Suppr超能文献

同型半胱氨酸通过抑制β-连环蛋白/FUNDC1介导的线粒体自噬促进心肌细胞肥大。

Homocysteine promotes cardiomyocyte hypertrophy through inhibiting β-catenin/ FUNDC1 mediated mitophagy.

作者信息

Lei Yanping, Hu Hengjing, Tang Huifang, Sun Hui, Liu Rui, Zhao Yue

机构信息

Institute of Cardiovascular Disease, Key Laboratory for Arteriosclerology of Hunan Province, Hunan International Scientific and Technological Cooperation Base of Arteriosclerotic Disease, Hengyang Medical College, University of South China, Hengyang, 421001, Hunan, People's Republic of China.

The First Affiliated Hospital, Department of Cardiology, Hengyang Medical School, University of South China, Chuanshan Road, No. 69, Hengyang, 421001, Hunan, People's Republic of China.

出版信息

Sci Rep. 2025 Jul 1;15(1):22207. doi: 10.1038/s41598-025-06772-6.

Abstract

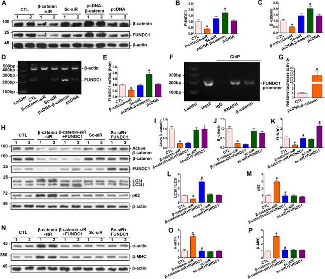
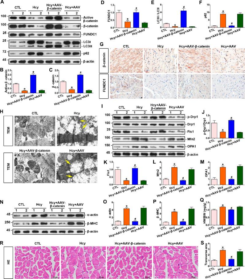
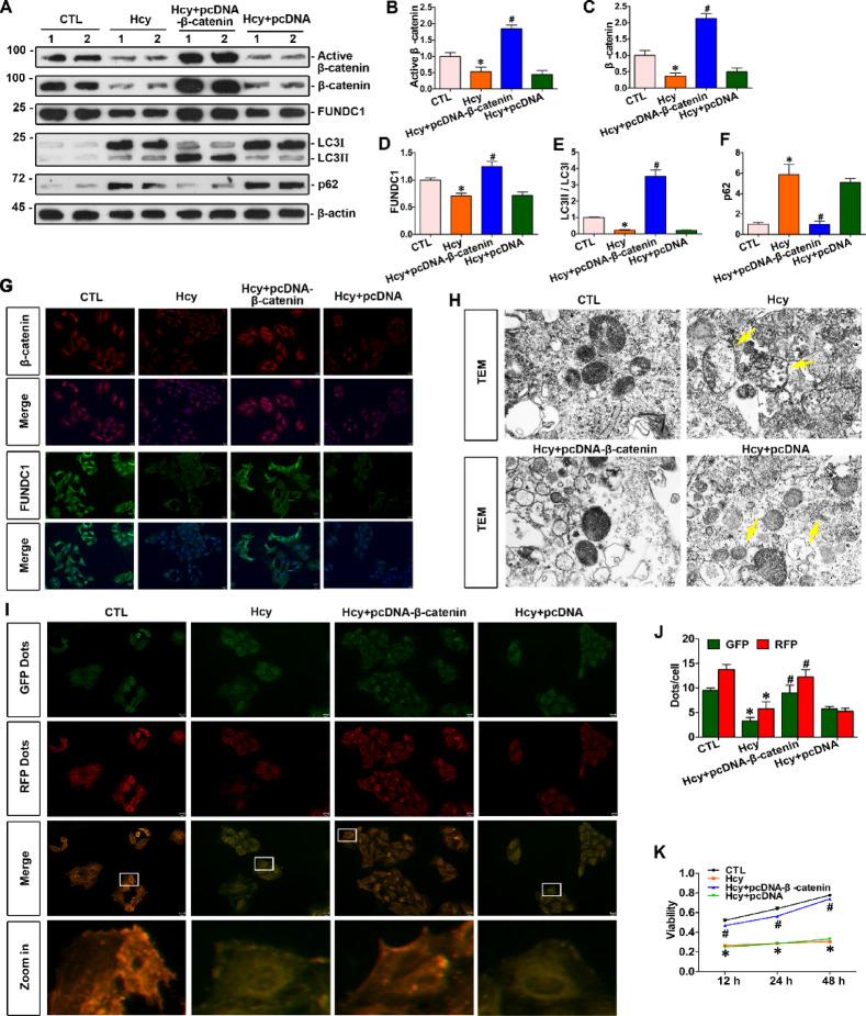
Homocysteine can cause damage to cardiomyocytes. However, Mitophagy is essential for preserving homeostasis in cardiomyocytes. So, we focused on investigating the impact of homocysteine on cardiomyocyte mitophagy and cardiac hypertrophy through the β-catenin/FUNDC1 pathway. Mice were administered water containing homocysteine (1.8 g/L) to induce hyperhomocysteinemia for 4 weeks. The overexpression of specific genes, including β-catenin and FUNDC1, were performed by gene delivery mediated with adeno-associated virus. In vitro, cardiomyocytes were exposed to homocysteine (1 mmol/L) and then transfected with plasmids to overexpress β-catenin and FUNDC1, respectively. The duration of cell experiments was 48 h. Western blotting was employed to assess the expression levels of β-catenin, active β-catenin, FUNDC1, LC3, p62, α-actin, and β-MHC. Immunohistochemistry and immunofluorescence techniques were applied to measure β-catenin and FUNDC1 in cardiomyocytes. Cell viability was assessed using a CCK-8 assay kit, and mitophagy was observed under transmission electron microscopy. The interaction between β-catenin protein and the promoter of the FUNDC1 gene was examined using ChIP assay and dual-luciferase reporter gene assay. Homocysteine inhibited β-catenin signaling and the FUNDC1-mediated mitophagy in the cardiomyocytes, simultaneously promoting cardiac hypertrophy in vitro and in vivo. Elevated β-catenin signaling promoted FUNDC1 expression, then restored the normal level of mitophagy, and consequently inhibited homocysteine-induced cardiac hypertrophy. Similarly, overexpression of FUNDC1 restored mitophagy and protected cardiomyocytes from hypertrophy. In addition, FUNDC1 served as a target gene of β-catenin. In summary, homocysteine induces cardiomyocyte hypertrophy by inhibiting β-catenin signaling and suppressing FUNDC1-mediated mitophagy.

摘要

同型半胱氨酸可导致心肌细胞损伤。然而,线粒体自噬对于维持心肌细胞的内环境稳定至关重要。因此,我们专注于研究同型半胱氨酸通过β-连环蛋白/FUNDC1途径对心肌细胞线粒体自噬和心脏肥大的影响。给小鼠饮用含同型半胱氨酸(1.8 g/L)的水以诱导高同型半胱氨酸血症4周。通过腺相关病毒介导的基因递送实现包括β-连环蛋白和FUNDC1在内的特定基因的过表达。在体外,将心肌细胞暴露于同型半胱氨酸(1 mmol/L),然后分别用质粒转染以过表达β-连环蛋白和FUNDC1。细胞实验持续时间为48小时。采用蛋白质免疫印迹法评估β-连环蛋白、活性β-连环蛋白、FUNDC1、LC3、p62、α-肌动蛋白和β-肌球蛋白重链的表达水平。应用免疫组织化学和免疫荧光技术检测心肌细胞中的β-连环蛋白和FUNDC1。使用CCK-8检测试剂盒评估细胞活力,并在透射电子显微镜下观察线粒体自噬。使用染色质免疫沉淀测定法和双荧光素酶报告基因测定法检测β-连环蛋白蛋白与FUNDC1基因启动子之间的相互作用。同型半胱氨酸抑制心肌细胞中的β-连环蛋白信号传导和FUNDC1介导的线粒体自噬,同时在体外和体内促进心脏肥大。升高的β-连环蛋白信号传导促进FUNDC1表达,然后恢复线粒体自噬的正常水平,从而抑制同型半胱氨酸诱导的心脏肥大。同样,FUNDC1的过表达恢复了线粒体自噬并保护心肌细胞免于肥大。此外,FUNDC1作为β-连环蛋白的靶基因。总之,同型半胱氨酸通过抑制β-连环蛋白信号传导和抑制FUNDC1介导的线粒体自噬诱导心肌细胞肥大。

https://cdn.ncbi.nlm.nih.gov/pmc/blobs/0e48/12214670/1d3ae9b93736/41598_2025_6772_Fig1_HTML.jpg

文献AI研究员

20分钟写一篇综述,助力文献阅读效率提升50倍。

立即体验

用中文搜PubMed

大模型驱动的PubMed中文搜索引擎

马上搜索

文档翻译

学术文献翻译模型,支持多种主流文档格式。

立即体验