Suppr超能文献

乳腺原发性骨肉瘤:1例罕见病例报告及文献复习

Primary Osteosarcoma of the Breast: A Rare Case Report and Literature Review.

作者信息

Li Shike, Xue Qingfeng, Shi Wenyu

机构信息

Graduate School, Dalian Medical University, Dalian, China.

Department of Hematology, Affiliated Hospital of Nantong University, Nantong, China.

出版信息

Front Oncol. 2022 Jun 9;12:875793. doi: 10.3389/fonc.2022.875793. eCollection 2022.

Abstract

BACKGROUND

Primary osteosarcoma of the breast (POB) is an extremely aggressive and heterogeneous neoplasm that originates from nonepithelial elements of the mammary gland and accounts for fewer than 1% of breast cancers and fewer than 5% of all sarcomas.

CASE PRESENTATION

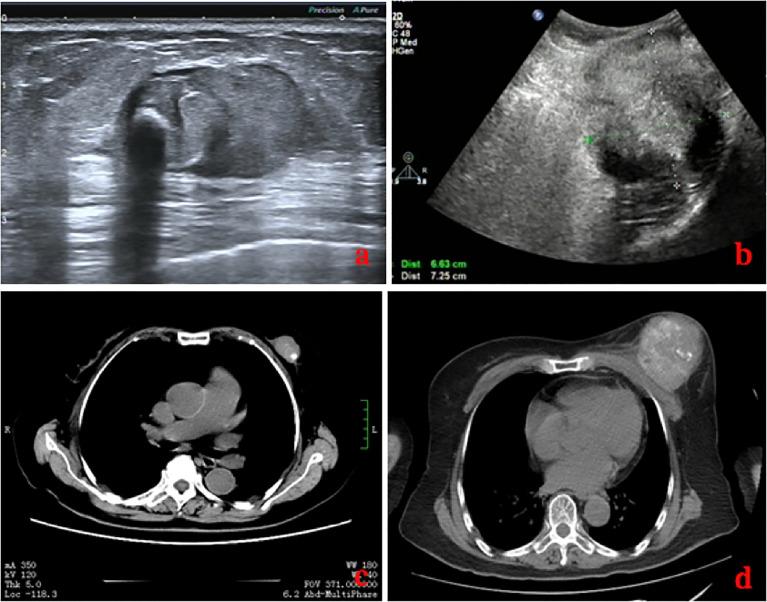
An 83-year-old Chinese woman went to our hospital because of a palpable mass she had had for 8 months in the left breast accompanied by persistent dull pain for 10 days. This mass was initially misdiagnosed as a degenerating fibroadenoma and was graded as probably benign (BI-RADS category 3) by ultrasonography (US) and computed tomography (CT) plain scan and contrast enhancement of chest. Eight months later, it was presumed to be highly malignant and graded as BI-RADS category 4C because of its rapid growth and more calcifications by US and CT. 99mTc-MDP whole-body bone imaging showed that there was a mass-like abnormal radioactive concentration of Tc-99m outside the bone of the left chest. The lumpectomy of the left breast was indicated, and the pathological findings were POB. She succumbed to respiratory failure caused by multiple lung metastases 4 months after the operation.

CONCLUSION

POB is rare, and US and CT cannot reliably distinguish the causes of calcified breast masses between benign and malignant tumors. It can be diagnosed by pathology when metaplastic carcinoma, malignant phyllodes tumor, or carcinosarcoma containing osteoid and bone is excluded. This case could help clinicians to improve the prognosis and treatment of this disease.

摘要

背景

乳腺原发性骨肉瘤(POB)是一种极具侵袭性且异质性的肿瘤,起源于乳腺的非上皮成分,占乳腺癌的比例不到1%,占所有肉瘤的比例不到5%。

病例报告

一名83岁中国女性因左乳可触及肿块8个月且伴有持续钝痛10天前来我院就诊。该肿块最初被误诊为退变的纤维腺瘤,经超声(US)、胸部计算机断层扫描(CT)平扫及增强扫描后被分级为可能良性(BI-RADS 3类)。8个月后,因其生长迅速且经超声和CT显示有更多钙化,被推测为高度恶性,分级为BI-RADS 4C类。99mTc-MDP全身骨显像显示左胸壁外有一肿块样异常放射性锝-99m浓聚。遂行左乳肿块切除术,病理结果为POB。术后4个月,患者因多发肺转移导致呼吸衰竭死亡。

结论

POB罕见,超声和CT无法可靠地区分乳腺钙化肿块的良恶性病因。排除化生性癌、恶性叶状肿瘤或含骨样和骨成分的癌肉瘤后,可通过病理诊断。该病例有助于临床医生改善对此病的预后及治疗。

https://cdn.ncbi.nlm.nih.gov/pmc/blobs/823c/9218342/9de437af9a6e/fonc-12-875793-g001.jpg

文献AI研究员

20分钟写一篇综述,助力文献阅读效率提升50倍。

立即体验

用中文搜PubMed

大模型驱动的PubMed中文搜索引擎

马上搜索

文档翻译

学术文献翻译模型,支持多种主流文档格式。

立即体验