Suppr超能文献

Cfp1 通过修饰结构、代谢和收缩相关基因的组蛋白 H3K4me3 来控制心肌细胞的成熟。

Cfp1 Controls Cardiomyocyte Maturation by Modifying Histone H3K4me3 of Structural, Metabolic, and Contractile Related Genes.

机构信息

Department of Pharmacology (State Key Laboratory of Frigid Zone Cardiovascular Disease, Key Laboratory of Cardiovascular Research, Ministry of Education), College of Pharmacy, Harbin Medical University, Harbin, Heilongjiang, 150086, P. R. China.

Institute of Life Sciences, College of Life and Environmental Sciences, Wenzhou University, Wenzhou, 325035, P. R. China.

出版信息

Adv Sci (Weinh). 2024 Mar;11(11):e2305992. doi: 10.1002/advs.202305992. Epub 2024 Jan 9.

Abstract

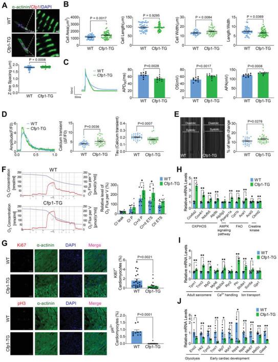
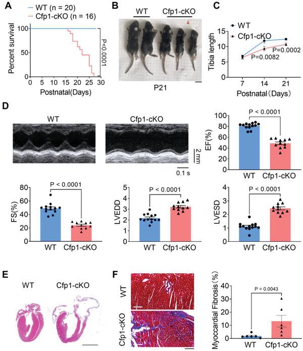
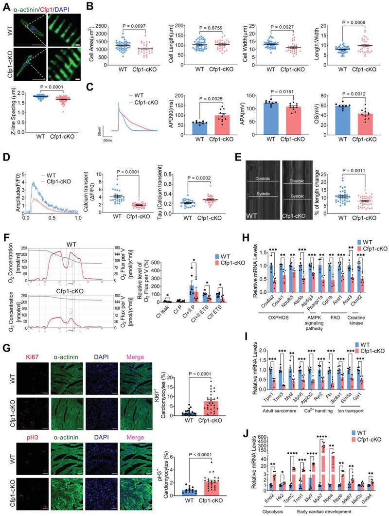
Cardiomyocyte maturation is the final stage of heart development, and abnormal cardiomyocyte maturation will lead to serious heart diseases. CXXC zinc finger protein 1 (Cfp1), a key epigenetic factor in multi-lineage cell development, remains underexplored in its influence on cardiomyocyte maturation. This study investigates the role and mechanisms of Cfp1 in this context. Cardiomyocyte-specific Cfp1 knockout (Cfp1-cKO) mice died within 4 weeks of birth. Cardiomyocytes derived from Cfp1-cKO mice showed an inhibited maturation phenotype, characterized by structural, metabolic, contractile, and cell cycle abnormalities. In contrast, cardiomyocyte-specific Cfp1 transgenic (Cfp1-TG) mice and human induced pluripotent stem cell-derived cardiomyocytes (hiPSC-CMs) overexpressing Cfp1 displayed a more mature phenotype. Mechanistically, deficiency of Cfp1 led to a reduction in trimethylation on lysine 4 of histone H3 (H3K4me3) modification, accompanied by the formation of ectopic H3K4me3. Furthermore, Cfp1 deletion decreased the level of H3K4me3 modification in adult genes and increased the level of H3K4me3 modification in fetal genes. Collectively, Cfp1 modulates the expression of genes crucial to cardiomyocyte maturation by regulating histone H3K4me3 modification, thereby intricately influencing the maturation process. This study implicates Cfp1 as an important molecule regulating cardiomyocyte maturation, with its dysfunction strongly linked to cardiac disease.

摘要

心肌细胞成熟是心脏发育的最后阶段,异常的心肌细胞成熟会导致严重的心脏病。CXXC 锌指蛋白 1(Cfp1)作为多能细胞发育中的关键表观遗传因子,其在心肌细胞成熟中的作用仍未得到充分研究。本研究旨在探讨 Cfp1 在这方面的作用和机制。心肌细胞特异性 Cfp1 敲除(Cfp1-cKO)小鼠在出生后 4 周内死亡。Cfp1-cKO 小鼠来源的心肌细胞表现出成熟受阻的表型,其特征为结构、代谢、收缩和细胞周期异常。相比之下,心肌细胞特异性 Cfp1 转基因(Cfp1-TG)小鼠和过表达 Cfp1 的人诱导多能干细胞衍生的心肌细胞(hiPSC-CMs)表现出更成熟的表型。在机制上,Cfp1 的缺失导致组蛋白 H3 赖氨酸 4 三甲基化(H3K4me3)修饰减少,同时形成异位 H3K4me3。此外,Cfp1 缺失降低了成年基因中 H3K4me3 修饰的水平,增加了胎儿基因中 H3K4me3 修饰的水平。总之,Cfp1 通过调节组蛋白 H3K4me3 修饰来调节对心肌细胞成熟至关重要的基因的表达,从而精细地影响成熟过程。本研究表明 Cfp1 是调节心肌细胞成熟的重要分子,其功能障碍与心脏疾病密切相关。

https://cdn.ncbi.nlm.nih.gov/pmc/blobs/be48/10953565/2c10e03de64d/ADVS-11-2305992-g006.jpg

文献AI研究员

20分钟写一篇综述,助力文献阅读效率提升50倍。

立即体验

用中文搜PubMed

大模型驱动的PubMed中文搜索引擎

马上搜索

文档翻译

学术文献翻译模型,支持多种主流文档格式。

立即体验