Suppr超能文献

藏绵羊肺脏适应高原低氧的生理学与蛋白质组学基础

Physiology and Proteomic Basis of Lung Adaptation to High-Altitude Hypoxia in Tibetan Sheep.

作者信息

Zhao Pengfei, Li Shaobin, He Zhaohua, Zhao Fangfang, Wang Jiqing, Liu Xiu, Li Mingna, Hu Jiang, Zhao Zhidong, Luo Yuzhu

机构信息

Gansu Key Laboratory of Herbivorous Animal Biotechnology, Faculty of Animal Science and Technology, Gansu Agricultural University, Lanzhou 730070, China.

出版信息

Animals (Basel). 2022 Aug 19;12(16):2134. doi: 10.3390/ani12162134.

Abstract

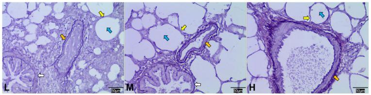
The Tibetan sheep is an indigenous animal of the Tibetan plateau, and after a long period of adaptation have adapted to high-altitude hypoxia. Many physiological changes occur in Tibetan sheep as they adapt to high-altitude hypoxia, especially in the lungs. To reveal the physiological changes and their molecular mechanisms in the lungs of Tibetan sheep during adaptation to high altitudes, we selected Tibetan sheep from three altitudes (2500 m, 3500 m, and 4500 m) and measured blood-gas indicators, observed lung structures, and compared lung proteome changes. The results showed that the Tibetan sheep increased their O-carrying capacity by increasing the hemoglobin (Hb) concentration and Hematocrit (Hct) at an altitude of 3500 m. While at altitude of 4500 m, Tibetan sheep decreased their Hb concentration and Hct to avoid pulmonary hypertension and increased the efficiency of air-blood exchange and O transfer by increasing the surface area of gas exchange and half-saturation oxygen partial pressure. Besides these, some important proteins and pathways related to gas transport, oxidative stress, and angiogenesis identified by proteome sequencing further support these physiology findings, including HBB, PRDX2, GPX1, GSTA1, COL14A1, and LTBP4, etc. In conclusion, the lungs of Tibetan sheep are adapted to different altitudes by different strategies; these findings are valuable for understanding the basis of hypoxic adaptation in Tibetan sheep.

摘要

藏羊是青藏高原的本土动物,经过长期适应已适应高海拔低氧环境。藏羊在适应高海拔低氧环境过程中会发生许多生理变化,尤其是在肺部。为揭示藏羊在适应高海拔过程中肺部的生理变化及其分子机制,我们选取了来自三个海拔高度(2500米、3500米和4500米)的藏羊,测量了血气指标,观察了肺部结构,并比较了肺蛋白质组的变化。结果表明,在海拔3500米时,藏羊通过增加血红蛋白(Hb)浓度和红细胞压积(Hct)来提高其携氧能力。而在海拔4500米时,藏羊降低了Hb浓度和Hct以避免肺动脉高压,并通过增加气体交换表面积和半饱和氧分压来提高气血交换和氧转运效率。除此之外,蛋白质组测序鉴定出的一些与气体运输、氧化应激和血管生成相关的重要蛋白质和途径进一步支持了这些生理发现,包括HBB、PRDX2、GPX1、GSTA1、COL14A1和LTBP4等。总之,藏羊的肺通过不同策略适应不同海拔;这些发现对于理解藏羊低氧适应的基础具有重要价值。

https://cdn.ncbi.nlm.nih.gov/pmc/blobs/7d31/9405401/63abf275bc43/animals-12-02134-g001.jpg

文献AI研究员

20分钟写一篇综述,助力文献阅读效率提升50倍。

立即体验

用中文搜PubMed

大模型驱动的PubMed中文搜索引擎

马上搜索

文档翻译

学术文献翻译模型,支持多种主流文档格式。

立即体验