Suppr超能文献

TFEB 介导的溶酶体修复通过减轻氧化应激缓解高糖诱导的白内障。

TFEB-Mediated Lysosomal Restoration Alleviates High Glucose-Induced Cataracts Via Attenuating Oxidative Stress.

机构信息

State Key Laboratory of Ophthalmology, Zhongshan Ophthalmic Center, Sun Yat-Sen University, Guangzhou, China.

出版信息

Invest Ophthalmol Vis Sci. 2022 Jun 1;63(6):26. doi: 10.1167/iovs.63.6.26.

Abstract

PURPOSE

Diabetic cataract (DC) is a visual disorder arising from diabetes mellitus (DM). Autophagy, a prosurvival intracellular process through lysosomal fusion and degradation, has been implicated in multiple diabetic complications. Herein, we performed in vivo and in vitro assays to explore the specific roles of the autophagy-lysosome pathway in DC.

METHODS

Streptozotocin-induced DM and incubation in high glucose (HG) led to rat lens opacification. Protein Simple Wes, Western blot, and immunoassay were utilized to investigate autophagic changes in lens epithelial cells (LECs) and lens fiber cells (LFCs). RNA-sequencing (RNA-seq) was performed to explore genetic changes in the lenses of diabetic rats. Moreover, autophagy-lysosomal functions were examined using lysotracker, Western blot, and immunofluorescence analyses in HG-cultured primary rabbit LECs.

RESULTS

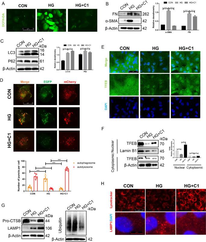
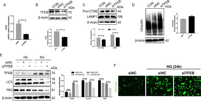
First, DM and HG culture led to fibrotic LECs, swelling LFCs, and eventually cataracts. Further analysis showed aberrant autophagic degradation in LECs and LFCs during cataract formation. RNA-seq data revealed that the differentially expressed genes (DEGs) were enriched in the lysosome pathway. In primary LECs, HG treatment resulted in decreased transcription factor EB (TFEB) and cathepsin B (CTSB) activity, and increased lysosomal size and pH values. Moreover, TFEB-mediated dysfunctional lysosomes resulted from excessive oxidative stress in LECs under HG conditions. Furthermore, TFEB activation by curcumin analog C1 alleviated HG-induced cataracts through enhancing lysosome biogenesis and activating protective autophagy, thereby attenuating HG-mediated oxidative damage.

CONCLUSIONS

In summary, we first identified that ROS-TFEB-dependent lysosomal dysfunction contributed to autophagy blockage in HG-induced cataracts. Additionally, TFEB-mediated lysosomal restoration might be a promising therapeutic method for preventing and treating DC through mitigating oxidative stress.

摘要

目的

糖尿病性白内障(DC)是一种由糖尿病(DM)引起的视觉障碍。自噬是一种通过溶酶体融合和降解促进细胞存活的内在过程,与多种糖尿病并发症有关。在此,我们进行了体内和体外实验,以探讨自噬-溶酶体途径在 DC 中的特定作用。

方法

链脲佐菌素诱导的 DM 和高糖(HG)孵育导致大鼠晶状体混浊。使用蛋白 Simple Wes、Western blot 和免疫分析来研究晶状体上皮细胞(LEC)和晶状体纤维细胞(LFC)中的自噬变化。对糖尿病大鼠晶状体进行 RNA 测序(RNA-seq)以探索基因变化。此外,通过在 HG 培养的原代兔 LEC 中进行溶酶体追踪、Western blot 和免疫荧光分析来检查自噬溶酶体功能。

结果

首先,DM 和 HG 培养导致 LEC 纤维化、LFC 肿胀,最终导致白内障。进一步的分析表明,白内障形成过程中 LEC 和 LFC 中存在异常的自噬降解。RNA-seq 数据显示,差异表达基因(DEGs)在溶酶体途径中富集。在原代 LEC 中,HG 处理导致转录因子 EB(TFEB)和组织蛋白酶 B(CTSB)活性降低,溶酶体增大和 pH 值升高。此外,HG 条件下 LEC 中过量的氧化应激导致 TFEB 介导的功能失调的溶酶体。此外,姜黄素类似物 C1 激活 TFEB 可通过增强溶酶体生物发生和激活保护性自噬来减轻 HG 诱导的白内障,从而减轻 HG 介导的氧化损伤。

结论

总之,我们首次发现 ROS-TFEB 依赖性溶酶体功能障碍导致 HG 诱导的白内障中自噬阻断。此外,TFEB 介导的溶酶体恢复可能是一种有前途的治疗方法,通过减轻氧化应激来预防和治疗 DC。

https://cdn.ncbi.nlm.nih.gov/pmc/blobs/66a5/9248753/4ad87a3abb94/iovs-63-6-26-f001.jpg

文献AI研究员

20分钟写一篇综述,助力文献阅读效率提升50倍。

立即体验

用中文搜PubMed

大模型驱动的PubMed中文搜索引擎

马上搜索

文档翻译

学术文献翻译模型,支持多种主流文档格式。

立即体验