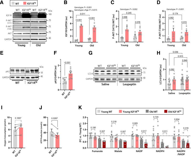
We performed a lifelong study to assess cardiac health and lifespan in 2 cardiomyocyte-specific transgenic mouse models with enhanced versus reduced IGF1 receptor (IGF1R) signaling. Male mice with human IGF1R overexpression or dominant negative phosphoinositide 3-kinase mutation were examined at different life stages by echocardiography, invasive hemodynamics, and treadmill coupled to indirect calorimetry. In vitro assays included cardiac histology, mitochondrial respiration, ATP synthesis, autophagic flux, and targeted metabolome profiling, and immunoblots of key IGF1R downstream targets in mouse and human explanted failing and nonfailing hearts, as well.

RESULTS

Young mice with increased IGF1R signaling exhibited superior cardiac function that progressively declined with aging in an accelerated fashion compared with wild-type animals, resulting in heart failure and a reduced lifespan. In contrast, mice with low cardiac IGF1R signaling exhibited inferior cardiac function early in life, but superior cardiac performance during aging, and increased maximum lifespan, as well. Mechanistically, the late-life detrimental effects of IGF1R activation correlated with suppressed autophagic flux and impaired oxidative phosphorylation in the heart. Low IGF1R activity consistently improved myocardial bioenergetics and function of the aging heart in an autophagy-dependent manner. In humans, failing hearts, but not those with compensated hypertrophy, displayed exaggerated IGF1R expression and signaling activity.

CONCLUSIONS

Our findings indicate that the relationship between IGF1R signaling and cardiac health is not linear, but rather biphasic. Hence, pharmacological inhibitors of the IGF1 pathway, albeit unsuitable for young individuals, might be worth considering in older adults.

摘要

背景

胰岛素样生长因子 1(IGF1)途径是细胞代谢和衰老的关键调节因子。尽管其抑制作用促进了跨物种的长寿,但减弱 IGF1 信号对心脏衰老的影响仍存在争议。

方法

我们进行了一项终身研究,以评估两种增强型和减弱型 IGF1 受体(IGF1R)信号转导的心肌细胞特异性转基因小鼠模型的心脏健康和寿命。通过超声心动图、有创血流动力学和跑步机与间接测热法相结合,在不同的生命阶段检查具有人 IGF1R 过表达或显性负性磷酸肌醇 3-激酶突变的雄性小鼠。体外检测包括心脏组织学、线粒体呼吸、ATP 合成、自噬通量和靶向代谢组学分析,以及取自人类衰竭和非衰竭心脏的 IGF1R 下游靶标的免疫印迹分析。

结果

具有增强 IGF1R 信号的年轻小鼠表现出优越的心脏功能,随着年龄的增长,其心脏功能逐渐下降,呈加速趋势,导致心力衰竭和寿命缩短。相比之下,具有低心脏 IGF1R 信号的小鼠在生命早期表现出较差的心脏功能,但在衰老过程中表现出更好的心脏性能,并且最大寿命也增加。从机制上讲,IGF1R 激活的晚年有害影响与心脏中自噬通量的抑制和氧化磷酸化的受损有关。低 IGF1R 活性一致地改善了衰老心脏的心肌生物能量和功能,并且这种作用依赖于自噬。在人类中,衰竭的心脏,而不是代偿性肥大的心脏,表现出过度的 IGF1R 表达和信号活性。

结论

我们的研究结果表明,IGF1R 信号与心脏健康之间的关系不是线性的,而是双相的。因此,尽管 IGF1 途径的药理学抑制剂不适合年轻人,但在老年人中可能值得考虑。

https://cdn.ncbi.nlm.nih.gov/pmc/blobs/6902/9203038/bb495982e3a1/cir-145-1853-g001.jpg

文献AI研究员

20分钟写一篇综述,助力文献阅读效率提升50倍。

立即体验

用中文搜PubMed

大模型驱动的PubMed中文搜索引擎

马上搜索

文档翻译

学术文献翻译模型,支持多种主流文档格式。

立即体验