Suppr超能文献

生物膜形成促进阴道念珠菌病中的真菌浸润和持留菌形成。

Biofilm Formation of Facilitates Fungal Infiltration and Persister Cell Formation in Vaginal Candidiasis.

作者信息

Wu Xueqing, Zhang Sisi, Li Haiying, Shen Laien, Dong Chenle, Sun Yao, Chen Huale, Xu Boyun, Zhuang Wenyi, Deighton Margaret, Qu Yue

机构信息

Department of Obstetrics and Gynecology, The First Affiliated Hospital of Wenzhou Medical University, Wenzhou, China.

Department of Obstetrics and Gynecology, Shenzhen University General Hospital, Shenzhen, China.

出版信息

Front Microbiol. 2020 Jun 5;11:1117. doi: 10.3389/fmicb.2020.01117. eCollection 2020.

Abstract

BACKGROUND

Vaginal candidiasis is an important medical condition awaiting more effective treatment. How causes this disease and survives antifungal treatment is not yet fully understood. This study aimed to establish a comprehensive understanding of biofilm-related defensive strategies that uses to establish vaginal candidiasis and to survive antifungal treatment.

METHODS

A mouse model of vaginal candidiasis was adopted to examine the formation of biotic biofilms on the vaginal epithelium and fungal infiltration by laboratory and clinical strains of . Histopathological changes and local inflammation in the vaginal epithelium caused by of different biofilm phenotypes were compared. Antifungal susceptibility testing was carried out for grown as planktonic cells, microplate-based abiotic biofilms, and epithelium-based biotic biofilms. Formation of persister cells by in different growth modes was also quantified and compared.

RESULTS

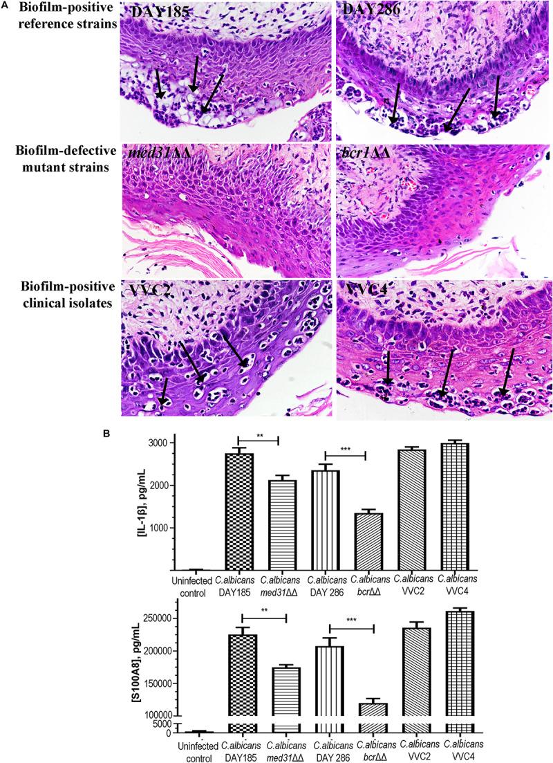
wild-type reference strains and clinical isolates, but not the biofilm-defective mutants, formed a significant number of biotic biofilms on the vaginal epithelium of mice and infiltrated the epithelium. Biofilm formation and epithelial invasion induced local inflammatory responses and histopathological changes in the vaginal epithelium including neutrophil infiltration and subcorneal microabscesses. Biofilm growth on the vaginal epithelium also led to high resistance to antifungal treatments and promoted the formation of antifungal-tolerant persister cells.

CONCLUSION

This study comprehensively assessed biofilm-related microbial strategies that uses in vaginal candidiasis and provided experimental evidence to support the important role of biofilm formation in the histopathogenesis of vaginal candidiasis and the recalcitrance of the infection to antifungal treatment.

摘要

背景

阴道念珠菌病是一种亟待更有效治疗的重要病症。其致病及在抗真菌治疗中存活的机制尚未完全明确。本研究旨在全面了解白色念珠菌用于引发阴道念珠菌病及在抗真菌治疗中存活的与生物膜相关的防御策略。

方法

采用阴道念珠菌病小鼠模型,检测白色念珠菌实验室菌株和临床菌株在阴道上皮上生物性生物膜的形成及真菌浸润情况。比较不同生物膜表型的白色念珠菌引起的阴道上皮组织病理学变化和局部炎症。对浮游生长的白色念珠菌、基于微孔板的非生物性生物膜以及基于上皮的生物性生物膜进行抗真菌药敏试验。还对白色念珠菌在不同生长模式下形成持留菌细胞的情况进行了定量和比较。

结果

野生型参考菌株和临床分离株在小鼠阴道上皮上形成了大量生物性生物膜并浸润上皮,而生物膜缺陷突变株则未出现这种情况。生物膜形成和上皮侵袭引发了阴道上皮的局部炎症反应和组织病理学变化,包括中性粒细胞浸润和角膜下微脓肿。阴道上皮上的生物膜生长还导致对抗真菌治疗的高度耐药,并促进了抗真菌耐受持留菌细胞的形成。

结论

本研究全面评估了白色念珠菌在阴道念珠菌病中使用的与生物膜相关的微生物策略,并提供了实验证据,支持生物膜形成在阴道念珠菌病组织发病机制中的重要作用以及该感染对抗真菌治疗的顽固性。

https://cdn.ncbi.nlm.nih.gov/pmc/blobs/6bd7/7289921/7ed04e269bb5/fmicb-11-01117-g001.jpg

文献AI研究员

20分钟写一篇综述,助力文献阅读效率提升50倍。

立即体验

用中文搜PubMed

大模型驱动的PubMed中文搜索引擎

马上搜索

文档翻译

学术文献翻译模型,支持多种主流文档格式。

立即体验