Suppr超能文献

小鼠中与精神分裂症相关的 miR-501-3p 的缺失通过增强 mGluR5 介导的谷氨酸能传递损害社交能力和记忆。

Loss of schizophrenia-related miR-501-3p in mice impairs sociability and memory by enhancing mGluR5-mediated glutamatergic transmission.

机构信息

Department of Medical Genetics, School of Basic Medical Sciences, and Guangdong Technology and Engineering Research Center for Molecular Diagnostics of Human Genetic Diseases, Southern Medical University, Guangzhou, Guangdong, China.

Senior Department of Pediatrics, The Seventh Medical Center of PLA General Hospital, Beijing, China.

出版信息

Sci Adv. 2022 Aug 19;8(33):eabn7357. doi: 10.1126/sciadv.abn7357.

Abstract

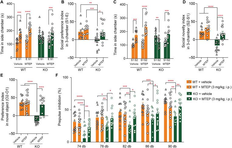
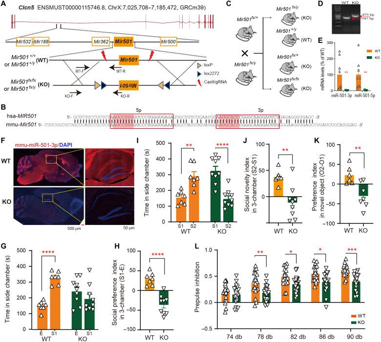
Schizophrenia is a polygenetic disease, the heterogeneity of which is likely complicated by epigenetic modifications yet to be elucidated. Here, we performed transcriptomic analysis of peripheral blood RNA from monozygotic twins discordant for schizophrenia and identified a schizophrenia-associated down-regulated microRNA, miR-501-3p. We showed that the loss of miR-501-3p in germline knockout (KO) male mice resulted in dendritic structure defects, glutamatergic transmission enhancement, and sociability, memory, and sensorimotor gating disruptions, which were attenuated when miR-501 expression was conditionally restored in the nervous system. Combining the results of proteomic analyses with the known genes linked to schizophrenia revealed that metabotropic glutamate receptor 5 (mGluR5) was one of the miR-501-3p targets and was elevated in vivo upon loss of miR-501. Treatment with the mGluR5 negative allosteric modulator 3-2((-methyl-4-thiazolyl) ethynyl) pyridine or the -methyl-d-aspartate receptor antagonist 2-amino-5-phosphonopentanoic acid ameliorated the deficits observed in -KO mice. The epigenetic and pathophysiological mechanism that links miR-501-3p to the modulation of glutamatergic transmission provides etiological implications for schizophrenia.

摘要

精神分裂症是一种多基因疾病,其异质性可能很复杂,还涉及到尚未阐明的表观遗传修饰。在这里,我们对精神分裂症双胞胎的外周血 RNA 进行了转录组分析,发现了一种与精神分裂症相关的下调 microRNA,miR-501-3p。我们表明,miR-501-3p 在生殖系敲除(KO)雄性小鼠中的缺失导致树突结构缺陷、谷氨酸能传递增强以及社交、记忆和感觉运动门控障碍,而当 miR-501 在神经系统中条件性恢复时,这些缺陷会减弱。将蛋白质组分析的结果与已知与精神分裂症相关的基因结合起来,表明代谢型谷氨酸受体 5(mGluR5)是 miR-501-3p 的靶点之一,并且在 miR-501 缺失时体内升高。用代谢型谷氨酸受体 5 负变构调节剂 3-2-((-甲基-4-噻唑基)乙炔基)吡啶或 -甲基-d-天冬氨酸受体拮抗剂 2-氨基-5-膦戊酸处理可改善 -KO 小鼠的缺陷。miR-501-3p 与谷氨酸能传递调节的表观遗传和病理生理机制为精神分裂症提供了病因学意义。

https://cdn.ncbi.nlm.nih.gov/pmc/blobs/93e6/9390987/6b0ffab53a5a/sciadv.abn7357-f1.jpg

文献AI研究员

20分钟写一篇综述,助力文献阅读效率提升50倍。

立即体验

用中文搜PubMed

大模型驱动的PubMed中文搜索引擎

马上搜索

文档翻译

学术文献翻译模型,支持多种主流文档格式。

立即体验