Suppr超能文献

胰腺癌中的良恶性基质:癌症相关成纤维细胞功能状态的相关性

Good and Bad Stroma in Pancreatic Cancer: Relevance of Functional States of Cancer-Associated Fibroblasts.

作者信息

Ando Ryota, Sakai Akihiro, Iida Tadashi, Kataoka Kunio, Mizutani Yasuyuki, Enomoto Atsushi

机构信息

Department of Pathology, Nagoya University Graduate School of Medicine, Nagoya 466-8550, Japan.

Department of Gastroenterology and Hepatology, Nagoya University Graduate School of Medicine, Nagoya 466-8550, Japan.

出版信息

Cancers (Basel). 2022 Jul 7;14(14):3315. doi: 10.3390/cancers14143315.

Abstract

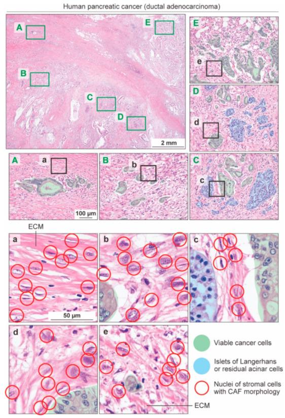
A well-known feature of human pancreatic ductal adenocarcinoma (PDAC) is the extensive proliferation of cancer-associated fibroblasts (CAFs) and highly fibrotic stroma. Recent evidence, based mainly on single-cell analyses, has identified various subsets of CAFs in PDAC mouse models. However, we do not know how these CAF subsets are involved in the progression and drug resistance of human PDAC. Additionally, it remains unclear whether these diverse CAFs have distinct origins and are indicators of genuinely distinct CAF lineages or reflect different states of the same CAFs depending on the tumor microenvironment. Interestingly, recent preclinical studies have started to characterize the nature of cancer-restraining CAFs and have identified their markers Meflin and collagen type I alpha 1. These studies have led to the development of strategies to induce changes in CAF phenotypes using chemical reagents or recombinant viruses, and some of them have been tested in clinical studies. These strategies have the unique potential to convert the so-called bad stroma to good stroma and may also have therapeutic implications for non-cancer diseases such as fibrotic diseases. Together with recently developed sophisticated strategies that specifically target distinct CAF subsets via adoptive cell transfer therapy, vaccination, and antibody-drug conjugates, any future findings arising from these clinical efforts may expand our understanding of the significance of CAF diversity in human PDAC.

摘要

人胰腺导管腺癌(PDAC)的一个众所周知的特征是癌症相关成纤维细胞(CAF)的广泛增殖和高度纤维化的基质。最近的证据主要基于单细胞分析,已在PDAC小鼠模型中鉴定出CAF的各种亚群。然而,我们尚不清楚这些CAF亚群如何参与人类PDAC的进展和耐药性。此外,目前尚不清楚这些不同的CAF是否具有不同的起源,是真正不同的CAF谱系的指标,还是根据肿瘤微环境反映同一CAF的不同状态。有趣的是,最近的临床前研究已开始描述抑制癌症的CAF的性质,并确定了它们的标志物Meflin和I型胶原蛋白α1。这些研究已导致开发出使用化学试剂或重组病毒诱导CAF表型变化的策略,其中一些已在临床研究中进行了测试。这些策略具有将所谓的不良基质转化为良好基质的独特潜力,并且可能对诸如纤维化疾病等非癌症疾病也具有治疗意义。连同最近通过过继性细胞转移疗法、疫苗接种和抗体药物偶联物专门针对不同CAF亚群开发的复杂策略,这些临床研究产生的任何未来发现都可能扩展我们对人类PDAC中CAF多样性重要性的理解。

https://cdn.ncbi.nlm.nih.gov/pmc/blobs/7315/9317763/bc47b430ad77/cancers-14-03315-g001.jpg

文献AI研究员

20分钟写一篇综述,助力文献阅读效率提升50倍。

立即体验

用中文搜PubMed

大模型驱动的PubMed中文搜索引擎

马上搜索

文档翻译

学术文献翻译模型,支持多种主流文档格式。

立即体验