Suppr超能文献

伴骨分化的化生性乳腺癌:1例罕见病例报告及文献复习

Metaplastic breast carcinoma with osseous differentiation: A report of a rare case and literature review.

作者信息

Huang Cong, Tian Haibo, Xu Jinming, Tong Fuyun, Fang Dengyang

机构信息

Department of General Surgery, Chongqing University Fuling Hospital, Chongqing, 408000, P. R. China.

Chongqing Institute of Minimally Invasive Surgery, Chongqing University Fuling Hospital, Chongqing, 408000, P. R. China.

出版信息

Open Life Sci. 2023 Jul 24;18(1):20220640. doi: 10.1515/biol-2022-0640. eCollection 2023.

Abstract

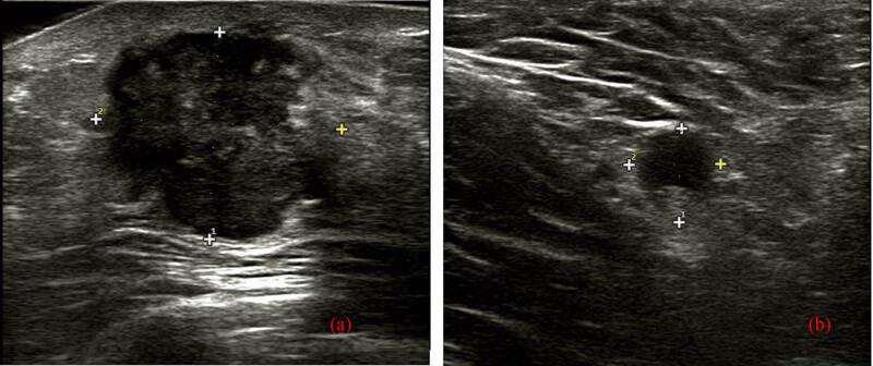
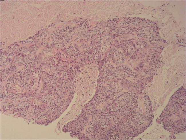
Metaplastic matrix-producing breast carcinoma is a type of metaplastic breast carcinoma (MBC), which is a rare malignancy, accounting for 0.2-1% of breast carcinomas. A 52-year-old female visited a hospital because of a palpable painless mass in the right breast and was diagnosed with Breast Imaging Reporting and Data System (BI-RADS) category 4A via ultrasound (US) with a suspected positive lymph node at the right axillary region. Excision of the breast mass was performed and histopathologically confirmed that it was MBC with osseous differentiation. No distant metastasis was revealed before a modified radical mastectomy; however, metastasis to a lymph node of the right axillary region was observed (1/22). She received six cycles of TEC scheme chemotherapy (docetaxel, epirubicin, and cyclophosphamide, 21 days) and 5 weeks of radiotherapy (48 Gy/25 f/5 days a week), but without any follow-up examinations since radiotherapy. Twenty-four months after surgery, distant metastases to lungs and liver were confirmed and died 3 months later. This case provides valuable information for clinicians on MBC and suggests that further examination or biopsy should be performed to US BI-RADS 4A masses before surgery. In addition, regular postoperative follow-up plays important roles in detecting metastases early and improving prognosis.

摘要

化生型产基质乳腺癌是一种化生型乳腺癌(MBC),这是一种罕见的恶性肿瘤,占乳腺癌的0.2%-1%。一名52岁女性因右侧乳房可触及无痛性肿块就诊,经超声(US)检查诊断为乳腺影像报告和数据系统(BI-RADS)4A类,右侧腋窝区域可疑淋巴结阳性。对乳房肿块进行了切除,组织病理学证实为伴有骨分化的MBC。在改良根治性乳房切除术前未发现远处转移;然而,观察到右侧腋窝区域淋巴结转移(1/22)。她接受了六个周期的TEC方案化疗(多西他赛、表柔比星和环磷酰胺,21天)和5周的放疗(48 Gy/25 f/每周5天),但自放疗后未进行任何随访检查。术后24个月,证实发生肺和肝远处转移,3个月后死亡。该病例为临床医生提供了有关MBC的有价值信息,并表明在手术前应对US BI-RADS 4A类肿块进行进一步检查或活检。此外,定期术后随访在早期发现转移和改善预后方面发挥着重要作用。

https://cdn.ncbi.nlm.nih.gov/pmc/blobs/9ac4/10389674/998990c1abe0/j_biol-2022-0640-ga001.jpg

文献AI研究员

20分钟写一篇综述,助力文献阅读效率提升50倍。

立即体验

用中文搜PubMed

大模型驱动的PubMed中文搜索引擎

马上搜索

文档翻译

学术文献翻译模型,支持多种主流文档格式。

立即体验