Suppr超能文献

不同新城疫病毒毒株诱导鸡产生病变的评分系统

Scoring System for Lesions Induced by Different Strains of Newcastle Disease Virus in Chicken.

作者信息

Hussein Elawad A, Hair-Bejo M, Adamu Lawan, Omar A R, Arshad Siti S, Awad Elmutaz A, Aini I

机构信息

Department of Veterinary Pathology and Microbiology, Faculty of Veterinary Medicine, Universiti Putra Malaysia, 43400 UPM Serdang, Selangor, Malaysia.

Institute of Bioscience, Universiti Putra Malaysia, 43400 UPM Serdang, Selangor, Malaysia.

出版信息

Vet Med Int. 2018 Dec 9;2018:9296520. doi: 10.1155/2018/9296520. eCollection 2018.

Abstract

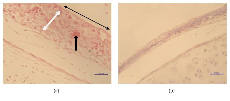
Newcastle disease virus strains are velogenic, mesogenic, and lentogenic. This study aims to design a scoring system for lesions induced by different strains of Newcastle disease virus in chicken. Three experiments were conducted. In experiments 1 and 2, chickens were divided into infected and control groups. Infected groups of experiments 1 and 2 consisted of 6 and 24 specific pathogen-free (SPF) chickens, respectively. Control groups in experiments 1 and 2 consisted of 6 and 15 SPF chickens, respectively. In infected groups, infection was induced by intranasal administration of 10 50% EID/0.1 mL of velogenic Newcastle disease virus strain (vNDV). Infected chickens in experiment 1 were euthanised by cervical dislocation on days 3, 6, and 7 postinoculation (pi). Infected chickens in experiment 2 were euthanised at hours (hrs) 2, 4, 6, 12 and days 1, 2, 4, and 6 pi. Chickens of the control group in experiment 1 were euthanised on days 3 and 7 pi, whereas control group chickens in experiment 2 were euthanised on days 0, 1, 2, 4, and 6 pi. Then in experiment 3, 15 SPF chickens were divided into three groups; in the first group, 5 SPF chickens were infected with vNDV, in the second group, 5 SPF chickens were infected with lentogenic NDV (lNDV) (10 EID/0.1 mL), and the third group was kept without infection as a control group. Chickens were euthanised on day 5 pi. In all previous experiments, tissues of brain, trachea, lung, caecal tonsil, liver, kidney, spleen, heart, proventriculus, intestine, and thymus were collected, fixed in 10% buffered formalin, embedded in paraffin, and sectioned. HS staining was applied. Tissues were examined under light microscope and changes were recorded. A scoring system was designed for lesions induced by different strains of NDV and, accordingly, lesions were scored. The scoring system was found helpful in the evaluation of disease severity.

摘要

新城疫病毒毒株分为速发型、中发型和缓发型。本研究旨在设计一种针对不同新城疫病毒毒株在鸡体内所致病变的评分系统。进行了三项实验。在实验1和实验2中,鸡被分为感染组和对照组。实验1和实验2的感染组分别由6只和24只无特定病原体(SPF)鸡组成。实验1和实验2的对照组分别由6只和15只SPF鸡组成。在感染组中,通过滴鼻接种10个50%鸡胚感染剂量(EID)/0.1 mL的速发型新城疫病毒毒株(vNDV)来诱导感染。实验1中的感染鸡在接种后(pi)第3、6和7天通过颈椎脱臼法安乐死。实验2中的感染鸡在接种后2、4、6、12小时以及第1、2、4和6天安乐死。实验1对照组的鸡在接种后第3和7天安乐死,而实验2对照组的鸡在接种后第0、1、2、4和6天安乐死。然后在实验3中,15只SPF鸡被分为三组;第一组,5只SPF鸡感染vNDV,第二组,5只SPF鸡感染缓发型新城疫病毒(lNDV)(10个EID/0.1 mL),第三组作为未感染的对照组。鸡在接种后第5天安乐死。在之前所有实验中,收集脑、气管、肺、盲肠扁桃体、肝、肾、脾、心脏、腺胃、肠和胸腺的组织,用10%中性福尔马林固定,石蜡包埋,切片。进行苏木精-伊红(HS)染色。在光学显微镜下检查组织并记录变化。针对不同新城疫病毒毒株所致病变设计了一个评分系统,并据此对病变进行评分。发现该评分系统有助于评估疾病严重程度。

https://cdn.ncbi.nlm.nih.gov/pmc/blobs/6a8d/6304631/64d783685e7c/VMI2018-9296520.001.jpg

文献AI研究员

20分钟写一篇综述,助力文献阅读效率提升50倍。

立即体验

用中文搜PubMed

大模型驱动的PubMed中文搜索引擎

马上搜索

文档翻译

学术文献翻译模型,支持多种主流文档格式。

立即体验