Suppr超能文献

一项初步研究:能否通过跟骨影像学图像来确定猫的性别和品种?

A pilot study: Can calcaneus radiographic image be used to determine sex and breed in cats?

机构信息

Institute of Graduate Studies, Istanbul University-Cerrahpasa, Istanbul, Turkey.

Faculty of Veterinary Medicine, Department of Anatomy, Istanbul University-Cerrahpasa, Istanbul, Turkey.

出版信息

Vet Med Sci. 2022 Sep;8(5):1855-1861. doi: 10.1002/vms3.899. Epub 2022 Aug 3.

Abstract

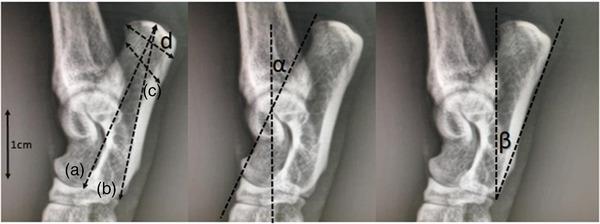
This study examined whether radiographic images measurements of the calcaneus in cats are determinative of sex and breed. For this purpose, radiographic images of 70 cats (37 male and 33 females) of different ages (from one to 18 years) and different breeds (41 mix-breed, 18 Scottish Fold and 11 British Shorthair cats) without orthopaedic problems were used. Right tarsal joint radiographs of these orthopaedically healthy cats were taken. Four linear measurements and two angle values of the calcaneus were obtained from the radiographic images. The MANOVA result showed that the most determining factor between the three groups was the greatest width (p value = 0.001). Calcaneal body length, calcaneal greatest length and calcaneal shortest depth were higher in mix-breed cats. Calcaneal tuber length was higher in Scottish Fold cats. The only statistically significant difference between Scottish Fold and British Shorthair was in the calcaneal tuber length (p value = 0.04). In the comparison made between the sexes regardless of species, the linear measurements in males were higher than in females. It was determined that these parameters are statistically significant in terms of sex differentiation in cats. Dorsal and plantar calcaneal angles are not sex determinants in cats. The effect of age on other measurements was analysed by correlation test. However, the effect of age on the measurements was not statistically significant. Mix-breed cats were examined in four groups according to their colour (grey, black-white, yellow, tri-colour). No statistically significant difference was found between calcaneal measurements of cats with different skin colour genotypes. In this study, calcaneus measurements were both determinative between breeds and sexes in cats.

摘要

本研究旨在探讨猫的跟骨 X 光片测量值是否可用于确定性别和品种。为此,我们使用了 70 只不同年龄(1 至 18 岁)和不同品种(41 只混种、18 只苏格兰折耳猫和 11 只英国短毛猫)的无骨科问题的猫的 X 光片。对这些骨骼健康的猫进行了右跗关节 X 光检查。从 X 光片中获取了跟骨的四个线性测量值和两个角度值。多变量方差分析(MANOVA)的结果表明,三个组之间最具决定性的因素是最大宽度(p 值=0.001)。混种猫的跟骨体长、跟骨最大长度和跟骨最短深度较高。苏格兰折耳猫的跟骨结节长度较高。苏格兰折耳猫和英国短毛猫之间唯一具有统计学意义的差异是在跟骨结节长度上(p 值=0.04)。在不论种属而仅比较性别的情况下,雄性的线性测量值高于雌性。确定这些参数在猫的性别分化方面具有统计学意义。背侧和跖侧跟骨角度不是猫的性别决定因素。相关性检验分析了年龄对其他测量值的影响。然而,年龄对测量值的影响没有统计学意义。根据毛色(灰色、黑白、黄色、三色)将混种猫分为四组进行检查。不同毛色基因型猫的跟骨测量值之间没有统计学差异。在这项研究中,跟骨测量值在猫的品种和性别之间均具有决定性。

https://cdn.ncbi.nlm.nih.gov/pmc/blobs/84ee/9514496/41497b3fee31/VMS3-8-1855-g002.jpg

文献AI研究员

20分钟写一篇综述,助力文献阅读效率提升50倍。

立即体验

用中文搜PubMed

大模型驱动的PubMed中文搜索引擎

马上搜索

文档翻译

学术文献翻译模型,支持多种主流文档格式。

立即体验