Suppr超能文献

用于检测猫冠状病毒的比色逆转录环介导等温扩增检测法的开发

Development of Colorimetric Reverse Transcription Loop-Mediated Isothermal Amplification Assay for Detecting Feline Coronavirus.

作者信息

Rapichai Witsanu, Saejung Wichayet, Khumtong Kotchaporn, Boonkaewwan Chaiwat, Tuanthap Supansa, Lieberzeit Peter A, Choowongkomon Kiattawee, Rattanasrisomporn Jatuporn

机构信息

Center for Advanced Studies for Agriculture and Food, Kasetsart University Institute for Advanced Studies, Kasetsart University, Bangkok 10900, Thailand.

Department of Companion Animal Clinical Sciences, Faculty of Veterinary Medicine, Kasetsart University, Bangkok 10900, Thailand.

出版信息

Animals (Basel). 2022 Aug 14;12(16):2075. doi: 10.3390/ani12162075.

Abstract

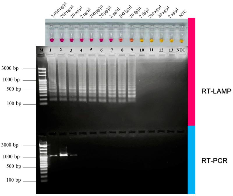
Feline infectious peritonitis (FIP) is a worldwide fatal disease caused by a mutant feline coronavirus (FCoV). Simple and efficient molecular detection methods are needed. Here, sensitive, specific, rapid, and reliable colorimetric reverse transcription loop-mediated isothermal amplification (RT-LAMP) was developed to detect the ORF1a/1b gene of FCoV from cats with suspected FIP using neutral red as an indicator. Novel LAMP primers were specifically designed based on the gene of interest. The isothermal assay could visually detect FCoV at 58 °C for 50 min. The RT-LAMP assay was highly specific and had no cross-reactivity with other related feline viruses. The detection limit of FCoV detection by RT-LAMP was 20 fg/µL. A blind clinical test ( = 81) of the developed RT-LAMP procedure was in good agreement with the conventional PCR method. In the light of its performance specificity, sensitivity, and easy visualization, this neutral-red-based RT-LAMP approach would be a fruitful alternative molecular diagnostic tool for veterinary inspection of FCoV when combined with nucleotide sequencing or specific PCR to affirm the highly virulent FIP-associated FCoV.

摘要

猫传染性腹膜炎(FIP)是一种由突变的猫冠状病毒(FCoV)引起的全球性致命疾病。需要简单有效的分子检测方法。在此,开发了灵敏、特异、快速且可靠的比色逆转录环介导等温扩增(RT-LAMP)方法,以中性红为指示剂,检测疑似FIP的猫的FCoV的ORF1a/1b基因。基于目标基因特异性设计了新型LAMP引物。该等温检测可在58℃下50分钟内直观地检测FCoV。RT-LAMP检测具有高度特异性,与其他相关猫病毒无交叉反应。RT-LAMP检测FCoV的检测限为20 fg/µL。对所开发的RT-LAMP方法进行的一项盲法临床试验(n = 81)与传统PCR方法结果高度一致。鉴于其性能的特异性、敏感性和易于可视化,这种基于中性红的RT-LAMP方法在与核苷酸测序或特异性PCR结合以确认高毒力FIP相关FCoV时,将成为兽医检查FCoV的一种有效的替代分子诊断工具。

https://cdn.ncbi.nlm.nih.gov/pmc/blobs/5006/9405184/3813c8f18b98/animals-12-02075-g001.jpg

文献AI研究员

20分钟写一篇综述,助力文献阅读效率提升50倍。

立即体验

用中文搜PubMed

大模型驱动的PubMed中文搜索引擎

马上搜索

文档翻译

学术文献翻译模型,支持多种主流文档格式。

立即体验