Suppr超能文献

去铁胺预处理脐带间充质干细胞条件培养液对糖尿病肾病模型的治疗潜力。

Therapeutic potential of conditioned medium obtained from deferoxamine preconditioned umbilical cord mesenchymal stem cells on diabetic nephropathy model.

机构信息

Histology and Embryology Department, Cerrahpasa Faculty of Medicine, Istanbul University-Cerrahpasa, Kocamustafapaşa Street, 34098, Istanbul, Turkey.

Biology Department, Molecular Biology Section, Faculty of Science, Istanbul University, Istanbul, Turkey.

出版信息

Stem Cell Res Ther. 2022 Sep 2;13(1):438. doi: 10.1186/s13287-022-03121-6.

Abstract

BACKGROUND

The therapeutic potential of mesenchymal stem cells (MSCs)-derived conditioned media (CM) can be increased after preconditioning with various chemical agents. The aim of this study is comparative evaluation of effects of N-CM and DFS-CM which are collected from normal (N) and deferoxamine (DFS) preconditioned umbilical cord-derived MSCs on rat diabetic nephropathy (DN) model.

METHODS

After incubation of the MSCs in serum-free medium with/without 150 µM DFS for 48 h, the contents of N-CM and DFS-CM were analyzed by enzyme-linked immunosorbent assay. Diabetes (D) was induced by single dose of 55 mg/kg streptozotocin. Therapeutic effects of CMs were evaluated by biochemical, physical, histopathological and immunohistochemical analysis.

RESULTS

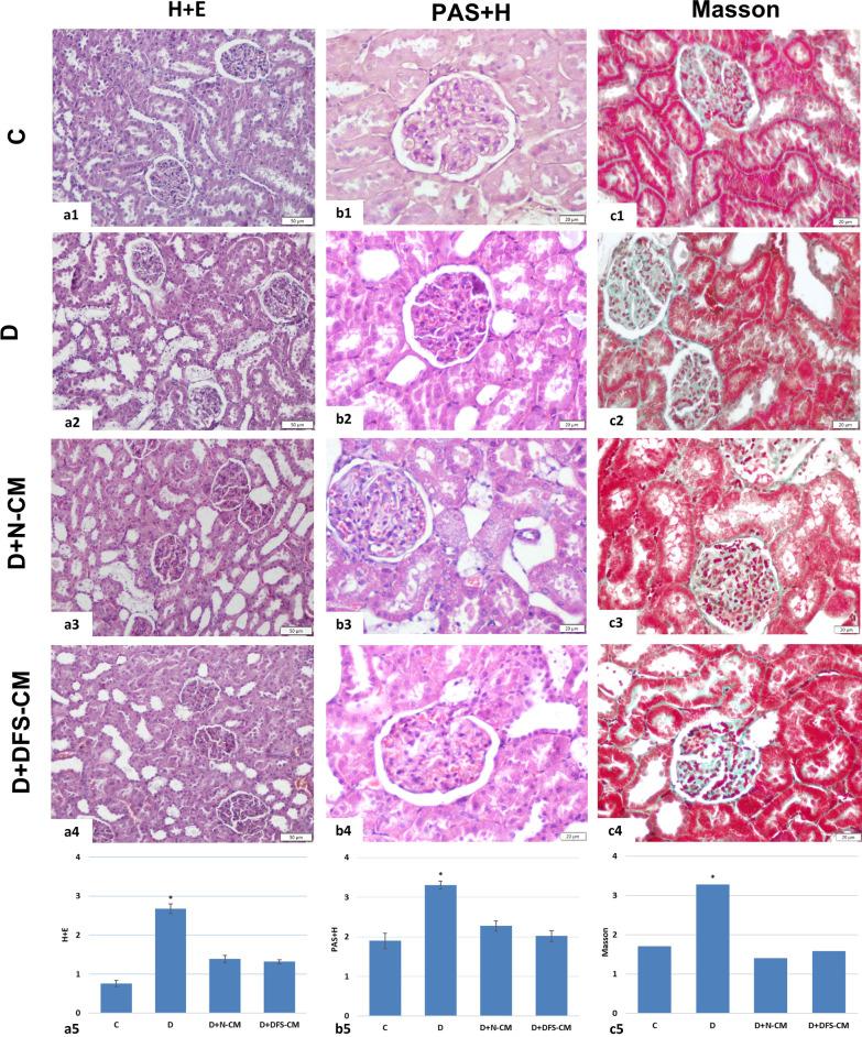
The concentrations of vascular endothelial growth factor alpha, nerve growth factor and glial-derived neurotrophic factor in DFS-CM increased, while one of brain-derived neurotrophic factor decreased in comparison with N-CM. The creatinine clearance rate increased significantly in both treatment groups, while the improvement in albumin/creatinine ratio and renal mass index values were only significant for D + DFS-CM group. Light and electron microscopic deteriorations and loss of podocytes-specific nephrin and Wilms tumor-1 (WT-1) expressions were significantly restored in both treatment groups. Tubular beclin-1 expression was significantly increased for DN group, but it decreased in both treatment groups. Terminal deoxynucleotidyl transferase dUTP nick end labeling (TUNEL)-positive apoptotic cell death increased in the tubules of D group, while it was only significantly decreased for D + DFS-CM group.

CONCLUSIONS

DFS-CM can be more effective in the treatment of DN by reducing podocyte damage and tubular apoptotic cell death and regulating autophagic activity with its more concentrated secretome content than N-CM.

摘要

背景

间充质干细胞(MSCs)衍生的条件培养基(CM)经过各种化学试剂预处理后,其治疗潜能可以提高。本研究旨在比较从正常(N)和去铁胺(DFS)预处理的脐带间充质干细胞中收集的 N-CM 和 DFS-CM 对大鼠糖尿病肾病(DN)模型的影响。

方法

将 MSCs 在含/不含 150 μM DFS 的无血清培养基中孵育 48 小时后,通过酶联免疫吸附试验分析 N-CM 和 DFS-CM 的含量。通过单次给予 55mg/kg 链脲佐菌素诱导糖尿病(D)。通过生化、物理、组织病理学和免疫组织化学分析评估 CM 的治疗效果。

结果

与 N-CM 相比,DFS-CM 中血管内皮生长因子α、神经生长因子和胶质细胞源性神经营养因子的浓度增加,而脑源性神经营养因子的浓度降低。两种治疗组的肌酐清除率均显著增加,而白蛋白/肌酐比值和肾质量指数值的改善仅在 D+DFS-CM 组显著。两种治疗组的光镜和电镜恶化以及足细胞特异性nephrin 和 Wilms 肿瘤-1(WT-1)表达的丧失均得到显著恢复。DN 组肾小管 beclin-1 表达显著增加,但在两种治疗组中均减少。末端脱氧核苷酸转移酶 dUTP 缺口末端标记(TUNEL)阳性细胞凋亡在 D 组的肾小管中增加,而在 D+DFS-CM 组中仅显著减少。

结论

与 N-CM 相比,DFS-CM 可通过减少足细胞损伤和管状细胞凋亡死亡以及调节自噬活性来治疗 DN,因为其浓缩的分泌组含量更高。

https://cdn.ncbi.nlm.nih.gov/pmc/blobs/039e/9438289/ceda8759deca/13287_2022_3121_Fig1_HTML.jpg

文献AI研究员

20分钟写一篇综述,助力文献阅读效率提升50倍。

立即体验

用中文搜PubMed

大模型驱动的PubMed中文搜索引擎

马上搜索

文档翻译

学术文献翻译模型,支持多种主流文档格式。

立即体验