Suppr超能文献

伴有门静脉血栓形成的复发性肝细胞癌的手术切除:这是一个好的治疗选择吗?一例病例报告及文献系统综述

Surgical Resection of a Recurrent Hepatocellular Carcinoma with Portal Vein Thrombosis: Is It a Good Treatment Option? A Case Report and Systematic Review of the Literature.

作者信息

Sena Giuseppe, Paglione Daniele, Gallo Gaetano, Goglia Marta, Osso Mariasara, Nardo Bruno

机构信息

Department of Vascular Surgery, Pugliese-Ciaccio Hospital, 88100 Catanzaro, Italy.

Department of Pharmacy, Health and Nutritional Sciences, University of Calabria, 87036 Rende, Italy.

出版信息

J Clin Med. 2022 Sep 7;11(18):5287. doi: 10.3390/jcm11185287.

Abstract

BACKGROUND

Hepatocellular carcinoma (HCC) is the sixth most frequent diagnosed tumor worldwide and the third leading cause of cancer related death. According to the EASL Guidelines, HCC with portal vein tumor thrombosis (PVTT) is classified as an advanced stage (BCLC stage C) and the only curative option is represented by systemic therapy. Therefore, treatment of HCC patients with PVTT remains controversial and debated. In this paper, we describe the case of a 66-year-old man with a recurrent HCC with PVTT who underwent surgical resection. A systematic review of the literature, comparing surgical resection with other choices of treatment in HCC patients with PVTT, is reported.

METHODS

A systematic review of the literature regarding all prospective and retrospective studies comparing the survival outcomes of HCC patients with PVTT treated with surgical resections (SRs) or other non-surgical treatments (n-SRs) has been conducted.

CASE PRESENTATION

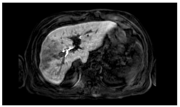
A 66-year-old Caucasian man with a history of Hepatitis C Virus (HCV) related liver cirrhosis and previous hepatocellular carcinoma of the VI segment treated with percutaneous ethanol infusion (PEI) seven years before presented to our clinics. A new nodular hypoechoic lesion in the VI hepatic segment was demonstrated on follow-up ultrasound examination. A hepatospecific magnetic resonance imaging (MRI) scan confirmed also the presence of a 18 × 13 mm nodular lesion in the V hepatic segment with satellite micronodules associated with V-VIII sectoral portal branch thrombosis. The case was then discussed at the multidisciplinary team meeting, and it was decided to perform a right hepatectomy. The postoperative course was regular and uneventful, and the discharge occurred seven days after the surgery. At eight-month follow-up, there was no clinical nor radiological evidence of neoplastic recurrence, with well-preserved liver function (Child-Pugh A5).

RESULTS

Nine studies were included in the review. Median Overall Survaival (OS) ranged from 8.2 to 30 months for SRs patients and from 7 to 13.3 for n-SRs patients. In SR patients, one-year survival ranged from 22.7% to 100%, two-year survival from 9.8% to 100%, and three-year survival from 0% to 71%. In n-SRs patients, one-year survival ranged from 11.8% to 77.6%, two-year survival from 0% to 47.8%, and three-year survival from 0% to 20.9%.

CONCLUSION

The present systematic literature review and the case presented demonstrated the efficacy of surgery as a first-line treatment in well-selected HCC patients with PVTT limited or more distal to the right and left portal branches. However, further studies, particularly randomized trials, need to be conducted in future to better define the surgical indications.

摘要

背景

肝细胞癌(HCC)是全球第六大常见诊断肿瘤,也是癌症相关死亡的第三大主要原因。根据欧洲肝脏研究学会(EASL)指南,伴有门静脉肿瘤血栓形成(PVTT)的HCC被归类为晚期(BCLC C期),唯一的治愈选择是全身治疗。因此,HCC合并PVTT患者的治疗仍存在争议。在本文中,我们描述了一名66岁复发性HCC合并PVTT患者接受手术切除的病例。本文还报道了对文献的系统回顾,比较了手术切除与PVTT的HCC患者其他治疗选择的情况。

方法

对所有前瞻性和回顾性研究进行了系统的文献回顾,这些研究比较了接受手术切除(SR)或其他非手术治疗(n - SR)的PVTT的HCC患者的生存结果。

病例介绍

一名66岁的白种男性,有丙型肝炎病毒(HCV)相关肝硬化病史,7年前曾因VI段肝细胞癌接受过经皮乙醇注射(PEI)治疗,前来我们诊所就诊。随访超声检查发现VI肝段有一个新的结节性低回声病变。肝脏特异性磁共振成像(MRI)扫描也证实V肝段存在一个18×13mm的结节性病变,伴有卫星微结节,与V - VIII段门静脉分支血栓形成有关。然后在多学科团队会议上讨论了该病例,决定进行右半肝切除术。术后过程顺利,术后7天出院。在8个月的随访中,没有肿瘤复发的临床或影像学证据,肝功能良好(Child - Pugh A5)。

结果

该综述纳入了9项研究。接受SR治疗的患者中位总生存期(OS)为8.2至30个月,接受n - SR治疗的患者为7至13.3个月。接受SR治疗的患者中,1年生存率为22.7%至100%,2年生存率为9.8%至100%,3年生存率为0%至71%。接受n - SR治疗的患者中,1年生存率为11.8%至77.6%,2年生存率为0%至47.8%,3年生存率为0%至20.9%。

结论

目前的系统文献综述和所呈现的病例表明,对于精心挑选的PVTT局限于或更远离左右门静脉分支的HCC患者,手术作为一线治疗具有疗效。然而,未来需要进行进一步的研究,特别是随机试验,以更好地确定手术适应症。

https://cdn.ncbi.nlm.nih.gov/pmc/blobs/5e8b/9502949/25308ef26188/jcm-11-05287-g001.jpg

文献AI研究员

20分钟写一篇综述,助力文献阅读效率提升50倍。

立即体验

用中文搜PubMed

大模型驱动的PubMed中文搜索引擎

马上搜索

文档翻译

学术文献翻译模型,支持多种主流文档格式。

立即体验