Suppr超能文献

基于智能三维重建算法的超声引导神经阻滞在骨科手术术中麻醉和术后镇痛中的应用。

Intelligent Three-Dimensional Reconstruction Algorithm-Based Ultrasound-Guided Nerve Block in Intraoperative Anesthesia and Postoperative Analgesia of Orthopedic Surgery.

机构信息

Department of Anesthesiology, Affiliated Hongqi Hospital of Mudanjiang Medical University, Mudanjiang, 157011 Heilongjiang, China.

出版信息

Comput Math Methods Med. 2022 Jul 22;2022:9447649. doi: 10.1155/2022/9447649. eCollection 2022.

Abstract

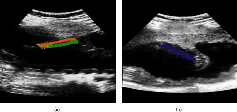
This research was aimed at analyzing the role of ultrasound-guided nerve block based on intelligent three-dimensional (3D) reconstruction algorithm in intraoperative anesthesia and postoperative analgesia of orthopedic surgery. 68 elderly patients were undergoing orthopedic surgery on the lower extremities, and they were randomly rolled into two groups with 34 patients in each group. The patients in control group received sciatic nerve block anesthesia (SNBA), and the patients in the experimental group received ultrasound-guided SNBA (UG-SNBA) under 3D reconstruction algorithm to analyze and compare the anesthesia effect and the postoperative analgesia effect. The results showed that compared with other algorithms, the evaluation index of ultrasound images processed by the 3D reconstruction algorithm was better. In terms of anesthesia effect, there was no significant difference in systolic blood pressure, diastolic blood pressure, and heart rate between the two groups before surgery ( > 0.05). Intraoperative and postoperative indicators of the experimental group were significantly better than those of the control group; the drug dosage (61 mg) was less than that of the control group (78 mg). In addition, the onset time of anesthesia, the time of pain blockade, and the postoperative awake time (5 minutes, 8 minutes, and 8 minutes, respectively) were shorter than those in the control group (13 minutes, 15 minutes, and 15 minutes, respectively). The visual analogue scale (VAS) scores of the experimental group were better than those of the control group on the day after surgery, one day after surgery, two days after surgery, and three days after surgery, with significant differences ( < 0.05). In summary, 3D reconstruction algorithm-based ultrasound image effect was clearer, the effect of UG-SNBA was more stable, and the postoperative analgesic effect was better. This work provided a higher reference for the selection of safe and effective anesthesia options in orthopedic surgery.

摘要

本研究旨在分析基于智能三维(3D)重建算法的超声引导神经阻滞在骨科手术术中麻醉和术后镇痛中的作用。68 例老年下肢骨科手术患者,随机分为两组,每组 34 例。对照组患者接受坐骨神经阻滞麻醉(SNBA),实验组患者在 3D 重建算法下接受超声引导 SNBA(UG-SNBA),分析比较麻醉效果和术后镇痛效果。结果表明,与其他算法相比,3D 重建算法处理的超声图像评价指标更好。在麻醉效果方面,两组患者术前收缩压、舒张压、心率比较差异无统计学意义(>0.05)。实验组术中、术后各项指标均明显优于对照组;药物剂量(61mg)少于对照组(78mg)。此外,麻醉起效时间、疼痛阻滞时间、术后清醒时间(分别为 5 分钟、8 分钟、8 分钟)均短于对照组(13 分钟、15 分钟、15 分钟)。实验组术后第 1 天、第 2 天、第 3 天的视觉模拟评分(VAS)均优于对照组,差异有统计学意义(<0.05)。综上所述,基于 3D 重建算法的超声图像效果更清晰,UG-SNBA 效果更稳定,术后镇痛效果更好。本研究为骨科手术中安全有效麻醉方案的选择提供了更高的参考价值。

https://cdn.ncbi.nlm.nih.gov/pmc/blobs/7564/9337952/fe21beea3290/CMMM2022-9447649.001.jpg

文献AI研究员

20分钟写一篇综述,助力文献阅读效率提升50倍。

立即体验

用中文搜PubMed

大模型驱动的PubMed中文搜索引擎

马上搜索

文档翻译

学术文献翻译模型,支持多种主流文档格式。

立即体验