Suppr超能文献

基于网络药理学和实验药理学,芪参益气滴丸通过抑制过度自噬和NLRP3炎性小体来预防心肌缺血/再灌注损伤。

QishenYiqi dripping pill protects against myocardial ischemia/reperfusion injury via suppressing excessive autophagy and NLRP3 inflammasome based on network pharmacology and experimental pharmacology.

作者信息

Li Meng, Wang Yueyao, Qi Zhongwen, Yuan Zhuo, Lv Shichao, Zheng Yawei, Yan Zhipeng, Wang Mingyang, Fu Huanjie, Fan Xinbiao, Ji Nan, Liu Ming, Fang Zhuyuan

机构信息

Institute of Hypertension, Jiangsu Province Hospital of Chinese Medicine, Affiliated Hospital of Nanjing University of Chinese Medicine, Nanjing, China.

The Second Affiliated Hospital, Guangzhou University of Chinese Medicine, Guangzhou, China.

出版信息

Front Pharmacol. 2022 Sep 9;13:981206. doi: 10.3389/fphar.2022.981206. eCollection 2022.

Abstract

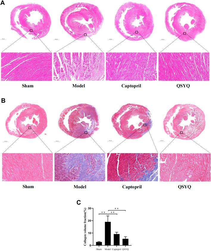
Myocardial ischemia/reperfusion (I/R) injury is associated with multiple serious clinical manifestations. Autophagy is upregulated in a short period of ischemia and further enhanced during reperfusion phase, which was considered as a "double-edged sword" in the pathological process of myocardial I/R injury. In addition, NLRP3 inflammasome triggers myocardial inflammatory response, which leads to cardiomyocyte death via pyroptosis and promotes subsequent myocardial remodelling. Qishen Yiqi Dripping Pill (QSYQ) has been recognized as a potential protective agent of cardiovascular diseases. We predicted the bioactive compounds, targets and pathways of OSYQ intervening on myocardial I/R injury by network pharmacology. Furthermore, we investigated the effect of QSYQ on myocardial I/R injury and explored its underlying mechanism via autophagy and NLRP3 Inflammasome. Bioactive compounds, targets of QSYQ and relevant targets of myocardial I/R injury were collected from public databases. The protein-protein interaction network, Gene ontology and KEGG pathway enrichment analysis were carried out to screen the key compounds, target genes, functional annotation and pivotal pathways. Molecular docking was used to validate the binding association between target genes and key bioactive ingredients. Furthermore, sixty SD rats were randomized into four groups: 1) sham, 2) model, 3) captopril and 4) QSYQ pretreatment (14 days before and after surgery). Each arm was subjected to ischemia/reperfusion surgery except sham arm (30 min coronary ligation, then reperfusion). Left ventricular (LV) function were evaluated and the hearts were used to evaluate size of myocardial infarction, cardiomyocyte fibrosis, and myocardial autophagosomes. The network pharmacology revealed the mechanism of QSYQ intervening on myocardial I/R injury might be related to NOD-like receptor signaling pathway, PI3K-Akt signaling pathway, autophagy-animal, etc., Molecular-docking suggested the core target proteins had good binding association with bioactive compounds of QSYQ. The experiment confirmed that QSYQ attenuated myocardial infarct size, decreased inflammatory infiltration and collagen fiber deposition and alleviated the autophagosome and myocardium ultrastructure injury, leading to LV systolic function improvement. The possible mechanism of cardioprotection was due to regulating autophagy-related proteins, activating PI3K/Akt-mTOR signaling pathway, and inhibiting activation and assembly of NLRP3 inflammasome. QSYQ ameliorated myocardial I/R injury via suppressing excessive autophagy and NLRP3 Inflammasome.

摘要

心肌缺血/再灌注(I/R)损伤与多种严重的临床表现相关。自噬在短暂缺血期上调,并在再灌注期进一步增强,在心肌I/R损伤的病理过程中被认为是一把“双刃剑”。此外,NLRP3炎性小体引发心肌炎症反应,通过细胞焦亡导致心肌细胞死亡,并促进随后的心肌重塑。芪参益气滴丸(QSYQ)已被公认为心血管疾病的潜在保护剂。我们通过网络药理学预测了QSYQ干预心肌I/R损伤的生物活性化合物、靶点和途径。此外,我们研究了QSYQ对心肌I/R损伤的影响,并通过自噬和NLRP3炎性小体探索其潜在机制。从公共数据库中收集了QSYQ的生物活性化合物、靶点以及心肌I/R损伤的相关靶点。进行了蛋白质-蛋白质相互作用网络、基因本体和KEGG通路富集分析,以筛选关键化合物、靶基因、功能注释和关键途径。分子对接用于验证靶基因与关键生物活性成分之间的结合关联。此外,将60只SD大鼠随机分为四组:1)假手术组,2)模型组,3)卡托普利组和4)QSYQ预处理组(手术前后各14天)。除假手术组外,每组均进行缺血/再灌注手术(冠状动脉结扎30分钟,然后再灌注)。评估左心室(LV)功能,并使用心脏评估心肌梗死面积、心肌细胞纤维化和心肌自噬体。网络药理学表明,QSYQ干预心肌I/R损伤的机制可能与NOD样受体信号通路、PI3K-Akt信号通路、自噬-动物等有关,分子对接表明核心靶蛋白与QSYQ的生物活性化合物具有良好的结合关联。实验证实,QSYQ减小了心肌梗死面积,减少了炎症浸润和胶原纤维沉积,减轻了自噬体和心肌超微结构损伤,从而改善了LV收缩功能。心脏保护的可能机制是调节自噬相关蛋白,激活PI3K/Akt-mTOR信号通路,并抑制NLRP3炎性小体的激活和组装。QSYQ通过抑制过度的自噬和NLRP3炎性小体改善了心肌I/R损伤。

https://cdn.ncbi.nlm.nih.gov/pmc/blobs/9a68/9507923/20044209d247/fphar-13-981206-g001.jpg

文献AI研究员

20分钟写一篇综述,助力文献阅读效率提升50倍。

立即体验

用中文搜PubMed

大模型驱动的PubMed中文搜索引擎

马上搜索

文档翻译

学术文献翻译模型,支持多种主流文档格式。

立即体验