Suppr超能文献

新型没食子酰基奎宁酸化合物的临床前研究具有抗阴道念珠菌病的活性,其作用机制为多靶点模式。

Novel Preclinical Study of Galloylquinic Acid Compounds from with Potent Antifungal Activity against Vaginal Candidiasis Induced in a Murine Model via Multitarget Modes of Action.

机构信息

Department of Pharmaceutical Microbiology, Faculty of Pharmacy, Tanta University, Tanta, Egypt.

Institute for Research in Biomedicine Barcelona, The Barcelona Institute of Science and Technology, Barcelona, Spain.

出版信息

Microbiol Spectr. 2022 Oct 26;10(5):e0272421. doi: 10.1128/spectrum.02724-21. Epub 2022 Aug 16.

Abstract

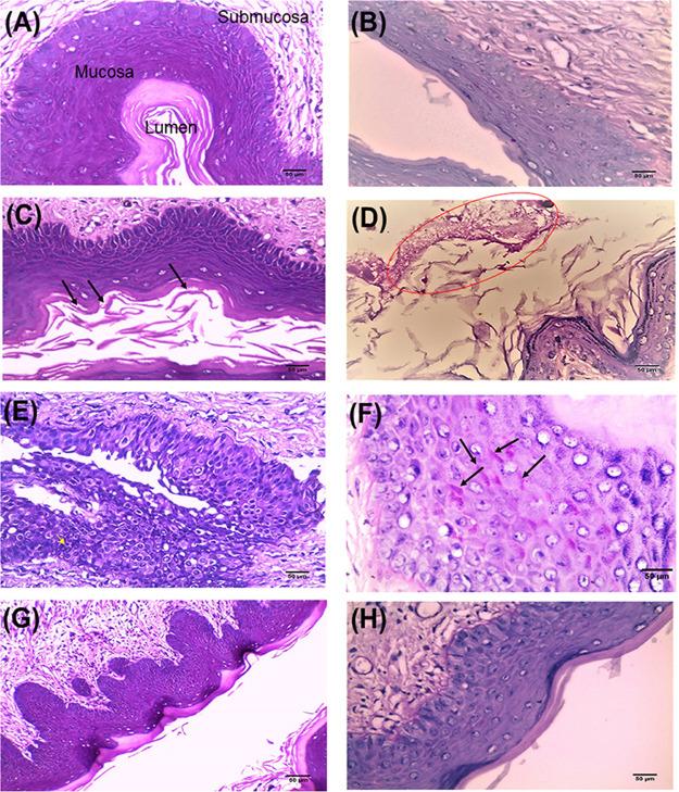
Vaginal candidiasis is a medical condition characterized by the overgrowth of spp. in the vaginal cavity with complex recurrent pathogenicity as well as tolerance to antifungal therapy and hence is awaiting more safe and effective treatments. This work aimed to assess the potential antifungal activity of galloylquinic acid compounds (GQAs) from Copaifera lucens leaves against vaginal Candida albicans. The antifungal susceptibility test was performed against 20 isolates of multidrug-resistant (MDR) C. albicans using agar diffusion and broth microdilution assays. The results showed that GQAs exhibited strong antagonistic activity against the test isolates, with inhibition zone diameters ranging from 26 to 38 mm and low MICs (1 to 16 μg/mL) as well as minimum fungicidal concentrations (2 to 32 μg/mL). The MTT [3-(4,5-dimethyl-2-thiazolyl)-2,5-diphenyl-2H-tetrazolium bromide] assay confirmed the safety of GQAs against the Vero cell line, showing a 50% inhibitory concentration (IC) of 168.17 mg/mL. A marked difference in the growth pattern of the treated and untreated pathogens was also observed, where a concentration-dependent reduction in the growth rate occurred. Moreover, a pronounced fungicidal effect was demonstrated 6 h after treatment with 1× the minimum fungicidal concentration (MFC), as evidenced by time-kill assays, where the number of survivors was decreased a 6-fold. GQAs effectively inhibited and eradicated about 80% of C. albicans biofilm at 6 μg/mL and 32 μg/mL, respectively. Interestingly, GQAs disturbed the fungal membrane integrity, induced cell lysis, and reduced the virulence factors (proteinase and phospholipase) as well as the catalase activity. Moreover, the ergosterol content in the plasma membrane decreased in a concentration-dependent manner. Additionally, the altered mitochondrial membrane potential was associated with an increased release of cytochrome from mitochondria to the cytosol, suggesting the initiation of early apoptosis in GQA-treated cells. Transcriptional analysis revealed that all test genes encoding virulence traits, including , and , were markedly downregulated in GQA-treated cells compared to the control. The murine model of vaginal candidiasis further confirmed the therapeutic activity of GQAs (4 mg/kg of body weight) against C. albicans. This work comprehensively evaluated the antifungal, antivirulence, and antibiofilm activities of GQAs against C. albicans isolates using and models, providing molecular-level insights into the antifungal mechanism of action and experimental evidence that supports the potential use of GQAs for the treatment of vaginal candidiasis. Our work presents a new perspective on the potential use of GQAs as safe and highly effective phytochemicals against MDR C. albicans. This microorganism colonizes the human vaginal epithelium, causing vaginal candidiasis, a condition characterized by recurrent pathogenicity and tolerance to traditional antifungal therapy. Based on the results of tests, our study reports GQAs antifungal modes of action. These compounds exhibited an anticandidal effect by deactivating the fungal hydrolytic enzymes, reducing ergosterol content in the plasma membrane, altering the potential of the mitochondrial membrane, and inducing apoptosis. Additionally, GQAs showed high activity in eradicating the biofilm formed by the fungus via the downregulation of , and genes, which are constitutively expressed in the biofilm. In an murine model of vaginal candidiasis, GQAs further demonstrated strong evidence of their effectiveness as an antifungal therapy. In this regard, our findings provide novel insights into the potential therapeutic use of these phytoactive molecules for vaginal candidiasis treatment.

摘要

阴道念珠菌病是一种医学病症,其特征是在阴道腔内过度生长 spp.,具有复杂的复发性致病性以及对抗真菌治疗的耐受性,因此需要更安全有效的治疗方法。本工作旨在评估来自 Copaifera lucens 叶子的没食子酰基奎宁酸化合物 (GQAs) 对阴道白色念珠菌的潜在抗真菌活性。使用琼脂扩散和肉汤微量稀释测定法对 20 株多药耐药 (MDR) C. albicans 分离株进行抗真菌药敏试验。结果表明,GQAs 对测试分离株表现出强烈的拮抗活性,抑菌圈直径为 26 至 38mm,MIC 值(1 至 16μg/mL)和最低杀菌浓度 (2 至 32μg/mL) 均较低。MTT [3-(4,5-二甲基-2-噻唑基)-2,5-二苯基-2H-四唑溴盐] 测定法证实了 GQAs 对 Vero 细胞系的安全性,其 50%抑制浓度 (IC) 为 168.17mg/mL。还观察到处理和未处理病原体的生长模式明显不同,其中存在浓度依赖性的生长速率降低。此外,在 1×最低杀菌浓度 (MFC) 处理后 6 小时,通过时间杀伤测定法证明了明显的杀菌作用,其中幸存者的数量减少了 6 倍。GQAs 分别在 6μg/mL 和 32μg/mL 时有效抑制和根除约 80%的白色念珠菌生物膜。有趣的是,GQAs 干扰真菌膜完整性,诱导细胞裂解,并降低毒力因子(蛋白酶和磷脂酶)以及过氧化氢酶活性。此外,质膜中的麦角固醇含量呈浓度依赖性降低。此外,线粒体膜电位的改变与细胞色素 c 从线粒体向细胞质的释放增加有关,这表明在 GQA 处理的细胞中早期凋亡的开始。转录分析显示,与对照相比,所有测试基因编码的毒力特征,包括 、 和 ,在 GQA 处理的细胞中均明显下调。阴道念珠菌感染的 小鼠模型进一步证实了 GQAs(4mg/kg 体重)对 C. albicans 的治疗活性。本工作使用 和 模型全面评估了 GQAs 对 C. albicans 分离株的抗真菌、抗毒力和抗生物膜活性,为 GQAs 的抗真菌作用机制提供了分子水平的见解,并提供了支持 GQAs 用于治疗阴道念珠菌病的潜在用途的实验证据。我们的工作为 GQAs 作为安全有效的抗多药耐药 C. albicans 的植物化学物质提供了新的视角。这种微生物定植在人类阴道上皮,引起阴道念珠菌病,其特征是复发性致病性和对传统抗真菌治疗的耐受性。基于 测试的结果,我们的研究报告了 GQAs 的抗真菌作用模式。这些化合物通过使真菌水解酶失活、降低质膜中麦角固醇含量、改变线粒体膜的电位以及诱导细胞凋亡来发挥抗真菌作用。此外,GQAs 还通过下调 、和 基因,显示出在消除真菌生物膜方面的高活性,这些基因在生物膜中持续表达。在阴道念珠菌病的 小鼠模型中,GQAs 进一步证明了它们作为抗真菌疗法的有效性。在这方面,我们的发现为这些植物活性分子治疗阴道念珠菌病的潜在治疗用途提供了新的见解。

https://cdn.ncbi.nlm.nih.gov/pmc/blobs/f157/9603814/9a36e219e674/spectrum.02724-21-f001.jpg

文献AI研究员

20分钟写一篇综述,助力文献阅读效率提升50倍。

立即体验

用中文搜PubMed

大模型驱动的PubMed中文搜索引擎

马上搜索

文档翻译

学术文献翻译模型,支持多种主流文档格式。

立即体验