Suppr超能文献

CpG 结合蛋白 CFP1 通过调控 BST2 转录促进卵巢癌细胞增殖。

CpG-binding protein CFP1 promotes ovarian cancer cell proliferation by regulating BST2 transcription.

机构信息

Department of Cell Biology, College of Medicine, Jiaxing University, 118 Jiahang Road, Jiaxing, 314001, China.

Department of Anesthesiology, Jiaxing Maternity and Child Health Care Hospital, Affiliated Women and Children Hospital, Jiaxing University, Jiaxing, 314001, Zhejiang Province, China.

出版信息

Cancer Gene Ther. 2022 Dec;29(12):1895-1907. doi: 10.1038/s41417-022-00503-z. Epub 2022 Jul 21.

Abstract

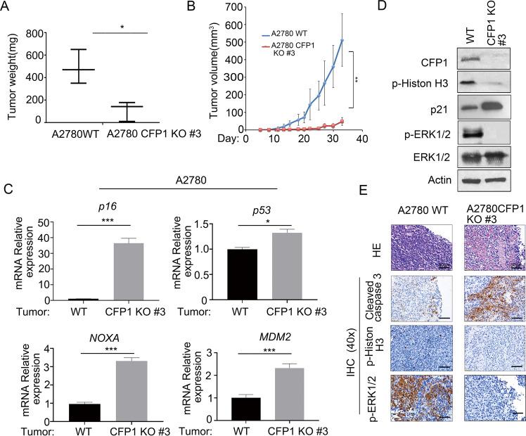
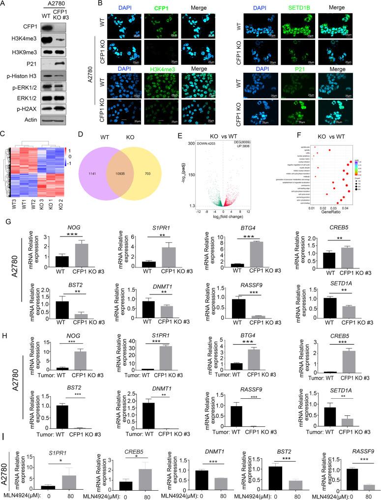
Epigenetic alterations have been functionally linked to ovarian cancer development and occurrence. The CXXC zinc finger protein 1 (CFP1) is an epigenetic regulator involved in DNA methylation and histone modification in mammalian cells. However, its role in ovarian cancer cells is unknown. Here, we show that CFP1 protein is highly expressed in human ovarian cancer tissues. Loss of CFP1 inhibited the growth of human ovarian cancer cells, promoted apoptosis, and increased senescence. CFP1 knockdown resulted in reduced levels of SETD1 (a CFP1 partner) and histone H3 trimethylation at the fourth lysine residue (H3K4me3). RNA-sequencing revealed that deletion of CFP1 resulted in mRNA reduction of bone marrow stromal cell antigen 2 (BST2). Bioinformatics analysis and chromatin immunoprecipitation showed that CFP1 binds to the promoter of BST2 and regulates its transcription directly. Overexpression of BST2 rescued the growth inhibitory effect of CFP1 loss. Furthermore, depletion of cullin-RING ubiquitin ligases 4 (CRL4) components ROC1 or CUL4A had significantly inhibited the expression of CFP1 and BST2 similar to MLN4924 treatment that blocked cullin neddylation and inactivated CRL4s. In conclusion, CFP1 promotes ovarian cancer cell proliferation and apoptosis by regulating the transcription of BST2, and the expression of CFP1 was affected by CRL4 ubiquitin ligase complex.

摘要

表观遗传改变与卵巢癌的发生和发展密切相关。CXXC 锌指蛋白 1(CFP1)是一种表观遗传调节剂,参与哺乳动物细胞中的 DNA 甲基化和组蛋白修饰。然而,其在卵巢癌细胞中的作用尚不清楚。在这里,我们发现 CFP1 蛋白在人卵巢癌组织中高度表达。CFP1 缺失抑制了人卵巢癌细胞的生长,促进了细胞凋亡和衰老。CFP1 敲低导致 SETD1(CFP1 的一个伙伴)水平降低和组蛋白 H3 第四位赖氨酸上的三甲基化(H3K4me3)减少。RNA-seq 显示 CFP1 缺失导致骨髓基质细胞抗原 2(BST2)的 mRNA 减少。生物信息学分析和染色质免疫沉淀显示 CFP1 结合到 BST2 的启动子上并直接调节其转录。BST2 的过表达挽救了 CFP1 缺失导致的生长抑制作用。此外,Cullin-RING 泛素连接酶 4(CRL4)的 ROC1 或 CUL4A 缺失显著抑制了 CFP1 和 BST2 的表达,类似于 MLN4924 处理,该处理阻断了 Cullin 连接酶的泛素化并使 CRL4 失活。总之,CFP1 通过调节 BST2 的转录促进卵巢癌细胞的增殖和凋亡,而 CFP1 的表达受 CRL4 泛素连接酶复合物的影响。

https://cdn.ncbi.nlm.nih.gov/pmc/blobs/4d8a/9750859/85a615f16714/41417_2022_503_Fig1_HTML.jpg

文献AI研究员

20分钟写一篇综述,助力文献阅读效率提升50倍。

立即体验

用中文搜PubMed

大模型驱动的PubMed中文搜索引擎

马上搜索

文档翻译

学术文献翻译模型,支持多种主流文档格式。

立即体验