Suppr超能文献

埃及两种强毒传染性喉气管炎病毒株的致病性和疫苗效力。

Pathogenicity and vaccine efficacy of two virulent infectious laryngotracheitis virus strains in Egypt.

机构信息

Department of Pathology, Faculty of Veterinary Medicine, Cairo University, Giza, 12211, Egypt.

Department of Virology, Faculty of Veterinary Medicine, Cairo University, Giza, 12211, Egypt.

出版信息

BMC Vet Res. 2022 Sep 26;18(1):358. doi: 10.1186/s12917-022-03458-3.

Abstract

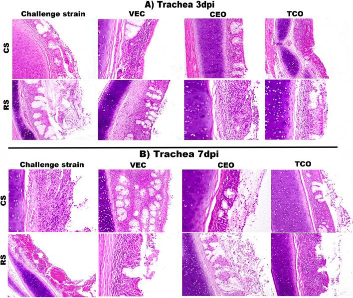
Infectious laryngotracheitis (ILT) is an economically crucial respiratory disease of poultry that affects the industry worldwide. Vaccination is the principal tool in the control of the disease outbreak. In an earlier study, we comprehensively characterized the circulating strains in Egypt and identified both CEO-like and recombinant strains are dominant. Herein, we investigated the pathogenicity of two virulent strains representing the CEO-like (Sharkia_2018) and recombinant strain (Qalubia_2018). Additionally, we evaluated the efficacy of different commercial vaccines (HVT-LT, CEO, and TCO) against the two isolates in terms of the histopathological lesion scores and the viral (gC) gene load. A total of 270 White Leghorn-specific pathogen-free male chicks were divided into nine groups of 30 birds, each housed in separate isolators. Birds were distributed as follows; one group was non-vaccinated, non-challenged, and served as a negative control. Two groups were non-vaccinated and infected with the two isolates of interest and served as a positive control to test the pathogenicity. Six groups were vaccinated and challenged; two groups were vaccinated with vector vaccine at one day old. The other four groups were vaccinated with either the CEO- or TCO- vaccine (two groups each) at four weeks of age. Three weeks after vaccination, birds were infected with the virulent ILTV isolates. The larynx, trachea, and harderian gland samples were taken at 1, 3, and 7 days post-infection for histopathological lesion score and molecular detection. Notably, The recombinant strain was more virulent and pathogenic than CEO-like ILTV strains. Moreover, the TCO vaccine was less immunogenic than the vector and CEO vaccines.

摘要

传染性喉气管炎(ILT)是一种对全球家禽业具有重要经济意义的呼吸道疾病。疫苗接种是控制疾病爆发的主要手段。在之前的研究中,我们全面描述了埃及的流行株,并发现 CEO 样株和重组株均占优势。在此,我们研究了代表 CEO 样株(Sharkia_2018)和重组株(Qalubia_2018)的两种强毒株的致病性。此外,我们评估了不同商业疫苗(HVT-LT、CEO 和 TCO)在两种分离株的组织病理学病变评分和病毒(gC)基因载量方面的功效。共将 270 只白来航无特定病原体雄性小鸡分为 9 组,每组 30 只,分别饲养在单独的隔离器中。小鸡的分布如下:一组不接种疫苗且不感染,作为阴性对照。两组不接种疫苗且感染两种感兴趣的分离株,作为阳性对照以测试其致病性。六组接种疫苗并感染;两组在一天龄时接种载体疫苗。另外四组分别在四周龄时接种 CEO 或 TCO 疫苗(每组两组)。接种疫苗后三周,用强毒 ILTV 分离株感染小鸡。在感染后 1、3 和 7 天分别采集喉、气管和哈德腺样本,用于组织病理学病变评分和分子检测。值得注意的是,重组株比 CEO 样株 ILTV 更具毒力和致病性。此外,TCO 疫苗的免疫原性比载体和 CEO 疫苗差。

https://cdn.ncbi.nlm.nih.gov/pmc/blobs/183c/9511729/793cf0430c7f/12917_2022_3458_Fig1_HTML.jpg

文献AI研究员

20分钟写一篇综述,助力文献阅读效率提升50倍。

立即体验

用中文搜PubMed

大模型驱动的PubMed中文搜索引擎

马上搜索

文档翻译

学术文献翻译模型,支持多种主流文档格式。

立即体验