Suppr超能文献

辅助性 T 细胞 2 型(Th2)细胞因子在嗜酸性肉芽肿伴多血管炎(eGPA)发病机制中的作用:一个实例说明和讨论。

The Role of T Helper Type 2 (Th2) Cytokines in the Pathogenesis of Eosinophilic Granulomatosis with Polyangiitis (eGPA): an Illustrative Case and Discussion.

机构信息

Division of Rheumatology and Immunology, Department of Medicine, Duke University School of Medicine, 40 Duke Medicine Circle, Clinic 1J, Durham, NC, 27710, USA.

Department of Pathology, Duke University School of Medicine, Durham, NC, USA.

出版信息

Curr Allergy Asthma Rep. 2022 Nov;22(11):141-150. doi: 10.1007/s11882-022-01039-w. Epub 2022 Sep 14.

Abstract

PURPOSEOF REVIEW

The pathogenesis of eosinophilic granulomatosis with polyangiitis (eGPA) is driven largely by CD4 + type 2 helper T cells (Th2), B cells, and eosinophils. Interleukin (IL)-4 and IL-13 are critical cytokines in Th2 cell-mediated inflammation; however, inhibition of IL-4 and IL-13 does not reduce serum eosinophil counts and has even been associated with hypereosinophilia. This review explores the role of IL-4, IL-5, and IL-13 in Th2-mediated inflammation to consider the potential clinical consequences of inhibiting these individual cytokines in eGPA.

RECENT FINDINGS

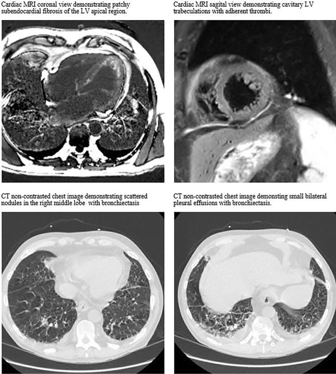
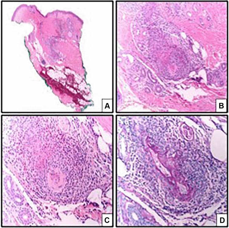
Treatments for eosinophilic granulomatosis with polyangiitis (eGPA) are rapidly evolving through using biologic therapies to modulate the Th2 inflammatory response via eosinophil inhibition. While IL-4, IL-5, IL-13, and IL-25 can all affect eosinophils, only IL-5 inhibition has demonstrated therapeutic benefit to-date. In this review, we report a clinical vignette of a patient with adult-onset asthma who developed severe manifestations of eGPA after switching from mepolizumab (an IL-5 inhibitor) to dupilumab (an inhibitor of IL-4 and IL-13). By understanding the role of IL-4, IL-5, and IL-13 in Th2-mediated vasculitis, we can start to understand how eGPA might respond differently to focused cytokine inhibition.

摘要

目的综述

嗜酸性肉芽肿性多血管炎(eGPA)的发病机制主要由 CD4+辅助性 T 细胞 2 型(Th2)、B 细胞和嗜酸性粒细胞驱动。白细胞介素(IL)-4 和 IL-13 是 Th2 细胞介导炎症的关键细胞因子;然而,抑制 IL-4 和 IL-13 并不能降低血清嗜酸性粒细胞计数,甚至与嗜酸性粒细胞增多症有关。本综述探讨了 IL-4、IL-5 和 IL-13 在 Th2 介导炎症中的作用,以考虑在 eGPA 中抑制这些细胞因子的潜在临床后果。

最近的发现

通过使用生物疗法来调节 Th2 炎症反应通过嗜酸性粒细胞抑制,嗜酸性肉芽肿性多血管炎(eGPA)的治疗方法正在迅速发展。虽然 IL-4、IL-5、IL-13 和 IL-25 均可影响嗜酸性粒细胞,但迄今为止只有 IL-5 抑制具有治疗益处。在本综述中,我们报告了一例成年起病哮喘患者的临床病例,该患者在从美泊利单抗(一种 IL-5 抑制剂)转换为度普利尤单抗(一种 IL-4 和 IL-13 抑制剂)后出现严重的 eGPA 表现。通过了解 IL-4、IL-5 和 IL-13 在 Th2 介导的血管炎中的作用,我们可以开始了解 eGPA 可能对靶向细胞因子抑制的反应有何不同。

https://cdn.ncbi.nlm.nih.gov/pmc/blobs/a7f1/9471022/fec6f32880dc/11882_2022_1039_Fig1_HTML.jpg

文献AI研究员

20分钟写一篇综述,助力文献阅读效率提升50倍。

立即体验

用中文搜PubMed

大模型驱动的PubMed中文搜索引擎

马上搜索

文档翻译

学术文献翻译模型,支持多种主流文档格式。

立即体验