Suppr超能文献

高同型半胱氨酸血症促进高血压性心肌肥厚。

Hyperhomocysteinemia Promotes Cardiac Hypertrophy in Hypertension.

机构信息

Institute of Cardiovascular Diseases, First Affiliated Hospital of Dalian Medical University, Dalian, China.

Department of Interventional Therapy, First Affiliated Hospital of Dalian Medical University, Dalian, China.

出版信息

Oxid Med Cell Longev. 2022 Aug 22;2022:1486157. doi: 10.1155/2022/1486157. eCollection 2022.

Abstract

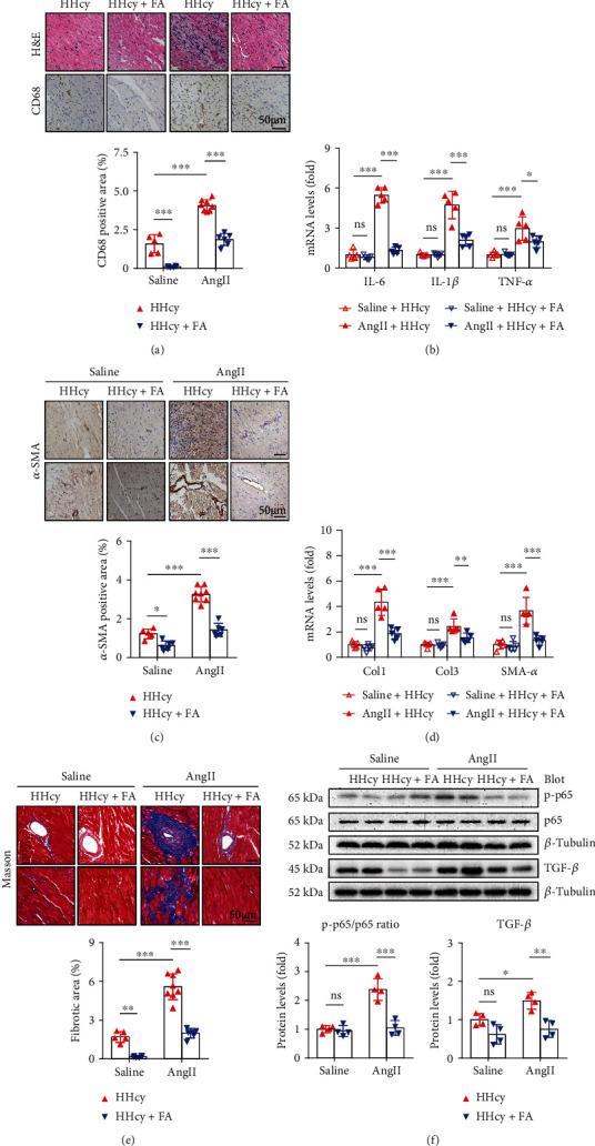
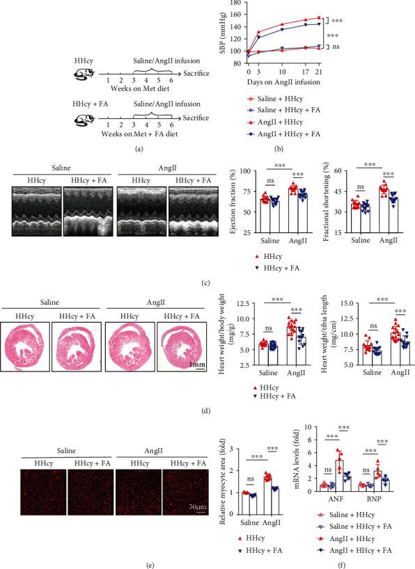
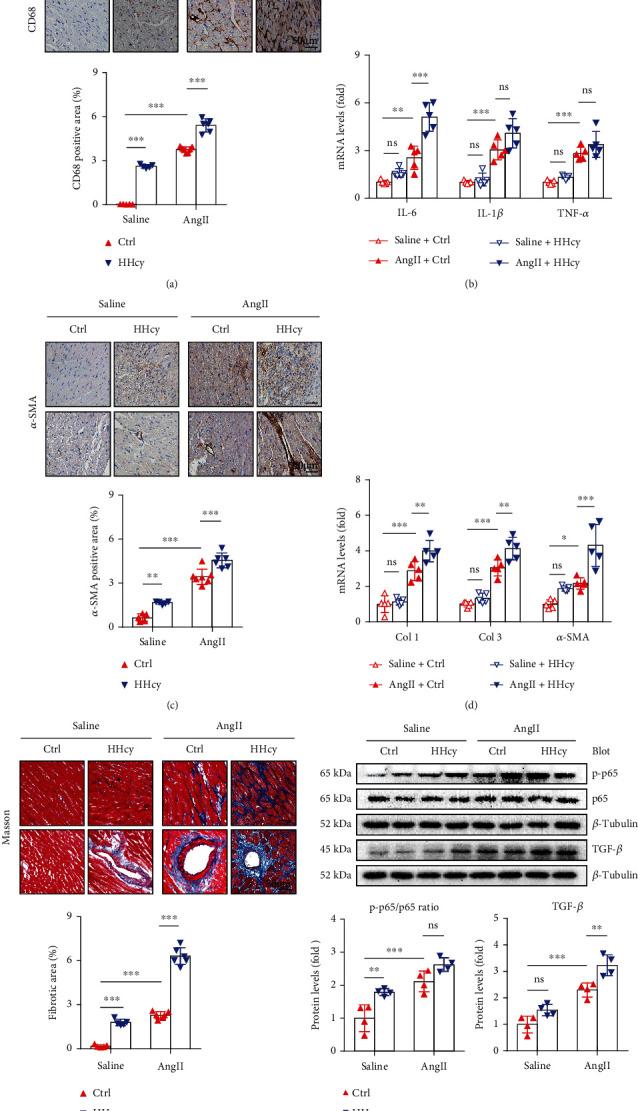
Hyperhomocysteinemia (HHcy) is positively linked with several cardiovascular diseases; however, its role and underlying mechanisms in pathological cardiac hypertrophy are still unclear. Here, we focused on the effects and underlying mechanisms of HHcy in hypertensive cardiac hypertrophy, one of the most common and typical types of pathological cardiac hypertrophy. By a retrospective analysis of the association between HHcy and cardiac hypertrophy in a hypertensive cohort, we found that the prevalence of HHcy was higher in patients with hypertrophy and significantly associated with the presence of cardiac hypertrophy after adjusting for other conventional risk factors. In mice, HHcy induced by a methionine (2% wt/wt) diet feeding significantly promoted cardiac hypertrophy as well as cardiac inflammation and fibrosis induced by 3-week angiotensin ІІ (AngІІ) infusion (1000 ng/kg/min), while folic acid (0.006% wt/wt) supplement corrected HHcy and attenuated AngII-stimulated cardiac phenotypes. Mechanistic studies further showed that homocysteine (Hcy) exacerbated AngII-stimulated expression of Calcineurin and nuclear factor of activated T cells (NFAT), which could be attenuated by folic acid both in mice and in neonatal rat cardiomyocytes. Moreover, treatment with cyclosporin A, an inhibitor of Calcineurin, blocked Hcy-stimulated Calcineurin-NFAT signaling and hypertrophy in neonatal rat cardiomyocytes. In conclusion, our study indicates that HHcy promotes cardiac hypertrophy in hypertension, and Calcineurin-NFAT pathway might be involved in the pro-hypertrophic effect of Hcy.

摘要

高同型半胱氨酸血症(HHcy)与多种心血管疾病呈正相关;然而,其在病理性心肌肥厚中的作用和潜在机制仍不清楚。在这里,我们专注于 HHcy 在高血压性心肌肥厚中的作用及其潜在机制,高血压性心肌肥厚是最常见和典型的病理性心肌肥厚类型之一。通过对高血压队列中 HHcy 与心肌肥厚之间的相关性进行回顾性分析,我们发现肥厚患者的 HHcy 患病率较高,且在调整其他常规危险因素后,与心肌肥厚的存在显著相关。在小鼠中,用蛋氨酸(2%wt/wt)饮食喂养诱导的 HHcy 显著促进了心肌肥厚,以及用 3 周血管紧张素Ⅱ(AngⅡ)输注(1000ng/kg/min)诱导的心肌炎症和纤维化,而叶酸(0.006%wt/wt)补充纠正了 HHcy 并减轻了 AngⅡ刺激的心脏表型。机制研究进一步表明,同型半胱氨酸(Hcy)加剧了 AngⅡ刺激的钙调神经磷酸酶和激活 T 细胞核因子(NFAT)的表达,而叶酸在小鼠和新生大鼠心肌细胞中均可减弱这一作用。此外,钙调神经磷酸酶抑制剂环孢素 A 阻断了 Hcy 刺激的钙调神经磷酸酶-NFAT 信号通路和新生大鼠心肌细胞的肥大。综上所述,本研究表明 HHcy 促进高血压中的心肌肥厚,钙调神经磷酸酶-NFAT 途径可能参与 Hcy 的促肥大作用。

https://cdn.ncbi.nlm.nih.gov/pmc/blobs/a043/9423973/a84ca250feb5/OMCL2022-1486157.001.jpg

文献AI研究员

20分钟写一篇综述,助力文献阅读效率提升50倍。

立即体验

用中文搜PubMed

大模型驱动的PubMed中文搜索引擎

马上搜索

文档翻译

学术文献翻译模型,支持多种主流文档格式。

立即体验