Suppr超能文献

嗜酸性肉芽肿性多血管炎(EGPA)并发大动脉炎,度普利尤单抗的诱发作用?病例报告及文献复习。

Eosinophilic granulomatosis polyangiitis (EGPA) complicated with periaortitis, precipitating role of dupilumab? A case report a review of the literature.

机构信息

Department of Internal Medicine and Clinical Immunology, APHP, Paris, France.

Nuclear Radiology, APHP, Paris, France.

出版信息

RMD Open. 2023 Sep;9(3). doi: 10.1136/rmdopen-2023-003300.

Abstract

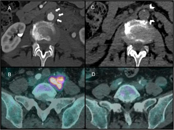
Eosinophilic granulomatosis with polyangiitis (EGPA) is an ANCA-associated vasculitis that affects small size vessels. Only four cases of periaortitis associated with EGPA have been reported in the literature. We report the case of a 67-year-old woman with EGPA who developed periaortitis 11 months after the initiation of dupilumab for uncontrolled asthma with hypereosinophilia. Complete remission of the periaortitis, and of EGPA, was obtained after switching from dupilumab to mepolizumab combined with oral prednisone therapy. Dupilumab has been associated with hypereosinophilia, that is usually asymptomatic and transitory, but symptomatic cases including EGPA were exceptionally reported. Although causality has not yet been established, caution is advisable when prescribing dupilumab for uncontrolled asthma with features that might suggest EGPA.

摘要

嗜酸性肉芽肿伴多血管炎(EGPA)是一种与抗中性粒细胞胞浆抗体(ANCA)相关的小血管血管炎。文献中仅报道了 4 例与 EGPA 相关的主动脉旁炎病例。我们报告了一例 67 岁女性的病例,该患者因未控制的哮喘伴嗜酸性粒细胞增多,在接受度普利尤单抗治疗 11 个月后出现主动脉旁炎。在将度普利尤单抗转换为美泊利珠单抗联合口服泼尼松治疗后,主动脉旁炎和 EGPA 完全缓解。度普利尤单抗与嗜酸性粒细胞增多有关,通常无症状且短暂,但也有例外报告出现包括 EGPA 在内的有症状病例。尽管尚未确定因果关系,但在为可能提示 EGPA 的特征性未控制哮喘开具度普利尤单抗处方时应谨慎。

https://cdn.ncbi.nlm.nih.gov/pmc/blobs/507b/10496704/c25647b1a7e1/rmdopen-2023-003300f01.jpg

文献AI研究员

20分钟写一篇综述,助力文献阅读效率提升50倍。

立即体验

用中文搜PubMed

大模型驱动的PubMed中文搜索引擎

马上搜索

文档翻译

学术文献翻译模型,支持多种主流文档格式。

立即体验