Suppr超能文献

随访15年的神经鞘瘤病患者:病例报告

Schwannomatosis patient who was followed up for fifteen years: A case report.

作者信息

Li Kai, Liu Si-Jing, Wang Huai-Bo, Yin Chang-Yu, Huang Yong-Sheng, Guo Wei-Tao

机构信息

Department of Spine Surgery, The Second Hospital affiliated to Guangdong Medical University, Zhanjiang 524000, Guangdong Province, China.

出版信息

World J Clin Cases. 2022 Jul 16;10(20):6981-6990. doi: 10.12998/wjcc.v10.i20.6981.

Abstract

BACKGROUND

Schwannomatosis is a rare disease characterized by multiple schwannomas of the whole body. Although benign, schwannomatosis that occurs in important areas of the body, such as the brain and spinal canal, can cause considerable disability and mortality. The disease is rare, frequent and relapsing, and this poses a diagnostic and therapeutic challenge.

CASE SUMMARY

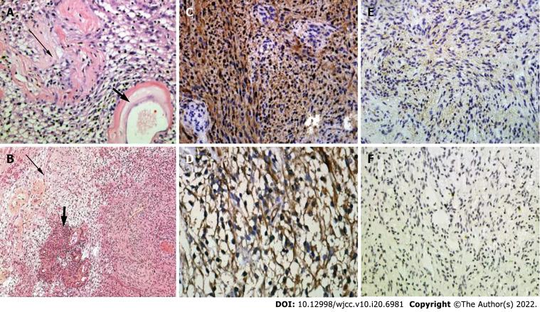
A 40-year-old male had multiple masses all over his body, starting at the age of 19. Four years prior, he started to experience a progressive decrease in muscle strength in both lower limbs and developed urinary and defecation dysfunctions, and gradual paralysis. One month prior, the patient developed pain and numbness in his left forearm. The patient had undergone five surgical procedures for this disease in our department. Based on the family history, imaging examinations, pathological biopsy and molecular biological examinations, the diagnosis of schwannomatosis was confirmed. This time, the patient was admitted to our hospital again for a 6th operation because of the pain and numbness in his left forearm. After the operation, the patient's symptoms improved significantly; the patient recovered and was discharged from the hospital. At the last telephone follow-up, the patient reported a poor general condition but was alive.

CONCLUSION

Here, we report a rare case of schwannomatosis. We conducted 15 years of patient follow-up and treatment, and analyzed the timing of surgery and patient psychology. This case will further extend our overall understanding of the diagnosis and treatment of this rare tumor.

摘要

背景

神经鞘瘤病是一种罕见疾病,其特征为全身多发神经鞘瘤。尽管为良性,但发生于身体重要部位(如脑和椎管)的神经鞘瘤病可导致严重残疾和死亡。该疾病罕见、易复发,这给诊断和治疗带来了挑战。

病例摘要

一名40岁男性自19岁起全身出现多处肿块。4年前,他开始出现双下肢肌力进行性下降,并出现排尿和排便功能障碍,逐渐发展为瘫痪。1个月前,患者左前臂出现疼痛和麻木。该患者在我科因该病接受了5次手术。根据家族史、影像学检查、病理活检及分子生物学检查,确诊为神经鞘瘤病。此次,患者因左前臂疼痛和麻木再次入住我院接受第6次手术。术后,患者症状明显改善;患者康复出院。在最后一次电话随访中,患者报告全身状况较差,但仍存活。

结论

在此,我们报告一例罕见的神经鞘瘤病病例。我们对患者进行了15年的随访和治疗,并分析了手术时机和患者心理。该病例将进一步扩展我们对这种罕见肿瘤诊断和治疗的全面认识。

https://cdn.ncbi.nlm.nih.gov/pmc/blobs/31db/9297415/4b08f4428081/WJCC-10-6981-g001.jpg

文献AI研究员

20分钟写一篇综述,助力文献阅读效率提升50倍。

立即体验

用中文搜PubMed

大模型驱动的PubMed中文搜索引擎

马上搜索

文档翻译

学术文献翻译模型,支持多种主流文档格式。

立即体验