Suppr超能文献

肠系膜动脉孤立气体的CT表现会是严重急性缺血的征象吗?1例罕见致命病例报告及文献复习

Could CT finding of gas in the sole mesenteric artery be a sign of a severe acute ischemia? Presentation of a rare fatal case and a literature review.

作者信息

D'Agostino Valerio, Coppola Luigi, Barillaro Angela, Spaziano Mariateresa, Bonacci Nicola, Castaldo Stefania, Nappa Ciro, Iacuessa Giovanna, Cerrone Fabio, Salzano Antonio

机构信息

Department of Radiology, Sessa Aurunca Hospital, Sessa Aurunca, Caserta, Italy.

Department of Radiology, Maddaloni Hospital, Caserta, Italy.

出版信息

Radiol Case Rep. 2023 Jul 22;18(10):3390-3394. doi: 10.1016/j.radcr.2023.06.064. eCollection 2023 Oct.

Abstract

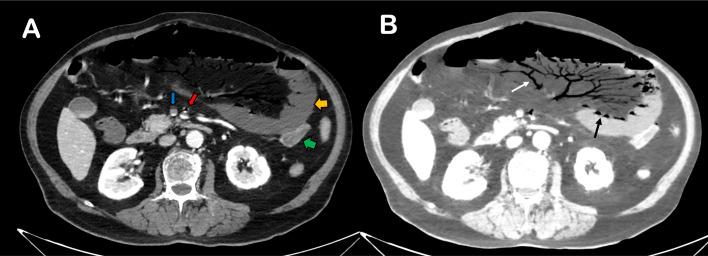
Contrast-enhanced abdominal CT is the gold standard for the diagnosis of acute mesenteric ischemia (AMI). CT findings include several anomalies like bowel wall thickening, thinning, attenuation, decreased enhancement, dilated fluid-filled loops, pneumatosis, and portal venous gas. A rare case of gas found only in the superior mesenteric artery (SMA) is presented. A contrast-enhanced CT scan was performed in emergency on an 80-year-old man with vague and diffuse abdominal pain, which showed findings of occlusive AMI. Gas was found in the context of the SMA and its branches, but not in the mesenteric and portal veins. The patient underwent emergency surgery but he died the next day in the intensive care unit for complications. The rare CT finding of gas in SMA during an AMI should be considered a radiological sign of irreversible intestinal damage: surgical prompt intervention is needed, even if the mortality rate is high.

摘要

腹部增强CT是诊断急性肠系膜缺血(AMI)的金标准。CT表现包括多种异常,如肠壁增厚、变薄、密度减低、强化减弱、扩张的充满液体的肠袢、积气以及门静脉积气。本文报告了一例仅在上肠系膜动脉(SMA)发现气体的罕见病例。一名80岁男性因腹部模糊性弥漫性疼痛在急诊时进行了腹部增强CT扫描,结果显示为闭塞性AMI。气体出现在SMA及其分支内,但肠系膜静脉和门静脉内未发现气体。患者接受了急诊手术,但次日在重症监护病房因并发症死亡。AMI期间SMA内出现气体这一罕见的CT表现应被视为肠道不可逆损伤的影像学征象:即使死亡率很高,也需要迅速进行手术干预。

https://cdn.ncbi.nlm.nih.gov/pmc/blobs/2688/10369395/07b9dd2a8e6c/gr1.jpg

文献AI研究员

20分钟写一篇综述,助力文献阅读效率提升50倍。

立即体验

用中文搜PubMed

大模型驱动的PubMed中文搜索引擎

马上搜索

文档翻译

学术文献翻译模型,支持多种主流文档格式。

立即体验