Suppr超能文献

在 rasH2 小鼠模型的 26 周吸入研究中,未发现二氧化钛纳米颗粒具有致癌性。

No evidence for carcinogenicity of titanium dioxide nanoparticles in 26-week inhalation study in rasH2 mouse model.

机构信息

Japan Bioassay Research Center, Japan Organization of Occupational Health and Safety, 2445 Hirasawa, Hadano, Kanagawa, 257-0015, Japan.

出版信息

Sci Rep. 2022 Sep 2;12(1):14969. doi: 10.1038/s41598-022-19139-y.

Abstract

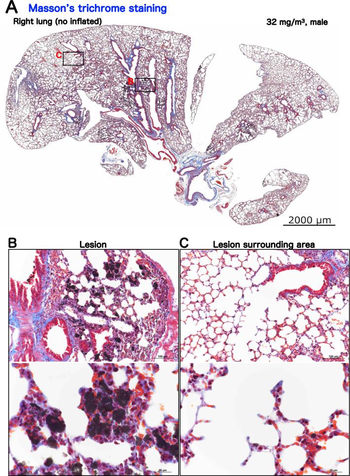
With the rapid development of alternative methods based on the spirit of animal welfare, the publications of animal studies evaluating endpoints such as cancer have been extremely reduced. We performed a 26-week inhalation exposure studies of titanium dioxide nanoparticles (TiO NPs) using CByB6F1-Tg(HRAS)2Jic (rasH2) mice model for detecting carcinogenicity. Male and female rasH2 mice were exposed to 2, 8 or 32 mg/m of TiO NPs for 6 h/day, 5 days/week for 26 weeks. All tissues and blood were collected and subjected to biological and histopathological analyses. TiO NPs exposure induced deposition of particles in lungs in a dose-dependent manner in each exposure group. Exposure to TiO NPs, as well as other organs, did not increase the incidence of lung tumors in any group, and pulmonary fibrosis and pre-neoplastic lesions were not observed in all groups. Finally, the cell proliferative activity of alveolar epithelial type 2 cells was examined, and it was not increased by exposure to TiO NPs. This is the first report showing the lack of pulmonary fibrogenicity and carcinogenicity (no evidence of carcinogenic activity) of TiO NPs in 26-week inhalation study in rasH2 mice exposed up to 32 mg/m, which is considered to be a high concentration.

摘要

随着基于动物福利精神的替代方法的快速发展,评估癌症等终点的动物研究出版物已经大大减少。我们使用 CByB6F1-Tg(HRAS)2Jic (rasH2) 小鼠模型进行了为期 26 周的吸入暴露研究,以检测二氧化钛纳米颗粒 (TiO NPs) 的致癌性。雄性和雌性 rasH2 小鼠分别暴露于 2、8 或 32 mg/m 的 TiO NPs 中,每天 6 小时,每周 5 天,共 26 周。收集所有组织和血液进行生物学和组织病理学分析。TiO NPs 暴露以剂量依赖的方式在每个暴露组中诱导颗粒在肺部沉积。暴露于 TiO NPs 以及其他器官,不会增加任何组的肺肿瘤发生率,并且在所有组中均未观察到肺纤维化和前瘤病变。最后,检查了肺泡上皮细胞 2 型细胞的增殖活性,暴露于 TiO NPs 并没有增加其活性。这是第一项报告,表明在暴露于高达 32 mg/m 的 rasH2 小鼠的 26 周吸入研究中,TiO NPs 没有肺部纤维化和致癌性(无致癌活性证据),这被认为是高浓度。

https://cdn.ncbi.nlm.nih.gov/pmc/blobs/582b/9440215/f3b69aaa1f09/41598_2022_19139_Fig1_HTML.jpg

文献AI研究员

20分钟写一篇综述,助力文献阅读效率提升50倍。

立即体验

用中文搜PubMed

大模型驱动的PubMed中文搜索引擎

马上搜索

文档翻译

学术文献翻译模型,支持多种主流文档格式。

立即体验