Suppr超能文献

乳腺肿瘤针吸活检后的持续性炎症。

Sustained Inflammation of Breast Tumors after Needle Biopsy.

机构信息

School of Medicine, University of Oklahoma Health Sciences Center, Oklahoma City, Oklahoma, USA.

Division of Biostatistics, Department of Pharmacology and Experimental Therapeutics, Thomas Jefferson University, Philadelphia, Pennsylvania, USA.

出版信息

Pathobiology. 2023;90(2):114-122. doi: 10.1159/000524668. Epub 2022 Jun 1.

Abstract

INTRODUCTION

Needle biopsy is essential for definitive diagnosis of breast malignancy. Significant histologic changes due to tissue damage have been reported in solid tumors. This study investigated the association between time from needle biopsy and inflammation in breast tumors.

METHODS

A total of 73 stage I-II invasive breast cancer cases diagnosed by image-guided needle biopsy who had surgery as their first definitive treatment were retrospectively analyzed. Time from biopsy to surgical excision ranged from 8 to 252 days. Histological sections of surgically resected tumors with a visible needle tract were reviewed by histologic evaluation. Data were analyzed by McNemar's test for proportional differences, and the Benjamini-Hochberg procedure was used to assess the association between immune cell prevalence and clinical variables.

RESULTS

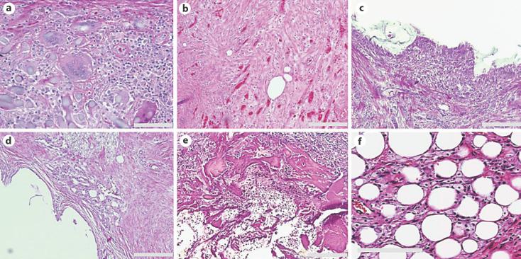
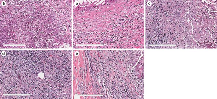
Characteristic histology changes, including foreign body giant-cell reaction, synovial-cell metaplasia, desmoplastic repair changes, granulation tissue, fat necrosis, and inflammation, were frequently detected adjacent to the needle tract. Spatial comparison indicated that a higher proportion of cases had neutrophils, eosinophils, and macrophages adjacent to the needle tract than tumors distant from it. The presence of inflammatory cells adjacent to the needle tract was not associated with time from biopsy or subtype. Still, plasma cells were associated with residual carrier material from biopsy markers.

CONCLUSION

Macrophages and eosinophils are highly abundant and retained adjacent to the needle tract regardless of time from the biopsy.

摘要

简介

针吸活检对于明确诊断乳腺恶性肿瘤至关重要。已报道在实体肿瘤中,由于组织损伤会出现明显的组织学变化。本研究调查了针吸活检与乳腺肿瘤炎症之间的时间关系。

方法

回顾性分析了 73 例经影像学引导的针吸活检诊断为 I 期-II 期浸润性乳腺癌且首次确定性治疗为手术的患者。从活检到手术切除的时间范围为 8 至 252 天。对手术切除的肿瘤标本中可见针道的组织学切片进行组织学评估。采用 McNemar 检验比较比例差异,采用 Benjamini-Hochberg 程序评估免疫细胞流行率与临床变量之间的关系。

结果

紧邻针道处经常观察到特征性的组织学改变,包括异物巨细胞反应、滑膜细胞化生、纤维组织修复性改变、肉芽组织、脂肪坏死和炎症。空间比较表明,紧邻针道的病例中中性粒细胞、嗜酸性粒细胞和巨噬细胞的比例高于远离针道的肿瘤。炎性细胞紧邻针道与活检时间或亚型无关,但浆细胞与活检标记物的残留载体材料有关。

结论

无论活检时间如何,巨噬细胞和嗜酸性粒细胞在针道附近高度丰富且持续存在。

https://cdn.ncbi.nlm.nih.gov/pmc/blobs/d9a0/10937039/1e3f0a058e92/pat-0090-0114-g01.jpg

文献AI研究员

20分钟写一篇综述,助力文献阅读效率提升50倍。

立即体验

用中文搜PubMed

大模型驱动的PubMed中文搜索引擎

马上搜索

文档翻译

学术文献翻译模型,支持多种主流文档格式。

立即体验