Suppr超能文献

一例急性肠系膜缺血患者肠系膜上动脉系统出现异常的计算机断层扫描表现,未见门静脉-肠系膜静脉气体征象。

Unusual computed tomography findings of gas in the superior mesenteric artery system with no signs of porto-mesenteric venous gas in a case of acute mesenteric ischemia.

作者信息

Giulio Federica, Ruggiero Sergio, Vicini Simone, Bellini Davide, Rengo Marco, Carbone Iacopo

机构信息

Department of Radiological Sciences, Oncology and Pathology, "Sapienza" University of Rome - I.C.O.T. Hospital, Via Franco Faggiana, 1668, 04100, Latina, Italy.

出版信息

Radiol Case Rep. 2022 May 20;17(7):2568-2572. doi: 10.1016/j.radcr.2022.04.037. eCollection 2022 Jul.

Abstract

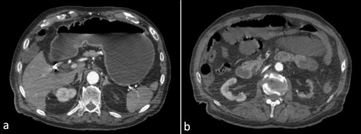
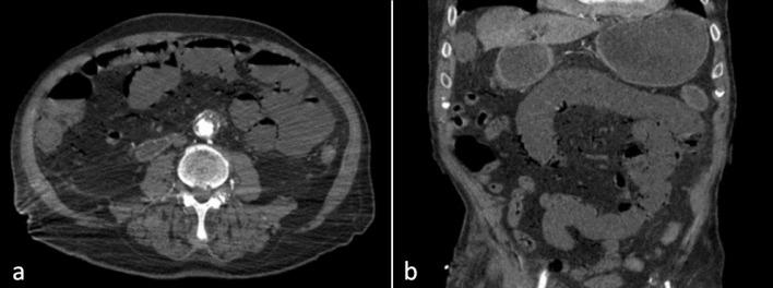
Acute Mesenteric Ischemia (AMI) is a rare life-threatening entity caused by sudden interruption of the blood supply to a segment of the bowel due to impairment of mesenteric arterial blood flow or venous drainage. Clinical presentation varies according to the time course of vascular occlusion. Contrast-enhanced Computed Tomography (CT) of the abdomen represents the main diagnostic test for AMI diagnosis, enabling fast and excellent evaluation of the intestine, mesenteric vasculature, and other ancillary characteristics of AMI. Typical CT findings of AMI include paralytic ileus, decreased or absent bowel wall contrast-enhancement, pneumatosis intestinalis, and porto-mesenteric venous gas. We hereby report a case of an 89-year-old man presenting with AMI due to Superior Mesenteric Artery (SMA) thrombotic occlusion following endovascular stenting superficial femoral arteries. Typical findings were observed on abdominal CT imaging, yet associated with the presence of gas exclusively in the SMA district, without any involvement of the porto-mesenteric venous system. Different imaging features and pitfalls can help radiologists to accurately diagnose AMI, especially when irreversible bowel damage is about to occur. Therefore, radiologists and emergency physicians should be aware of the unusual association between gas in the SMA arterial district and AMI, even in the absence of porto-mesenteric venous system involvement, in order to urge prompt surgical consultation when observed.

摘要

急性肠系膜缺血(AMI)是一种罕见的危及生命的病症,由肠系膜动脉血流或静脉引流受损导致肠段血液供应突然中断引起。临床表现根据血管闭塞的时间进程而有所不同。腹部增强计算机断层扫描(CT)是诊断AMI的主要检查方法,能够快速且出色地评估肠道、肠系膜血管系统以及AMI的其他辅助特征。AMI的典型CT表现包括麻痹性肠梗阻、肠壁强化减弱或消失、肠壁积气以及门静脉-肠系膜静脉积气。我们在此报告一例89岁男性患者,因股浅动脉血管内支架置入术后肠系膜上动脉(SMA)血栓形成闭塞而出现AMI。腹部CT成像观察到典型表现,但仅在SMA区域存在气体,门静脉-肠系膜静脉系统未受累。不同的影像学特征和陷阱有助于放射科医生准确诊断AMI,尤其是在即将发生不可逆肠损伤时。因此,放射科医生和急诊医生应意识到SMA动脉区域气体与AMI之间的异常关联,即使在门静脉-肠系膜静脉系统未受累的情况下,以便在观察到这种情况时促使及时进行外科会诊。

https://cdn.ncbi.nlm.nih.gov/pmc/blobs/5269/9130093/83913786840d/gr1.jpg

文献AI研究员

20分钟写一篇综述,助力文献阅读效率提升50倍。

立即体验

用中文搜PubMed

大模型驱动的PubMed中文搜索引擎

马上搜索

文档翻译

学术文献翻译模型,支持多种主流文档格式。

立即体验