Suppr超能文献

抗纤连蛋白外显子 B 剪接变异体抗体药物偶联物与免疫检查点阻断联合使用时,可增强疗效,消除肿瘤。

Anti-Extra Domain B Splice Variant of Fibronectin Antibody-Drug Conjugate Eliminates Tumors with Enhanced Efficacy When Combined with Checkpoint Blockade.

机构信息

Pfizer Worldwide Research, Development & Medicine, Oncology Research & Development, Pearl River, New York.

Pfizer Worldwide Research, Development & Medicine, BioMedicine Design, Cambridge, Massachusetts.

出版信息

Mol Cancer Ther. 2022 Sep 6;21(9):1462-1472. doi: 10.1158/1535-7163.MCT-22-0099.

Abstract

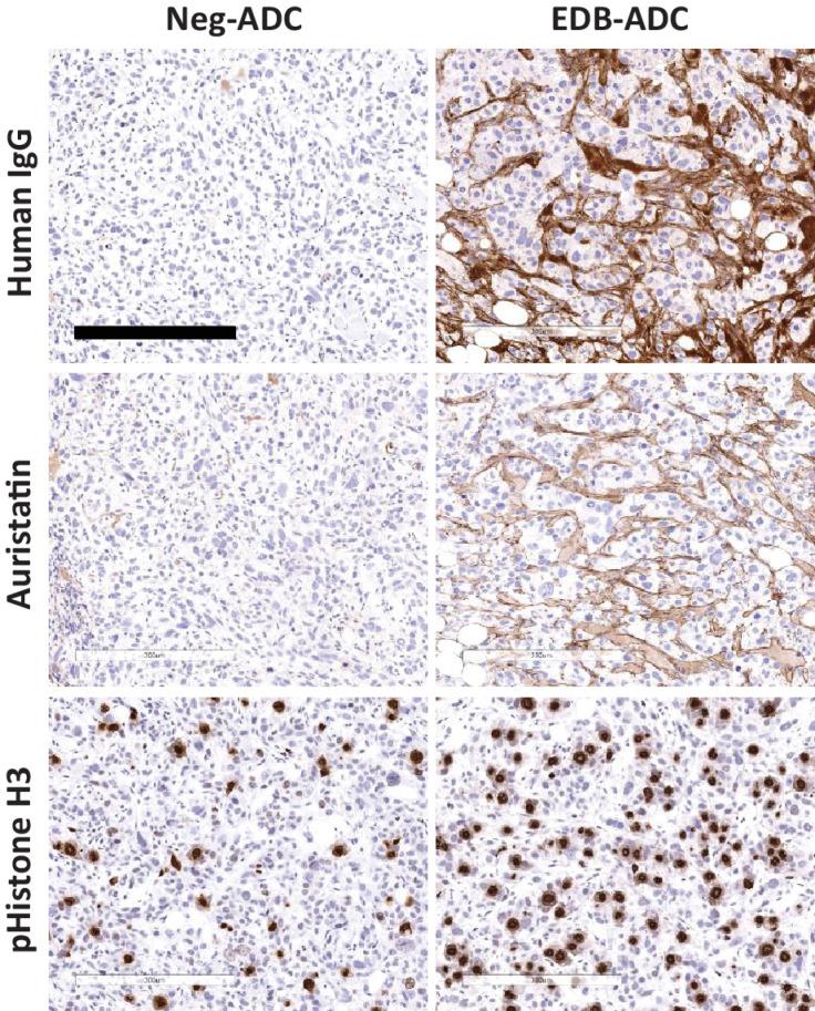
Extra domain B splice variant of fibronectin (EDB+FN) is an extracellular matrix protein (ECM) deposited by tumor-associated fibroblasts, and is associated with tumor growth, angiogenesis, and invasion. We hypothesized that EDB+FN is a safe and abundant target for therapeutic intervention with an antibody-drug conjugate (ADC). We describe the generation, pharmacology, mechanism of action, and safety profile of an ADC specific for EDB+FN (EDB-ADC). EDB+FN is broadly expressed in the stroma of pancreatic, non-small cell lung (NSCLC), breast, ovarian, head and neck cancers, whereas restricted in normal tissues. In patient-derived xenograft (PDX), cell-line xenograft (CLX), and mouse syngeneic tumor models, EDB-ADC, conjugated to auristatin Aur0101 through site-specific technology, demonstrated potent antitumor growth inhibition. Increased phospho-histone H3, a pharmacodynamic biomarker of response, was observed in tumor cells distal to the target site of tumor ECM after EDB-ADC treatment. EDB-ADC potentiated infiltration of immune cells, including CD3+ T lymphocytes into the tumor, providing rationale for the combination of EDB-ADC with immune checkpoint therapy. EDB-ADC and anti-PD-L1 combination in a syngeneic breast tumor model led to enhanced antitumor activity with sustained tumor regressions. In nonclinical safety studies in nonhuman primates, EDB-ADC had a well-tolerated safety profile without signs of either on-target toxicity or the off-target effects typically observed with ADCs that are conjugated through conventional conjugation methods. These data highlight the potential for EDB-ADC to specifically target the tumor microenvironment, provide robust therapeutic benefits against multiple tumor types, and enhance activity antitumor in combination with checkpoint blockade.

摘要

纤维连接蛋白的外显子 B 拼接变体(EDB+FN)是一种细胞外基质蛋白(ECM),由肿瘤相关成纤维细胞分泌,与肿瘤生长、血管生成和侵袭有关。我们假设 EDB+FN 是一种安全且丰富的治疗靶点,可以用抗体药物偶联物(ADC)进行治疗干预。我们描述了一种针对 EDB+FN(EDB-ADC)的 ADC 的产生、药理学、作用机制和安全性特征。EDB+FN 在胰腺、非小细胞肺癌(NSCLC)、乳腺癌、卵巢癌、头颈部癌的基质中广泛表达,而在正常组织中受限。在患者来源的异种移植(PDX)、细胞系异种移植(CLX)和小鼠同源肿瘤模型中,通过特异性技术连接到奥瑞他汀 Aur0101 的 EDB-ADC 表现出强大的抗肿瘤生长抑制作用。在 EDB-ADC 治疗后,在肿瘤 ECM 的靶部位远处的肿瘤细胞中观察到磷酸组蛋白 H3 增加,这是一种反应的药效生物标志物。EDB-ADC 增强了免疫细胞的浸润,包括 CD3+T 淋巴细胞进入肿瘤,为 EDB-ADC 与免疫检查点治疗联合提供了依据。在同源乳腺癌肿瘤模型中,EDB-ADC 与抗 PD-L1 联合使用可增强抗肿瘤活性,并持续消退肿瘤。在非人类灵长类动物的非临床安全性研究中,EDB-ADC 具有良好的耐受性,没有靶毒性迹象,也没有通常与通过传统缀合方法缀合的 ADC 相关的脱靶效应。这些数据突出了 EDB-ADC 特异性靶向肿瘤微环境的潜力,为多种肿瘤类型提供强大的治疗益处,并增强与检查点阻断的联合抗肿瘤活性。

https://cdn.ncbi.nlm.nih.gov/pmc/blobs/772a/9446899/1c011485e1a9/1462fig1.jpg

文献AI研究员

20分钟写一篇综述,助力文献阅读效率提升50倍。

立即体验

用中文搜PubMed

大模型驱动的PubMed中文搜索引擎

马上搜索

文档翻译

学术文献翻译模型,支持多种主流文档格式。

立即体验