Suppr超能文献

新型冠状病毒肺炎患者的气压伤及其并发症:印度东部三级医院的一项回顾性研究

Barotrauma and its complications in COVID-19 patients: a retrospective study at tertiary care hospital of Eastern India.

作者信息

Dubey Roopak, Sen Kamal Kumar, Mishra Aparajita

机构信息

Department of Radiodiagnosis, Kalinga Institute of Medical Sciences Bhubaneswar, Bhubaneswar, Odisha India.

Department of Community Medicine, Kalinga Institute of Medical Sciences Bhubaneswar, Bhubaneswar, Odisha India.

出版信息

Bull Natl Res Cent. 2022;46(1):212. doi: 10.1186/s42269-022-00880-3. Epub 2022 Jul 15.

Abstract

BACKGROUND

The development of barotrauma in COVID-19 patients who were ventilated and admitted to the intensive treatment unit seemed to have been a problematic issue in the COVID era. This study aimed to explore the possibility of developing the barotrauma-related issues with mechanical ventilation in the cases of individuals suffering from COVID-19.

RESULTS

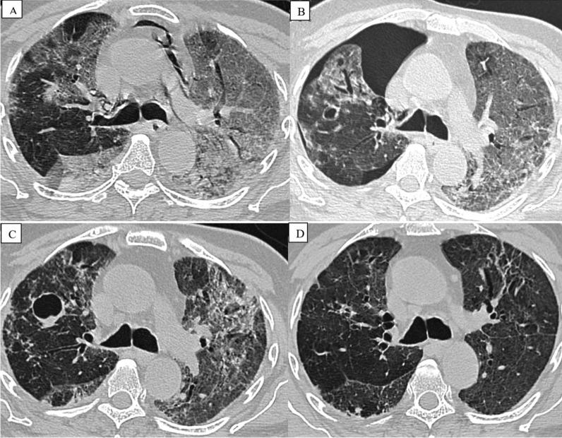
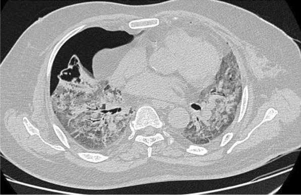
Out of 48 patients who developed barotrauma, 30 (62.5%) presented with pneumothorax, 22 (45.8%) with pneumomediastinum, 10 (20.8%) with subcutaneous emphysema, and 2 (4.1%) with pneumopericardium. Of those that developed barotrauma, 45 (93.7%) patients were in acute respiratory distress syndrome. In patients with and without barotrauma, significant factors were white blood cell count ( = 0.001), neutrophil percentage ( = 0.012), and lymphocyte percentage ( = 0.014). There were no statistically significant differences in CRP, procalcitonin, d-dimer test, LDH, or ferritin.

CONCLUSIONS

Patients infected with COVID-19 have a high risk of barotrauma when on mechanical ventilation. As a result, the death rate in this patient group is higher.

摘要

背景

在新冠疫情期间,入住重症监护病房并接受机械通气的新冠患者发生气压伤似乎是一个棘手的问题。本研究旨在探讨新冠患者在机械通气时发生气压伤相关问题的可能性。

结果

在48例发生气压伤的患者中,30例(62.5%)出现气胸,22例(45.8%)出现纵隔气肿,10例(20.8%)出现皮下气肿,2例(4.1%)出现心包积气。在发生气压伤的患者中,45例(93.7%)患有急性呼吸窘迫综合征。在有和没有气压伤的患者中,显著因素为白细胞计数(=0.001)、中性粒细胞百分比(=0.012)和淋巴细胞百分比(=0.014)。在C反应蛋白、降钙素原、D-二聚体检测、乳酸脱氢酶或铁蛋白方面无统计学显著差异。

结论

感染新冠病毒的患者在机械通气时发生气压伤的风险很高。因此,该患者群体的死亡率更高。

https://cdn.ncbi.nlm.nih.gov/pmc/blobs/7382/9284477/a4772aef98a7/42269_2022_880_Fig1_HTML.jpg

文献AI研究员

20分钟写一篇综述,助力文献阅读效率提升50倍。

立即体验

用中文搜PubMed

大模型驱动的PubMed中文搜索引擎

马上搜索

文档翻译

学术文献翻译模型,支持多种主流文档格式。

立即体验